Locations:
Search IconSearch

Exploring Pulmonary Hypertension in Inflammatory Myopathy

Study compares prevalence, implications for screening

Punjab-690×380

By Ashwini Mhatre Punjabi, MD, MS, and Soumya Chatterjee, MD, MS, FRCP, FACP, FACR

Advertisement

Cleveland Clinic is a non-profit academic medical center. Advertising on our site helps support our mission. We do not endorse non-Cleveland Clinic products or services. Policy

Patients with inflammatory myopathies (polymyositis and dermatomyositis) can suffer significant morbidity and even death from pulmonary complications. In these patients, the etiology of dyspnea is multifactorial, as it could result from interstitial lung disease (ILD), hypoventilation and recurrent aspiration pneumonias. Hypoventilation arises from diaphragmatic and intercostal muscle weakness. Involvement of the striated muscles of the upper esophagus, cricopharyngeus and hypopharynx makes these patients susceptible to aspiration pneumonias. The increasing recognition of pulmonary involvement in inflammatory myopathies (IM) may be partly attributed to improvement in screening modalities and increased physician vigilance as manifested by screening of all patients newly diagnosed with myositis.

Although pulmonary hypertension (PH) has been associated with other autoimmune rheumatic diseases, such as scleroderma, lupus, mixed connective tissue disease and Sjögren syndrome, it has not been a well-recognized cause of morbidity and mortality in patients with IM. For this reason, routine screening of IM patients for PH (at diagnosis and periodically thereafter) has not been considered the standard of care. To assess the potential utility of such screening, we conducted a retrospective chart review of patients with IM from our clinical database at Cleveland Clinic to determine the prevalence of PH in this population.

Our Study Design

Our retrospective review included approximately 450 patients with a confirmed IM diagnosis seen at Cleveland Clinic between January 2003 and December 2010. PH was “suspected” in this cohort based on transthoracic echocardiography (TTE) (Figure 1) and was “confirmed” by right heart catheterization (RHC) criteria in a subset of these patients. Because the diagnosis of PH should never be established without an RHC, our primary interest was in the subset of patients whose diagnosis was confirmed by RHC.

Advertisement

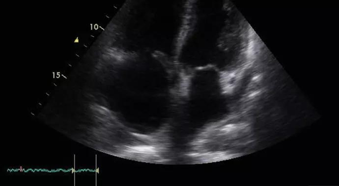
Figure 1. Transthoracic echocardiogram (apical four-chamber view) in a 66-year-old man with polymyositis associated with antisynthetase (anti-Jo-1) syndrome. The right ventricle (RV) is severely dilated, and the right atrial cavity (RA) is also dilated. The left ventricle (LV) and left atrium (LA) are normal in size and systolic function

Figure 1. Transthoracic echocardiogram (apical four-chamber view) in a 66-year-old man with polymyositis associated with antisynthetase (anti-Jo-1) syndrome. The right ventricle (RV) is severely dilated, and the right atrial cavity (RA) is also dilated. The left ventricle (LV) and left atrium (LA) are normal in size and systolic function

A diagnosis of ILD in these patients was based on a high-resolution thoracic CT scan, but not on spirometry, because a reduction of forced vital capacity could also result from respiratory muscle weakness. The prevalence of PH in this cohort was compared with the population prevalence of idiopathic PH and with the prevalence of scleroderma-associated PH. The primary outcome was mortality. Clinical and demographic factors were analyzed separately based on the presence or absence of concomitant ILD.

Our Findings: PH Prevalence Is Elevated in Patients with IM

Among all patients with IM who were evaluated, 16 percent were suspected of having PH based on TTE, and the diagnosis was confirmed by RHC in 7 percent of patients (Figure 2). Of the latter group, 22 percent had isolated PH confirmed by RHC (Dana Point 2008 classification: group 1 [pulmonary arterial hypertension associated with connective tissue diseases]1) (Figure 2). The prevalence of isolated PH confirmed by RHC was significantly higher than the population prevalence of idiopathic PH (P < .001). The remaining 78 percent of patients with RHC-confirmed PH had concomitant ILD (Figure 2) (Dana Point 2008 classification: group 3 [PH associated with ILD]1). None of the patients in either group had exercise-induced PH. At the time of our analysis, 70 percent of patients were alive. Survival was independent of the presence of ILD and the use of immunosuppressive and vasoactive therapies.

