Locations:
Search IconSearch
August 10, 2017/Digestive/Case Study

Complex Reoperation for Biliary Sclerosis: A Case Study

Experienced team makes complex redo possible

17-DDI-3797-Miller-CQD-hero

By Charles Miller, MD

Advertisement

Cleveland Clinic is a non-profit academic medical center. Advertising on our site helps support our mission. We do not endorse non-Cleveland Clinic products or services. Policy

History

Our patient is a 62-year-old male with severe secondary sclerosing cholangitis following a complex history of biliary reconstruction at a prestigious out-of-state institution, which resulted in a left and right hepatico-jejunostomy. After that, he suffered from multiple episodes of cholangitis and underwent right PTC stent placement and dilatations without any improvement.

Several surgical consultations at various other institutions concluded that surgery was not possible. Instead, stent replacement and antibiotics were recommended. Because of associated pain, the patient was also opioid dependent.

Presentation

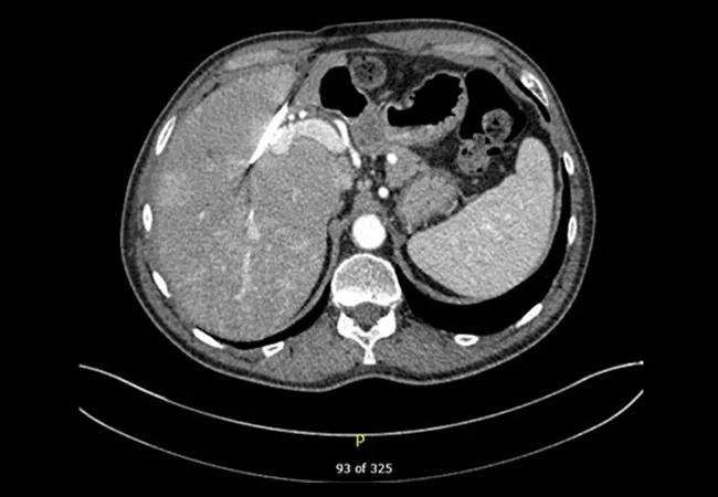
In April 2016, he presented to Cleveland Clinic where he was studied with both with an MRI and a CT scan (see main image above) that showed an atrophic left hepatic lobe, a right-sided internal-external percutaneous transhepatic biliary drainage catheter with mild segmental intrahepatic biliary dilatation in the right lobe, as well as a markedly atrophic left lobe. The left hepatic duct was completely obstructed and undrained.

Preoperative MRI showing right hepatic duct dilation.

Postoperative cholangiogram showing patent hepaticojejunostomy without filling defects.

CT scan showing the liver after left hepatectomy with a new hepaticojejunostomy.

Treatment

In May 2016, the patient underwent a left hepatectomy and removal of the entire left hepatic duct. The biliary drain on the right hepatic duct was exchanged on a wire and a short portion of the right hepatic duct was resected to fresh tissue. The right hepatico-jejeunostomy was also refashioned over a new stent.

Advertisement

Outcome

The patient recovered uneventfully. One month after surgery, a cholangiogram showed a widely patent hepatico-jejunostomy and the biliary drain was removed.

At one-year follow-up, the patient was doing well with no more episodes of cholangitis and normal liver function. He no longer uses opioids.

References

  1. Gondolesi G, Varotti G, Florman S, Munoz L, Fishbein T, Emre S, Schwartz M, Miller C. Biliary complications in 96 consecutive right lobe living donor transplant recipients. Liver Transplantation. 2004 Feb;10(2):244-7.
  2. Hashimoto K, Miller CM, Quintini C, Aucejo FN, Hirose K, Uso TD, Trenti L, Kelly DM, Winans CG, Vogt DP, Eghtesad B, Fung JJ. Is impaired hepatic arterial buffer response a risk factor for biliary anastomotic stricture in liver transplant recipients? Surgery. 2010 Sep;148(3):582-8.

Advertisement

Related Articles

Doctor talking with patient

Consider Risk Factors When Deciding Care Path for Postoperative Crohn’s Disease

Strong patient communication can help clinicians choose the best treatment option

Federico Aucejo, MD
February 7, 2024/Digestive/Transplant

New Research Indicates Liver Transplant, Resection as an Option for Patients with CRLM

ctDNA should be incorporated into care to help stratify risk pre-operatively and for post-operative surveillance

Impostor phenomenon
February 6, 2024/Digestive/Research

Recognizing the Impact of Impostor Phenomenon and Microaggressions in Gastroenterology

The importance of raising awareness and taking steps to mitigate these occurrences

Koji Hashimoto, MD, and team
February 2, 2024/Digestive/Research

Combined Cardiac Surgery and Liver Transplant Is a New Option for Highly Selected Patients

New research indicates feasibility and helps identify which patients could benefit

Ajita Prabhu, MD
January 29, 2024/Digestive/Case Study

Case Study: Repair Surgery for Patient with Hernia and Abdominal Damage

Treating a patient after a complicated hernia repair led to surgical complications and chronic pain

liver
December 8, 2023/Digestive/Research

MILU Improves Outcomes Among Critically Ill Patients with Advanced Liver Disease

Standardized and collaborative care improves liver transplantations

CQD-4306360-robotic-1
December 4, 2023/Digestive/Innovation

First Robotic Sleeve Gastrectomy Using Magnets in the US Performed at Cleveland Clinic

Fewer incisions and more control for surgeons

alcohol
November 17, 2023/Digestive/Research

Younger Patients with Alcohol-Associated Hepatitis Present to the ED More Often, Research Shows

Caregiver collaboration and patient education remain critical

Ad