Locations:
Search IconSearch

Giving Fibromuscular Dysplasia Its Due

Growing efforts bring this nonatherosclerotic vascular disease out of the shadows

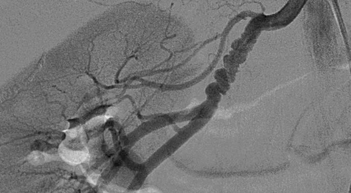
Angiogram images of FMD

When it comes to fibromuscular dysplasia (FMD), Cleveland Clinic vascular medicine specialist Heather Gornik, MD, MHS, has played a key role in several firsts related to the misunderstood condition, including:

Advertisement

Cleveland Clinic is a non-profit academic medical center. Advertising on our site helps support our mission. We do not endorse non-Cleveland Clinic products or services. Policy

However, there is another first related to FMD that Dr. Gornik is less happy about: the fact that she is often the first physician to diagnose FMD in patients who were previously mis- or underdiagnosed.

“Cardiovascular specialists are on the front lines of recognizing and diagnosing FMD,” says Dr. Gornik, Medical Director of Cleveland Clinic’s Noninvasive Vascular Laboratory. “It’s an underrecognized disease that’s more common than many physicians realize.”

FMD essentials

FMD is a nonatherosclerotic arterial disease of medium-sized vessels, most commonly the renal and extracranial carotid and vertebral arteries, that leads to arterial stenosis, occlusion, dissection and aneurysm. Although its causes and prevalence are not well understood, it is recognized that more than 90 percent of patients are women, often in their 40s or 50s.

The diagnostic challenge

Patients suffering from FMD complain of common symptoms, and often physicians treat the symptoms without connecting them to FMD. Observational findings from the U.S. Registry for Fibromuscular Dysplasia indicate that patients do not have consistent diagnostic signs, making it even more difficult for doctors to recognize FMD. Moreover, some patients with FMD may be completely asymptomatic, with 5.6 percent showing no signs of disease.

Data from the registry suggest an average interval of four years from symptom onset to FMD diagnosis, Dr. Gornik notes. “In light of that, patients understandably become frustrated living with the symptoms without proper treatment,” she adds.

Advertisement

The symptomatic picture — as we understand it

Symptoms of FMD may include early-onset hypertension (starting in the 40s or 50s), poorly controlled hypertension, migraine headaches, dizziness, cervical bruit, neck pain and pulsatile tinnitus (swooshing noise in the ears). According to the U.S. Registry for Fibromuscular Dysplasia, more than one-third of patients with FMD experience pulsatile tinnitus, whereas it remains uncommon in the general population.

Some patients with FMD might be noted to have cervical, abdominal or femoral bruits, although these do not always indicate the presence of disease. In some patients, FMD presents dramatically with a major cardiovascular event, including artery dissection, stroke, myocardial infarction or ruptured aneurysm.

The need for specialized care from FMD experts

In 2008, Cleveland Clinic’s Sydell and Arnold Miller Family Heart & Vascular Institute started its dedicated clinic for patients with FMD — the first in the world. The clinic was initially held monthly but now meets twice weekly, following about 400 to 500 patients per year who visit for treatment.

The clinic’s multidisciplinary team includes vascular medicine specialists as well as vascular surgeons, nephrologists, neurosurgeons, interventional cardiologists, medical geneticists, radiologists and pathologists. Vascular medicine specialists serve as primary FMD care providers and craft customized care plans, which include routine follow-up and communication with the patient’s primary care physician. “We bring the big-picture perspective,” explains Dr. Gornik. “Our FMD clinic has become a ‘medical home’ for these patients.”

Advertisement

Growing the knowledge base

Cleveland Clinic is one of 13 centers participating in the U.S. Registry for Fibromuscular Dysplasia, which is sponsored by the Fibromuscular Dysplasia Society of America and began enrolling patients in 2009.

The registry gives researchers the chance to examine the natural history of FMD and gain better insight into it. “Thanks to the registry, we now know more about FMD than we have in the past, and Cleveland Clinic is proud to be one of its highest-enrolling centers,” says Dr. Gornik. “As we continue to enroll and follow patients, we expect to learn more about the causes of FMD and how to better diagnosis and treat it.”

Advertisement

Related Articles

19-HRT-6507 Vitals-650×450

Rani duplicate post Check Out These Outcomes

A sampling of outcome and volume data from our Heart & Vascular Institute

illustration of the human heart focused on the left atrial appendage

Takeaways From Updated STS Guidelines for Surgical Treatment of Atrial Fibrillation

Concomitant AF ablation and LAA occlusion strongly endorsed during elective heart surgery

illustration of a figure-of-8 stitch for aortic valve repair

Figure-of-8, Hitch-Up Stitch Is Safe and Durable in Bicuspid Aortic Valve Repair

Large retrospective study supports its addition to BAV repair toolbox at expert centers

histology image of lung tissue showing spread through air spaces (STAS)

Lung Cancer Study Links Preoperative Factors With Spread Through Air Spaces

Young age, solid tumor, high uptake on PET and KRAS mutation signal risk, suggest need for lobectomy

x-ray of bone fracture in a forearm

TRAVERSE Substudy Links Testosterone Therapy to Increased Fracture Risk in Older Men With Hypogonadism

Surprise findings argue for caution about testosterone use in men at risk for fracture

echocardiogram showing severe aortic regurgitation

Early Referral for Enlarged Roots Critical to Prevent Residual AR After Aortic Root Replacement With Valve Reimplantation

Residual AR related to severe preoperative AR increases risk of progression, need for reoperation

photo of intubated elderly woman in hospital bed

Proteomic Study Characterizes Markers of Frailty in Cardiovascular Disease and Their Links to Outcomes

Findings support emphasis on markers of frailty related to, but not dependent on, age

3D transesophageal echocardiographic images

New Leaflet Modification Technique Curbs LVOT Obstruction Risk in Valve-in-Valve TMVR

Provides option for patients previously deemed anatomically unsuitable

Ad