Locations:
Search IconSearch

First Human Study of Deep Brain Stimulation for Thalamic Pain Syndrome

Paradigm shift in targeting neural networks for pain management

690×380-Machado-Thalamic

By Andre Machado, MD, PhD

Advertisement

Cleveland Clinic is a non-profit academic medical center. Advertising on our site helps support our mission. We do not endorse non-Cleveland Clinic products or services. Policy

My colleagues and I recently conducted a 10-patient study at Cleveland Clinic that stands as the first-ever prospective, randomized, double-blind, controlled clinical trial of deep brain stimulation (DBS) for the management of chronic pain.

While the literature offers many case series reporting the effects of DBS in patients with various chronic pain conditions, most studies are limited by failure to account for placebo effects, which can be significant in this population. Furthermore, neurostimulation techniques such as DBS and spinal cord stimulation have thus far been aimed largely at the sensory pathways, which mediate only a portion of the overall pain experience. In our initial human study, we aimed to alleviate pain-related suffering in patients with thalamic pain syndrome (TPS), a devastating and often refractory condition that can follow a stroke. The study was funded by the NIH Director’s New Innovator Award.

TPS: A disruption of sensory pathways and the neuromatrix

Chronic neuropathic pain in TPS is associated with lesions of somatosensory thalamic nuclei or somatosensory thalamocortical projections, typically from a stroke. TPS is characterized by unrelenting, disabling anesthesia dolorosa (painful numbness) on one side of the body, with or without associated allodynia. Patients often avoid using the affected extremity due to pain, which contributes to disability. TPS is often intractable and proves extraordinarily frustrating for patients and physicians alike.

The neuromatrix theory, first described by Melzack, proposes that pain is processed by an integrated network of somatosensory, limbic and cognitive pathways. Therefore, targeting only the sensory pathways may not be a viable option, particularly when little substrate may be available after extensive lesions to this network.

Advertisement

A new DBS target for chronic pain

Our study targeted structures that process emotion and affective behavior: the ventral striatum/anterior limb of the internal capsule. We had prior experience with this target from studies evaluating DBS for treatment-refractory depression led by Donald Malone, MD, Chairman of Psychiatry and Psychology at Cleveland Clinic.

While previous studies have examined DBS for chronic pain conditions, all of them targeted sensory pathways of the brain rather than emotional ones. These traditional approaches targeting sensorimotor substrates have mostly failed to produce pain relief or improve disability. The offending lesion in TPS that almost invariably destroys sensory pain pathways may render these classical approaches ineffective. Our novel approach focuses instead on alleviating the affective sphere of pain to reduce pain-related disability from TPS, the rationale for which we outlined in a prior publication.

The lessons we learned from the initial phase of our ongoing study have paved the way for future research in this area. We presented preliminary findings at the most recent Biennial Meeting of the American Society for Stereotactic and Functional Neurosurgery. Those findings will be published in a forthcoming peer-reviewed article.

Study design

As detailed previously, inclusion criteria for our 10-patient, double-blind, randomized, controlled study of ventral striatal/ventral capsular stimulation for TPS included:

  • Severe hemibody pain for greater than six months
  • Lesion in the thalamic region (or immediately ventral or dorsal to the thalamus)
  • Failure of at least one antidepressant, one antiseizure medication and one narcotic

Advertisement

After implantation, patients were randomized to receive active DBS to the ventral striatum/anterior limb of the internal capsule or sham stimulation for three months, followed by crossover. The crossover approach was used to mitigate the ethical/scientific dilemma of a control group that would not receive a potentially beneficial intervention as well as to control for placebo effects.

The primary end points were the Pain Disability Index and a visual analog scale of pain. Additional end points included quality-of-life measures, functional neuroimaging, and depression and anxiety inventories. A flow chart of the study design and outcomes assessed is available as Figure 1 here in our 2013 publication of the study protocol.

