Locations:
Search IconSearch

EEG-Correlated fMRI: A Promising Tool in the Multimodal Evaluation of Refractory Epilepsy

Integration may provide spatiotemporal snapshot of brain

EEG-fMRI-690×380

By Balu Krishnan, PhD, Andreas Alexopoulos, MD, MPH, Imad Najm, MD

Advertisement

Cleveland Clinic is a non-profit academic medical center. Advertising on our site helps support our mission. We do not endorse non-Cleveland Clinic products or services. Policy

The use of scalp electroencephalography (EEG) simultaneously with functional magnetic resonance imaging (fMRI) allows measurement of electrical brain activity in correlation with the hemodynamic response in the brain. Known as EEG-correlated fMRI, or simply EEG/fMRI, this noninvasive multimodal neuroimaging technique is being used at Cleveland Clinic’s Epilepsy Center in an effort to better understand the pathophysiologic mechanisms and patterns of epileptic activities, particularly the generators of interictal discharges (spikes).

Cleveland Clinic is one of only a few clinical centers in the United States to employ EEG/fMRI, which currently serves as a research tool in the study of brain regions involved at the time of epileptic activity.

Eventually, EEG/fMRI may become clinically valuable as a multimodal tool for evaluating individuals with epilepsy, including patients whose seizures are difficult to control with medications and in whom identifying the seizure focus is challenging. Localizing the brain regions that show changes in neuronal activity during interictal spikes through the use of fMRI may one day enhance the evaluation of surgical candidates and may help guide surgical strategies in patients with refractory seizures.

The software used to execute simultaneous EEG and fMRI has been approved by the U.S. Food and Drug Administration for research applications. Cleveland Clinic is in a unique position to validate the clinical use of EEG/fMRI because of the high volume of evaluations and surgeries it performs in patients with seizures refractory to medications.

Advertisement

A Spatiotemporal Snapshot of Brain Activity

Integrating data obtained from EEG/fMRI may provide a spatiotemporal snapshot of brain activity that is not available through either modality alone (see Figures).

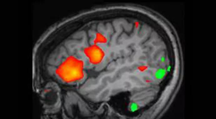
FIGURE 1. Schematic illustration of cortical activation revealed with functional MRI within the left basal frontal lobe and anterior insula. Areas of interest are superimposed on sagittal and axial images of the patient’s structural MRI. Red indicates activation; green indicates deactivation.

FIGURE 1. Schematic illustration of cortical activation revealed with functional MRI within the left basal frontal lobe and anterior insula. Areas of interest are superimposed on sagittal and axial images of the patient’s structural MRI. Red indicates activation; green indicates deactivation.

Schematic illustration of an EEG spike predominantly involving EEG electrodes recording from the left frontal and central regions of the patient’s brain. During simultaneously recorded EEG/fMRI, correlation is sought between the time of EEG spike and the brain activation pattern.

Schematic illustration of an EEG spike predominantly involving EEG electrodes recording from the left frontal and central regions of the patient’s brain. During simultaneously recorded EEG/fMRI, correlation is sought between the time of EEG spike and the brain activation pattern.

With EEG, temporal resolution is excellent because it measures electrical activity in the brain directly, but spatial resolution is poor. Therefore, the accuracy of EEG in localizing the neuronal source from measurements of voltages at the scalp is limited. In contrast, spatial localization of brain activity is much better with fMRI, but temporal resolution is poor. fMRI measures brain activity by detecting associated changes in blood flow. These differing profiles make the two techniques complementary for measuring brain function.

With EEG/fMRI, MRI-compatible EEG electrodes are attached to the patient’s head outside the MRI scanner. Once the patient enters the scanner, these electrodes are connected to an amplifier in the MRI suite and to a recording computer outside the scanner room using a fiber-optic cable. This configuration helps to ensure patient safety during acquisition of the EEG/fMRI study.

Advertisement

Because patients must be placed inside the scanner for this procedure, the duration of the recording is limited to about one hour, so capturing activity during an actual seizure is rare. This duration is usually sufficient, however, to capture several interictal epileptic spikes and record the timing of these activities.

The simultaneous acquisition of data using EEG and fMRI allows measurement of blood oxygen levels in specific brain regions to be correlated with the spike activity, offering evidence of the origin and spread pattern of each spike. The hemodynamic response in the brain is referred to as the blood-oxygen-level-dependent (BOLD) effect. Multiple spikes originating from the same brain region provide important localizing information and represent a strong indication that the epilepsy is focal and potentially amenable to surgical therapy.

Raw EEG data acquired in a 3T Siemens MRI scanner before artifact removal. EEG data after artifact removal showing normal brain activity during wakefulness along with eye movement potentials, which are distributed, as expected, over the most anterior frontal EEG electrodes.