Advertisement

Figure 2. Large chart shows the prevalence of pulmonary hypertension (PH) among patients with inflammatory myopathy (IM). Small chart shows the breakdown of the 7 percent of patients with right heart catheterization (RHC)-confirmed PH from the large chart (ILD = interstitial lung disease).

Figure 2. Large chart shows the prevalence of pulmonary hypertension (PH) among patients with inflammatory myopathy (IM). Small chart shows the breakdown of the 7 percent of patients with right heart catheterization (RHC)-confirmed PH from the large chart (ILD = interstitial lung disease).

Perspectives and Limitations

This study was an earnest attempt to estimate the prevalence of PH in IM systematically for the first time. It should be noted, however, that there was uncertainty about the estimates due to the study’s retrospective nature and the lack of a standardized, accepted approach for comprehensively evaluating IM patients for PH. Nevertheless, there is merit in the available information.

Curiously, none of the patients in our cohort had significant left heart disease (left ventricular systolic or diastolic dysfunction on TTE). Therefore, there was no evidence of group 2 disease (PH owing to left heart disease, Dana Point 2008 classification1) in our cohort.

Certain additional aspects of our analysis could limit the generalizability of its results. Because this study was conducted at Cleveland Clinic, a tertiary care referral center, a selection bias is possible. The true prevalence of PH in IM patients in the community might be different. Since this was a retrospective study, not all IM patients had a routine screening TTE, which may have caused us to miss subjects who might have had PH but did not undergo any workup for its evaluation. So the prevalence of PH in our study was likely underestimated. Moreover, not all patients with suspected PH on TTE underwent RHC, which is the gold standard for confirming a PH diagnosis. Still, the prevalence of PH in our cohort (confirmed by RHC) was significantly higher than the population prevalence of idiopathic PH and thus not attributable to chance alone.

Advertisement

Conclusions

This study, the first to evaluate the association of PH with IM systematically, indicates that PH can develop in the setting of IM (with or without concomitant ILD) similar to the way that it does in other autoimmune rheumatic diseases where the association is well recognized. In our cohort, PH seemed to be an independent contributor to the pulmonary manifestations of IM and an important determinant of prognosis and survival in these patients. Our observation that isolated PH can occur in patients with IM was particularly interesting and not previously well recognized.

If early diagnosis and early initiation of vasoactive therapies are found to alter the natural history of IM-associated PH (which is not proven at this time), then our results suggest that routine screening of IM patients for PH at diagnosis and periodically thereafter may be worthwhile. Further research is warranted to evaluate the outcome of early intervention with novel vasoactive medications in these patients.

Reference

  1. Simonneau G, Robbins IM, Beghetti M, et al. Updated clinical classification of pulmonary hypertension. J Am Coll Cardiol. 2009;54(1 suppl):S43-S54.

Dr. Punjabi is a clinical associate in the Department of Rheumatic and Immunologic Diseases.

Dr. Chatterjee co-directs Cleveland Clinic’s rheumatology/pulmonology clinic in the Department of Rheumatic and Immunologic Diseases.

Advertisement

Related Articles

Medical illustration of hand with discolored fingers

Coexistence of Erythromelalgia and Raynaud’s Phenomenon

Treatment strategies require understanding of pathomechanisms

Squamous cell skin cancer

Skin Cancer Risk in Immunosuppressed Patients

Education, prevention strategies and monitoring serves this at-risk group

esophageal plaques

Esophageal Plaques and Systemic Sclerosis

Treatment for scleroderma can sometimes cause esophageal symptoms

Lupus clinic

Coordinated Care, Education and Research

Lupus Clinic providers collaborate to advance treatment and understanding

Psoriatic arthritis

Psoriatic Arthritis: Unlocking the Age Factor

Older Psoriasis Patients May Experience Quicker Transition

Mixed connective tissue disease rash

A Little Bit of Everything: Mixed Connective Tissue Disease

Cleveland Clinic’s Rheumatic Lung Disease program treats patients with complex conditions

Skin lesions

Case Study: Joint Pain, Angioedema, Confusing Rash

Symptoms complement one another

Virtual coaching

Boosting Mental Health Access for Patients with Psoriatic Disease

E-coaching program is tailored for those with the disease

Ad