Lessons from the first randomized trial of DBS for TPS

While more research clearly lies ahead, our study provided important lessons. Most notably:

  • We demonstrated for the first time that it is safe to surgically intervene with DBS on the emotional networks of the brain in patients with chronic pain.
  • We showed that it is possible to successfully complete a randomized controlled trial in patients with chronic pain.
  • Our preliminary results show that patients with severe and refractory TPS can respond to DBS of the ventral striatal and ventral capsular pathways. Patients have shown improvements in pain levels and changes in depression scores.
  • These findings are particularly relevant because they were achieved under a double-blind design, thus largely controlling for placebo- and study-related effects.
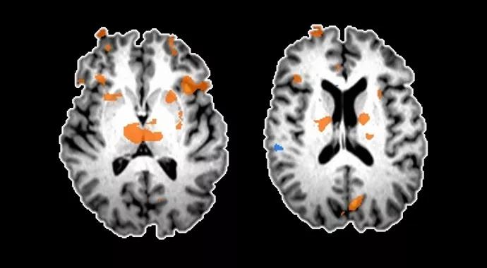
  • We showed that it is possible to safely conduct fMRI studies in patients with fully implanted DBS systems. fMRI data were acquired during the blinded phase of the study and can therefore be correlated with the observed clinical improvements. The figure below shows an example of how fMRI can detect patterns of brain activity in a patient with an implanted DBS system. A striking difference is noted when comparing the fMRI data acquired when DBS was “on” vs. “off.”

Advertisement

590x-Inset-Machado-Thalamic

Figure. Example of fMRI resting-state imaging showing the effects of DBS of the ventral striatal and ventral capsular areas on limbic networks.

Next steps: More centers, more pain types

Shifting attention from the sensory pathways of the nervous system to target areas that modulate emotion could provide a clinical breakthrough with potential to help many patients. When patients are disabled by long-standing chronic pain, their suffering can be magnified by desperation, frustration and anxiety. Patients tend to become consumed not so much by their pain in the moment as by its relentlessness and the expectation that they may remain in pain indefinitely.

It’s incumbent on the field to incorporate well-controlled, blinded trial designs into ongoing research to explore current and novel DBS targets for chronic neuropathic pain conditions like TPS. We are now working to secure funding for a larger multicenter study that could take several years to complete. As our research continues, we hope to expand it to additional medical centers and extrapolate our findings to populations with chronic pain conditions beyond TPS. This work goes hand in hand with nationwide efforts to reduce opioid use in the management of noncancer chronic pain.

Dr. Machado is Director of Cleveland Clinic’s Center for Neurological Restoration.

Advertisement

Related Articles

16-NEU-2800-Kubu-101058161-650×450

What Do Patients Want from DBS for Parkinson’s Disease?

New study advances understanding of patient-defined goals

photo of a man sleeping at a desk, with a podcast icon overlay
March 15, 2024/Neurosciences/Podcast

Diagnosis and Management of Idiopathic Hypersomnia (Podcast)

Testing options and therapies are expanding for this poorly understood sleep disorder

illustration of an alzheimer brain and a packet of sildenafil pills
March 11, 2024/Neurosciences/Research

Sildenafil as an Alzheimer’s Candidate Drug: Further Support From Insurance Database and Mechanistic Studies

Real-world claims data and tissue culture studies set the stage for randomized clinical testing

brain scan showing perimesencephalic subarachnoid hemorrhage

Study Supports Less-Strict Monitoring for Nonaneurysmal Perimesencephalic SAH Without Hydrocephalus

Digital subtraction angiography remains central to assessment of ‘benign’ PMSAH

illustrated brain with the letters "AI" on a computer circuit board

As AI Tools Emerge, Be Proactive and Engaged to Shape Their Development

Cleveland Clinic neuromuscular specialist shares insights on AI in his field and beyond

histology image of a gray matter lesion in a multiple sclerosis brain

Study Suggests Protective Role for Microglia at Borders of Gray Matter Lesions in Progressive MS

Findings challenge dogma that microglia are exclusively destructive regardless of location in brain

series of digital-looking brain icons with a podcast button overlay on top
March 1, 2024/Neurosciences/Podcast

Harnessing the Power of AI in Medicine (Podcast)

Neurology is especially well positioned for opportunities to enhance clinical care and medical training

illustration of a neuron affected by multiple sclerosis

Clinical Trials in Progressive MS: An Assessment of Advances and Remaining Challenges

New review distills insights from studies over the past decade

Ad