Locations:
Search IconSearch

Concurrent Multiple Sclerosis and Cervical Stenosis: A Treatment Dilemma

Largest study to date yields valuable insights

mroz-690×380

By Daniel Lubelski, MD, and Thomas E. Mroz, MD

Advertisement

Cleveland Clinic is a non-profit academic medical center. Advertising on our site helps support our mission. We do not endorse non-Cleveland Clinic products or services. Policy

The clinical presentation and symptom progression of multiple sclerosis (MS) can overlap with those of other pathologies, making the underlying condition difficult to diagnose and treat. Specifically, cervical stenosis with myelopathy (CSM) can present with MS-like symptoms including gait ataxia, extremity weakness, spasticity and sensory loss due to spinal cord compression. When the two diseases occur concurrently (Figure), management is exceedingly difficult. While MS therapy involves immunomodulatory medications, CSM is often treated with surgical decompression. Furthermore, it is difficult to discern which disease process is responsible for the symptoms.

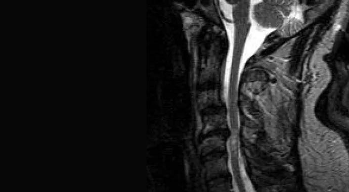
mroz-inset

Figure. Sagittal T2-weighted MRI of a patient with MS and cervical stenosis with myelopathy.

A literature search is not particularly helpful, as only a small number of case series with few patients have addressed this clinical dilemma. Assessment of outcomes in this unique patient cohort is difficult, as most institutions lack a sufficiently large patient volume to allow data aggregation and meaningful analysis.

Leveraging Volume and Expertise for Guidance

To overcome these challenges, researchers from two areas within Cleveland Clinic’s Neurological Institute ‒ the Center for Spine Health and the Mellen Center for Multiple Sclerosis Treatment and Research ‒ pooled our centers’ respective high patient volumes and specialized clinical expertise in treating these patients. Specifically, we performed a retrospective cohort-controlled analysis of outcomes of all patients with coexistent MS and CSM who underwent cervical decompression surgery at Cleveland Clinic from 1996 to July 2011.1

Advertisement

We collected data on patient demographics, preoperative symptoms and presentation, and pre- and postoperative severity of myelopathy as measured using the Nurick scale and the modified Japanese Orthopaedic Association (mJOA) classification of disability. Diagnoses of CSM were made by Center for Spine Health spine surgeons, and MS diagnoses and classifications were made by Mellen Center neurologists specializing in MS.

Largest Study to Date

The study included 154 patients ‒ 77 with concurrent MS and CSM plus 77 individually matched control patients with CSM alone who underwent cervical decompression surgery. Mean postoperative follow-up was 58 months and 49 months for the respective groups. This was the largest such study in the literature, as previous studies have included seven to 17 patients. It was also the first to include a matched control population.

Findings: Presentation and Symptom Resolution

We found that patients with CSM alone (control group) were significantly more likely to present with a main complaint of neck pain (78 percent vs. 47 percent, P = .0001) and radiculopathy (90 percent vs. 75 percent, P = .03) relative to those with both MS and CSM.

Following surgery, patients with MS and CSM had significantly lower rates of resolution of myelopathic symptoms. In the short term, 23 percent of patients in the control group did not improve vs. 39 percent in the MS/CSM group (P = .04); in the long term, 19 percent of the control group did not improve vs. 44 percent of the MS/CSM group (P = .004).

Findings: Myelopathy Scores

Analysis of Nurick and mJOA scores showed that although there were no significant between-cohort differences in the short term following surgery, there was a significant difference in the long term (i.e., at last follow-up visit):

Advertisement

› For patients with both MS and CSM, the mean change in Nurick and mJOA scores from preoperative levels to last follow-up was a worsening of scores by 0.5 points and 1.3 points, respectively.

› For control patients, the mean change was an improvement of scores by 0.3 and 1.3 points on the respective scales.

