Locations:
Search IconSearch
October 27, 2015/Orthopaedics/Hip & Knee

Fluoroscopy Improves Acetabular Component Positioning During Direct Anterior THA

Fluoroscopy Improves Acetabular Component Positioning During Direct Anterior THA

15-ORT-975-Suarez-Hero-Image-690x380pxl

By Juan Suarez, MD

Advertisement

Cleveland Clinic is a non-profit academic medical center. Advertising on our site helps support our mission. We do not endorse non-Cleveland Clinic products or services. Policy

Acetabular component orientation affects the function and durability of total hip arthroplasty (THA). Malposition contributes to increased dislocation risk, impingement, accelerated polyethylene wear and early revision. At Cleveland Clinic Florida, we recently performed a retrospective analysis to evaluate the accuracy of acetabular component orientation using intraoperative fluoroscopy in direct anterior THA. We summarize our findings here and discuss why this aspect of THA is so central to positive patient outcomes.

Optimal position needs to reflect true pelvic tilt

Dislocation after THA remains a leading cause of revision surgery, and many studies have been performed to evaluate the optimal position of the acetabular component in THA. In their seminal paper, Lewinnek et al defined target ranges for inclination and anteversion angles for cup placement (30° to 50° and 5° to 25°, respectively). These safe zones were described under ideal circumstances and do not reflect the variability and dynamic nature of the true pelvic orientation (pelvic tilt). This orientation is unique to each patient and influenced by spine deformities or sagittal plane balance.

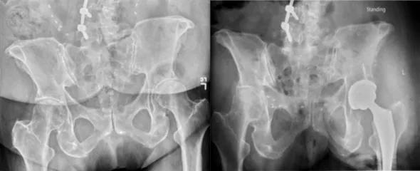
For example, patients with significant lumbar lordosis will have anterior pelvic tilt, as illustrated in Figure 1. In contrast, patients with loss of lordosis, which can occur in cases of ankylosing spondylitis or following repeated spine surgeries, will present with posterior pelvic tilt, as shown in Figure 2. It has been calculated that every 1° of pelvic tilt leads to a functional correction of radiographic acetabular anteversion and inclination of roughly 0.7°. Therefore, the sole use of anatomic landmarks can lead to acetabular component malpositioning.

Advertisement

15-ORT-975-Suarez-Figure-01-590pxl-width

Figure 1. Radiographs showing characteristic anterior pelvic tilt in a patient with significant lumbar lordosis.

15-ORT-975-Suarez-Figure-02-590pxl-width

Figure 2. Radiographs showing characteristic posterior pelvic tilt in a patient with loss of lordosis.

Valiant efforts at improving cup placement have focused on navigation and robotic systems that use anatomic landmarks and the anterior pelvic plane with minimal regard to the functional pelvic position. The two patient examples noted above represent the extreme scenarios of this concept. If anatomic landmarks are chosen for cup placement in these cases, the result will be excessive cup anteversion and inclination in the patient with loss of lordosis and cup retroversion and loss of inclination in the patient with excessive lumbar lordosis. In view of examples like this, we recommend using the pelvic tilt in the standing pelvis anteroposterior radiograph as a simple guide to the patient’s functional pelvic orientation.

A role for intraoperative fluoroscopy?

The intraoperative execution of this knowledge is not straightforward, as patient positioning in surgery affects our ability to recognize the true pelvic tilt. Pelvic orientation in the lateral decubitus position is unpredictable and influences implant alignment. The posterior approach, which requires a lateral decubitus position, remains the most popular for THA.

An advantage of the direct anterior approach to THA is that it facilitates the use of fluoroscopic imaging during surgery because the patient is in the supine position. Furthermore, the supine position provides less alteration of pelvic orientation during the surgical procedure. The image intensifier can be adjusted to recreate the patient’s true pelvic tilt intraoperatively and provide the surgeon real-time feedback during the preparation and implantation of the acetabular component.

Advertisement

Pelvic orientation is known to change during the course of the procedure as a result of retraction, and failure to recognize this may lead to component malposition. The C-arm can be adjusted accordingly in direct anterior THA to maintain the intended pelvic orientation throughout the procedure.

