Locations:
Search IconSearch
November 6, 2018/Primary Care

Evaluating Suspected Pulmonary Hypertension, WHO Group 4

CTEPH: A diagnostic approach

Chronic Thromboembolic Pulmoary Hypertension Program

By Akshay Bhatnagar, MD, Raed Dweik, MD, and Neal F. Chaisson, MD

Advertisement

Cleveland Clinic is a non-profit academic medical center. Advertising on our site helps support our mission. We do not endorse non-Cleveland Clinic products or services. Policy

Pulmonary hypertension, defined as an elevated pulmonary arterial pressure (≥ 25 mm Hg) on right heart catheterization, has a myriad of causes. The World Health Organization (WHO) classifies pulmonary hypertension into 5 separate groups based on the pathophysiologic mechanism:

  • Group 1 — PAH, due to narrowed pulmonary arteries
  • Group 2 — due to left heart disease
  • Group 3 — due to lung disease or hypoxia, or both
  • Group 4 — due to chronic thromboembolism or other pulmonary artery obstruction
  • Group 5 — due to uncertain or multifactorial causes.

Evaluation of thromboembolic disease (WHO group 4)

Once pulmonary hypertension due to underlying left heart disease or parenchymal lung disease has been excluded, testing for chronic thromboembolic pulmonary hypertension (CTEPH) is necessary, even in the absence of prior known pulmonary embolism. Identifying these patients is paramount, as CTEPH (WHO group 4) is the only type of pulmonary hypertension for which a definitive cure is available.

It remains unknown exactly why some patients develop CTEPH and others do not, but the pathophysiology involves inappropriate thrombus resolution after venous thromboembolic events. Monocyte recruitment (which plays an important role in thrombus resolution) is reduced, angiogenesis is impaired (preventing effective vascular collateralization) and abnormal fibroblast proliferation leads to distal pulmonary vascular wall thickening. There is some evidence of increased thrombophilic risk in this population.

Patients with CTEPH usually present with symptoms similar to those of WHO group 1 pulmonary arterial hypertension (PAH). Up to one-quarter of patients have no recollection of prior pulmonary embolism (PE). As the disease progresses, signs and symptoms related to elevated pulmonary vascular resistance and right ventricular dysfunction are common.

Advertisement

Although thrombi usually resolve quickly, the diagnosis of CTEPH should be made only after at least three months of appropriate anticoagulation to avoid treatment of transient hemodynamic changes often seen after an acute PE.

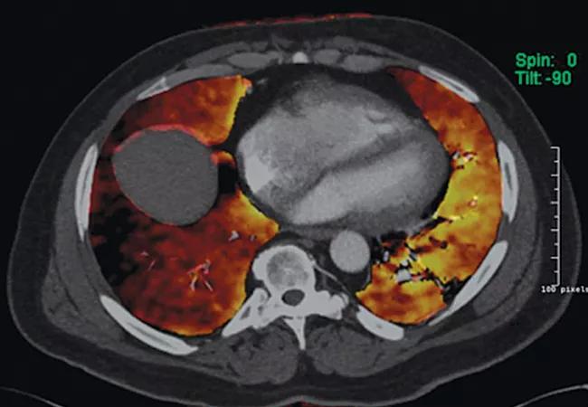
Radiographic changes associated with CTEPH are distinct from the intraluminal filling defects seen with acute thromboembolism, since chronic thrombi tend to become organized and eccentric. On imaging, one may see features of rapid luminal narrowing or eccentric filling defects rather than the conventional central filling defects of acute pulmonary embolism. These changes are often overlooked by radiologists who are not specifically looking for CTEPH. For this reason, the sensitivity and specificity of identifying chronic thromboembolic disease using radionuclide ventilation-perfusion lung scanning is superior to that of CT angiography.

All patients with suspected PAH should undergo a ventilation-perfusion scan. In patients with ventilation-perfusion mismatch on radionuclide scanning, pulmonary angiography can fulfill multiple goals of measuring pulmonary arterial pressures, identifying the extent and location of chronic thromboemboli and can determine whether surgical thromboendarterectomy is feasible.

If CTEPH is identified, it is imperative that patients be referred to a center of excellence specializing in its management regardless of symptom severity, as surgery can be curative and may prevent development of progressive right ventricular dysfunction.

Advertisement

Other posts discuss diagnostic techniques for WHO groups 1-3 and 5.

Dr. Bhatnagar is staff in the Department of Regional Anesthesiology. Dr. Dweik is Chair, Respiratory Institute, Cleveland Clinic. Dr. Chaisson is staff in the Departments of Critical Care Medicine and Pulmonary Medicine, Respiratory Institute.

This abridged article originally appeared in Cleveland Clinic Journal of Medicine.

Advertisement

Related Articles

Osteopathic practitioner manipulating patient's face

Case: Osteopathic Manipulative Treatment Provides Eye-Symptom Relief

OMT may be right for some with Graves’ eye disease

Photo of patient injecting drug into stomach
February 22, 2024/Primary Care/Research

Cleveland Clinic Study Identifies Factors Associated With Long-Term Use of Popular Anti-Obesity Medications

Perserverance may depend on several specifics, including medication type, insurance coverage and medium-term weight loss

Global Healthcare
July 28, 2023/Primary Care

How Does Climate Change Impact Our Patients?

Integrate climate-related health information and counseling into your practice

21-URL-2535162 – CQD 650×450
December 27, 2021/Primary Care

1-Minute Consult: Can a PICC Be Placed in a Patient With Chronic Kidney Disease?

Physicians discuss a specific case example, and PICC pros, cons and alternatives

Asthma
November 9, 2021/Primary Care

Outpatient Management of Asthma in Adults

A snapshot of the 2020 GINA report

21-PUL-2475558 The Current State of Tobacco Cessation_CQD
November 5, 2021/Primary Care

Pharmacological Approaches to Tobacco Cessation

A review of available interventions

Chest x-ray adolescent vaping injury
November 3, 2021/Primary Care

The Current State of Tobacco Cessation: E-Cigarettes

Abstinence from combustibles, dependence on vaping

18-HRT-242_large endocarditis vegetation_450x650
September 1, 2021/Primary Care/Diagnosis

Famous and Not-So-Famous Physical Findings in Infectious Endocarditis

An historical view of the disease

Ad