Raw EEG data acquired in a 3T Siemens MRI scanner before artifact removal. EEG data after artifact removal showing normal brain activity during wakefulness along with eye movement potentials, which are distributed, as expected, over the most anterior frontal EEG electrodes.

Cleaning Up Signal Artifacts

The EEG recording environment in the MRI scanner is electromagnetically noisy because of the inductive effects of strong switching magnetic gradient fields. Removing artifacts from the EEG recording can be accomplished through several methods that use software to filter or clean up the signal (see Figures). The artifact corrected EEG tracing is reviewed to determine the exact timing of epileptic spikes. The timing is then correlated to changes in the fMRI BOLD signal, which measures the corresponding hemodynamic response.

Advertisement

Studies of focal epileptic spikes caused by different types of brain pathologies have shown reliable activations in the fMRI BOLD signal within the expected location of the epileptogenic focus. In addition, these studies reveal areas of activation and deactivation at locations distant from the pathological focus, and thus provide a unique glimpse into the underlying networks of brain activity. The significance of distant responses in the study of brain connectivity and pathological epileptic networks is one of the issues under active investigation at Cleveland Clinic’s Epilepsy Center.

 BOLD response recorded during an EEG/fMRI session. At the time of interictal epileptic spikes, the left anterior insula showed prominent cortical activation (circle), localizing the metabolic origin of the spikes. The posterior BOLD changes are expected in some patients undergoing EEG/fMRI and are not directly related to the origin of the patient’s epilepsy. EEG recorded simultaneously with the fMRI, with artifacts removed offline. The spike predominantly involved EEG electrodes recording from the left temporal region of the patient’s brain, concordant with the cortical activation shown by fMRI.

BOLD response recorded during an EEG/fMRI session. At the time of interictal epileptic spikes, the left anterior insula showed prominent cortical activation (circle), localizing the metabolic origin of the spikes. The posterior BOLD changes are expected in some patients undergoing EEG/fMRI and are not directly related to the origin of the patient’s epilepsy. EEG recorded simultaneously with the fMRI, with artifacts removed offline. The spike predominantly involved EEG electrodes recording from the left temporal region of the patient’s brain, concordant with the cortical activation shown by fMRI.

Dr. Krishnan is a research fellow in Cleveland Clinic’s Epilepsy Center.

Dr. Alexopoulous is a neurologist in Cleveland Clinic’s Epilepsy Center. His specialty interests are adult and geriatric epilepsy, seizure manifestations, medical and surgical treatment of seizure disorders, clinical neurophysiology, electroencephalography (EEG), magnetoencephalography (MEG), video-EEG, epilepsy surgery, multimodality non invasive investigations in patients with epilepsy, functional MRI (fMRI), EEG/fMRI, intracranial EEG monitoring for presurgical evaluation, neurostimulation, advancements in noninvasive diagnosis and management of patients with epilepsy.

Advertisement

Dr. Najm is the Director of the Epilepsy Center. His specialty interests are medical and surgical management of adult and geriatric epilepsy, malformations of cortical dysplasia, basic mechanisms of epilepsy, post-traumatic epilepsy.

Related Articles

16-NEU-2800-Kubu-101058161-650×450

What Do Patients Want from DBS for Parkinson’s Disease?

New study advances understanding of patient-defined goals

photo of a man sleeping at a desk, with a podcast icon overlay
March 15, 2024/Neurosciences/Podcast

Diagnosis and Management of Idiopathic Hypersomnia (Podcast)

Testing options and therapies are expanding for this poorly understood sleep disorder

illustration of an alzheimer brain and a packet of sildenafil pills
March 11, 2024/Neurosciences/Research

Sildenafil as an Alzheimer’s Candidate Drug: Further Support From Insurance Database and Mechanistic Studies

Real-world claims data and tissue culture studies set the stage for randomized clinical testing

brain scan showing perimesencephalic subarachnoid hemorrhage

Study Supports Less-Strict Monitoring for Nonaneurysmal Perimesencephalic SAH Without Hydrocephalus

Digital subtraction angiography remains central to assessment of ‘benign’ PMSAH

illustrated brain with the letters "AI" on a computer circuit board

As AI Tools Emerge, Be Proactive and Engaged to Shape Their Development

Cleveland Clinic neuromuscular specialist shares insights on AI in his field and beyond

histology image of a gray matter lesion in a multiple sclerosis brain

Study Suggests Protective Role for Microglia at Borders of Gray Matter Lesions in Progressive MS

Findings challenge dogma that microglia are exclusively destructive regardless of location in brain

series of digital-looking brain icons with a podcast button overlay on top
March 1, 2024/Neurosciences/Podcast

Harnessing the Power of AI in Medicine (Podcast)

Neurology is especially well positioned for opportunities to enhance clinical care and medical training

illustration of a neuron affected by multiple sclerosis

Clinical Trials in Progressive MS: An Assessment of Advances and Remaining Challenges

New review distills insights from studies over the past decade

Ad