Putting intraoperative fluoroscopy to the test

These considerations prompted us to undertake a retrospective radiographic analysis at Cleveland Clinic Florida to evaluate the accuracy of acetabular component orientation using intraoperative fluoroscopy in direct anterior THA. We hypothesized that fluoroscopy would be a useful tool to improve positioning of the component.

During the nearly four-year period analyzed (March 2010 through December 2013), 780 primary direct anterior THA surgeries were performed at Cleveland Clinic Florida. Across these 780 procedures, the mean inclination angle was 37.6° and the mean anteversion angle was 18.7°. Overall results were as follows:

  • 718 cases (92.1 percent) fell within the targeted inclination range
  • 723 (92.7 percent) fell within the targeted anteversion range
  • 698 (89.5 percent) simultaneously fell within both targeted ranges

The distribution of components simultaneously meeting target range criteria for both inclination and anteversion improved yearly for both surgeons performing these fluoroscopy-guided procedures, as detailed in the table.

15-ORT-975-Suarez-Figure-03-Table-590pxl-width

Conclusions and next steps

Our goal was to evaluate the reproducibility of accurate acetabular component placement with the use of intraoperative fluoroscopy in direct anterior THA. The target ranges for inclination, anteversion and both were achieved in 92.1, 92.7 and 89.5 percent of cases, respectively. Our results demonstrate that the use of fluoroscopy during direct anterior THA is an effective tool for improving cup placement.

Advertisement

In addition, when examined yearly, the results show that both surgeons demonstrated improvements in their precision of component positioning, as explained by decreasing yearly standard deviation. We attribute the improvements to the learning curve associated with interpreting intraoperative fluoroscopy and to close, ongoing review of component placement tendencies.

Cleveland Clinic continues research efforts aimed at optimizing component positioning in THA. Our future efforts will be directed at correlating accuracy of component placement with functional outcomes and complications as well as recognizing the dynamic nature of the pelvic orientation and understanding its influence on total hip arthroplasty performance.

Dr. Suarez is a surgeon in the Department of Orthopaedic Surgery at Cleveland Clinic Florida specializing in primary and revision hip and knee replacement.

Advertisement

Related Articles

X-ray showing leg bones
March 6, 2024/Orthopaedics/Tumor

The Latest in Limb-Sparing Techniques for Pediatric Patients With Sarcoma

Biologic approaches, growing implants and more

Blue illustration of knee with torn ACL in red
February 29, 2024/Orthopaedics/Hip & Knee

Aspiration and Corticosteroid Injection Are Safe After ACL Injury

Study reports zero infections in nearly 300 patients

Swollen knee with scar
February 26, 2024/Orthopaedics/Hip & Knee

Is Joint Inflammation and Pain After Total Knee Arthroplasty an Infection or Gout?

How to diagnose and treat crystalline arthropathy after knee replacement

Dissected knee with robotic pins inside the incision
February 19, 2024/Orthopaedics/Hip & Knee

Intraincisional Pin Placement Is Safe Alternative in Robot-Assisted Total Knee Arthroplasty

Study finds that fracture and infection are rare

Multiple MRI scans of knees
February 12, 2024/Orthopaedics/Arthritis

Arthritis Foundation and Cleveland Clinic to Build National Osteoarthritis Imaging Center

Center will coordinate, interpret and archive imaging data for all multicenter trials conducted by the foundation’s Osteoarthritis Clinical Trial Network

Close up of the one round white pill in female hand.
January 4, 2024/Orthopaedics/Hip & Knee

Patients Use Less Pain Medication After Robot-Assisted Hip Replacement Compared With Conventional Surgery

Reduced narcotic use is the latest on the list of robotic surgery advantages

ORI_Viars_4102672_Hand Surgery Bootcamp – Dr. Styron_08-18-23
December 21, 2023/Orthopaedics/Upper Extremity

Boot Camp Prepares Trainees for Hand Surgery Fellowships

Cleveland Clinic specialists offer annual refresher on upper extremity fundamentals

The Featured Image for the post
November 29, 2023/Orthopaedics/Hip & Knee

What We’ve Learned From 10,000 Robot-Assisted Total Joint Replacements

Cleveland Clinic orthopaedic surgeons share their best tips, most challenging cases and biggest misperceptions

Ad