Locations:
Search IconSearch

Guidance for Surveillance of Isolated Common Iliac Artery and Small Abdominal Aortic Aneurysms

Most are slow-growing and can safely be monitored every three years

22-HVI-2730358 CQD 650×450

Most small abdominal aortic aneurysms (AAAs) and isolated common iliac artery aneurysms (CIAAs) can safely be monitored every three years with duplex ultrasound, with larger ones needing more frequent surveillance. So conclude clinician researchers from Cleveland Clinic in the wake of two studies they recently published on aneurysm surveillance and management — one on CIAAs in the Journal of Vascular Surgery and the other on small AAAs in the Annals of Vascular Surgery.

Advertisement

Cleveland Clinic is a non-profit academic medical center. Advertising on our site helps support our mission. We do not endorse non-Cleveland Clinic products or services. Policy

“The current recommendations from professional societies are based on a large amount of low-quality data and information from older databases,” says Cleveland Clinic vascular surgeon Jarrad Rowse, MD, lead author of the study on small AAAs and a co-author of the study on CIAAs. “We follow a large number of patients with these aneurysms, which gave us the opportunity to investigate this population further. These studies provide strong support for current society guidelines, with some refinements.”

Isolated CIAA surveillance

Isolated CIAAs — i.e., those not associated with a concomitant AAA — are rare, constituting only about 7% of all aortoiliac aneurysms. There is currently no well-defined surveillance regimen for monitoring them and no consensus on optimal size for performing elective repair. The European Society for Vascular Surgery recommends monitoring every three years for CIAAs 2.0 to 2.9 cm in diameter, and annually for larger ones.

“Current practice recommendations are extrapolated from the more ample abdominal aortic aneurysm data,” says Sean Steenberge, MD, MSc, a surgeon in Cleveland Clinic’s Department of Vascular Surgery and first author of the study on CIAA surveillance. “We believe our study is the largest published single-center series specifically focused on isolated common iliac artery aneurysms.”

Study design. The investigators reviewed duplex ultrasound and CT imaging of 244 isolated CIAAs (≥ 2.0 cm in diameter) among 167 patients (average age, 68.1 years; 94% male and 91% white) from 2008 to 2020.

Advertisement

Findings. More than two-thirds of the aneurysms were first identified with duplex ultrasound, with the rest by CT imaging. Aneurysm surveillance was performed by a combination of CT and ultrasound imaging in 57% of cases, and by serial ultrasound alone in 43%. Average length of follow-up was 62.1 ± 40.1 months, during which 19 patients (11%) underwent operative repair, with the average aneurysm diameter at the time of repair being 3.3 ± 1.02 cm. No aneurysms were symptomatic or ruptured at time of identification or during follow-up.

Two patients who had been lost to follow-up for several years after an initially discovered isolated CIAA were later found to have had unusually rapid aneurysm growth (0.5 to > 1 cm per year) in the subsequent years.

Recommendations. To detect a rare, rapidly growing isolated CIAA, the authors recommend conducting a follow-up imaging study one year after initial isolated CIAA identification for all patients. Thereafter, they endorse the following aneurysm monitoring regimen with duplex ultrasound or CT angiography (CT angiography is recommended to confirm ultrasound results when diameter reaches 3.0 cm), based on growth rates found in the study:

  • Every three years for a maximum diameter of 2.0 to 2.49 cm (annual growth rate was found to be 0.02 cm)
  • Every two years for a diameter of 2.5 to 2.99 cm (annual growth, 0.03 cm)
  • Annually for a diameter ≥ 3.0 cm (annual growth, 0.13 cm for the entire cohort and 0.05 cm after omitting the two cases of extreme growth)

Advertisement

Full aortic surveillance is recommended every five years.

“We recommend elective repair when the diameter reaches 3.5 cm,” says Dr. Steenberge. “But additional data are needed to strengthen that guidance.”