This translates to a between-cohort difference in mJOA score change of 2.6 points (i.e., a decrease of 1.3 for the MS/CSM group and an increase of 1.3 for the control group). This difference is greater than the 2-point minimal clinically important difference that has been previously described,2 suggesting that this difference is not only statistically significant (P < .0001) but also clinically relevant.

Impact of MS Subtype

Further analysis aimed to determine the impact of MS subtype on postoperative outcome. We found a strong trend toward higher rates of long-term improvement or resolution of myelopathic symptoms in patients with the milder relapsing-remitting form of MS compared with more severe MS subtypes, but it did not reach statistical significance. By the last follow-up visit, 64 percent of patients with relapsing remitting disease showed improvement or resolution of myelopathic symptoms vs. 47 percent of patients with primary progressive MS and 27 percent of patients with secondary progressive MS.

Implications for Clinical Practice

Myelopathic patients with coexisting MS and CSM have a distinct presentation relative to those with only CSM. Our data suggest that surgery should be considered for patients with this unique presentation of MS and CSM. These patients should be informed that their MS confers a greater likelihood that their myelopathic symptoms may not be alleviated or be alleviated only temporarily, but that surgery can help alleviate neck pain and radicular symptoms, if present. Finally, the strong trend toward better outcomes in patients with relapsing-remitting MS relative to those with primary and secondary progressive MS should inform patient counseling as well.

Advertisement

Dr. Lubelski received his medical degree at Cleveland Clinic Lerner College of Medicine with a particular interest in neurosurgery and spine surgery.

Dr. Mroz is C0-Director of the Center for Spine Health in Cleveland Clinic’s Neurological Institute.

REFERENCES

  1. Lubelski D, Abdullah KG, Alvin MD, Wang T, Nowacki AS, Steinmetz MP, Ransohoff RM, Benzel EC, Mroz TE. Clinical outcomes following surgical management of coexistent cervical stenosis and multiple sclerosis: a cohort-controlled analysis. Spine J. 2014;14:331-337.
  2. Bartels RH, Verbeek ALM, Grotenhuis JA. Design of Lamifuse: a randomized, multi-centre controlled trial comparing laminectomy without or with dorsal fusion for cervical myeloradiculopathy. BMC Musculoskelet Disord. 2007;8:111.

Advertisement

Related Articles

16-NEU-2800-Kubu-101058161-650&#215;450

What Do Patients Want from DBS for Parkinson’s Disease?

New study advances understanding of patient-defined goals

photo of a man sleeping at a desk, with a podcast icon overlay
March 15, 2024/Neurosciences/Podcast

Diagnosis and Management of Idiopathic Hypersomnia (Podcast)

Testing options and therapies are expanding for this poorly understood sleep disorder

illustration of an alzheimer brain and a packet of sildenafil pills
March 11, 2024/Neurosciences/Research

Sildenafil as an Alzheimer’s Candidate Drug: Further Support From Insurance Database and Mechanistic Studies

Real-world claims data and tissue culture studies set the stage for randomized clinical testing

brain scan showing perimesencephalic subarachnoid hemorrhage

Study Supports Less-Strict Monitoring for Nonaneurysmal Perimesencephalic SAH Without Hydrocephalus

Digital subtraction angiography remains central to assessment of ‘benign’ PMSAH

illustrated brain with the letters "AI" on a computer circuit board

As AI Tools Emerge, Be Proactive and Engaged to Shape Their Development

Cleveland Clinic neuromuscular specialist shares insights on AI in his field and beyond

histology image of a gray matter lesion in a multiple sclerosis brain

Study Suggests Protective Role for Microglia at Borders of Gray Matter Lesions in Progressive MS

Findings challenge dogma that microglia are exclusively destructive regardless of location in brain

series of digital-looking brain icons with a podcast button overlay on top
March 1, 2024/Neurosciences/Podcast

Harnessing the Power of AI in Medicine (Podcast)

Neurology is especially well positioned for opportunities to enhance clinical care and medical training

illustration of a neuron affected by multiple sclerosis

Clinical Trials in Progressive MS: An Assessment of Advances and Remaining Challenges

New review distills insights from studies over the past decade

Ad