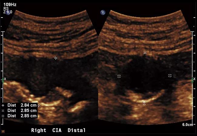
Ultrasound images of isolated CIAAs with diameters of 2.7 cm (top panel) and 4 cm (bottom panel).

Monitoring small AAAs

Current Society for Vascular Surgery guidelines for monitoring small AAAs — every three years for aneurysm diameters of 3.0 to 3.9 cm, and annually for diameters of 4.0 to 4.9 cm — are based on low-quality evidence and provide no patient-specific guidance.

Study design. The population of the study on surveillance of small AAAs — patients with a baseline AAA diameter of less than 5.0 cm who had at least two ultrasounds — was identified from Cleveland Clinic records from 2008 to 2018. There were 1,581 patients (mean age, 73 years; 78% male and 93% white) and nearly 6,000 ultrasounds, with a mean follow-up of 28 months.

Findings. Average annual maximum diameter growth rates were found to be 0.18 cm for AAAs with a diameter of 3.0 to 3.9 cm and 0.36 cm for those with a diameter of 4.0 to 4.9 cm (P < 0.001 for the difference).

Growth rates varied considerably, with 68.2% of patients having no growth over the observed time period, 21.6% having expected growth and 10.2% having rapid growth.

Patient-specific factors. Patients who were male and had a baseline AAA size of 4.0 to 4.9 cm were more likely to have rapid growth (P = 0.002) and to undergo eventual repair (P < 0.001). Patients taking metformin were more likely to have no aneurysm growth (P < 0.05).

Advertisement

Recommendations. The authors write that their findings support the following surveillance schedule:

  • For diameters 3.0 to 3.9 cm, every three years
  • For diameters 4.0 to 4.9 cm, annually for men
  • For women approaching the 5.0 cm threshold for intervention (threshold is 5.5 cm for men), closer surveillance is recommended

“Unlike in other studies, we did not find that small aneurysms grew faster in women,” Dr. Rowse notes. “However, the cohort was too small to make definitive recommendations for women, so more study is needed to clarify their optimal surveillance strategy.”

Two imaging studies of small AAAs — an ultrasound on the top and a 3D CT reconstruction on the bottom.

Advertisement

Related Articles

19-HRT-6507 Vitals-650&#215;450

Rani duplicate post Check Out These Outcomes

A sampling of outcome and volume data from our Heart & Vascular Institute

illustration of the human heart focused on the left atrial appendage

Takeaways From Updated STS Guidelines for Surgical Treatment of Atrial Fibrillation

Concomitant AF ablation and LAA occlusion strongly endorsed during elective heart surgery

illustration of a figure-of-8 stitch for aortic valve repair

Figure-of-8, Hitch-Up Stitch Is Safe and Durable in Bicuspid Aortic Valve Repair

Large retrospective study supports its addition to BAV repair toolbox at expert centers

histology image of lung tissue showing spread through air spaces (STAS)

Lung Cancer Study Links Preoperative Factors With Spread Through Air Spaces

Young age, solid tumor, high uptake on PET and KRAS mutation signal risk, suggest need for lobectomy

x-ray of bone fracture in a forearm

TRAVERSE Substudy Links Testosterone Therapy to Increased Fracture Risk in Older Men With Hypogonadism

Surprise findings argue for caution about testosterone use in men at risk for fracture

echocardiogram showing severe aortic regurgitation

Early Referral for Enlarged Roots Critical to Prevent Residual AR After Aortic Root Replacement With Valve Reimplantation

Residual AR related to severe preoperative AR increases risk of progression, need for reoperation

photo of intubated elderly woman in hospital bed

Proteomic Study Characterizes Markers of Frailty in Cardiovascular Disease and Their Links to Outcomes

Findings support emphasis on markers of frailty related to, but not dependent on, age

3D transesophageal echocardiographic images

New Leaflet Modification Technique Curbs LVOT Obstruction Risk in Valve-in-Valve TMVR

Provides option for patients previously deemed anatomically unsuitable

Ad