Locations:
Search IconSearch
September 25, 2017/Digestive/Case Study

Complex Abdominal Wall Reconstruction in a Patient with Multiply Recurrent Hernia: A Case Study

Components separation returns viscera to abdominal cavity

17-DDI-3986-Hernia-Vignette-CQD-Hero

By Ajita Prabhu, MD, FACS

Advertisement

Cleveland Clinic is a non-profit academic medical center. Advertising on our site helps support our mission. We do not endorse non-Cleveland Clinic products or services. Policy

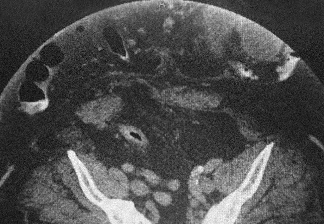
Loss of domain is defined as a clinical situation when more of the viscera is outside the abdominal cavity than inside.1 This can make closure of the fascia impossible, or can result in elevated intra-abdominal pressures leading to abdominal compartment syndrome.

The operative management of these patients can be quite challenging and is debated in terms of technique. Components separation, or release of the abdominal wall musculature, is one approach that can provide additional space to return the viscera to the abdominal cavity.

Vignette

The patient is a 61-year-old male with a BMI of 50, multiple prior venous thrombotic events, and history of two prior ventral hernia repairs. He developed a recurrence of his hernia with significant loss of abdominal domain. He then developed small bowel obstruction which was refractory to nasogastric decompression.

Saggital view of CT scan demonstrates more visceral content outside of the abdominal cavity than inside the abdominal cavity.

Preoperative preparation: This picture demonstrates loss of domain with compromised skin and soft tissue on top of the hernia defect.

Due to loss of domain, the patient’s body habitus, and expected complexity of his operation, he was not considered to be a candidate for surgery locally. He was discharged to home, obstructed, on TPN from his local hospital.

He travelled from Texas to Cleveland Clinic for further evaluation while starting to recover from his obstruction. Only tolerating liquids by mouth, he was evaluated in the office and booked for surgery the following week. His obstruction was relieved and his abdominal wall was fully reconstructed with a component-separation technique2, using four pieces of synthetic mesh sewn together measuring 52 cm x 62 cm, to reinforce the repair.

Advertisement

Four large pieces of synthetic mesh were sewn together in order to fully reconstruct the abdominal wall and reinforce the repair.

Postoperative view: Once the abdominal wall was reconstructed, a substantial amount of redundant skin and soft tissue was resected to mitigate risk of wound ischemia and secondarily to improve cosmesis.

His postoperative course was uneventful, and he was able to go home two weeks after discharge from the hospital. He had a minor wound issue at home, which we were able to evaluate and treat through a “virtual” visit. The patient continues to recover well at home.

References

  1. Novitsky YW, Elliott HL, Orenstein SB, Rosen MJ. Transversus abdominis muscle release: a novel approach to posterior component separation during complex abdominal wall reconstruction. Am J Surg. 2012 Nov; 204(5): 709-16.
  2. Petro CC, O’Rourke CP, Posielski NM, Criss CN, Raigani S, Prabhu AS, Rosen MJ. Designing a ventral hernia staging system. Hernia. 2016 Feb;20(1):111-7.
  3. Petro CC, Como JJ, Yee S, Prabhu AS, Novitsky YW, Rosen MJ. Posterior component separation and transversus abdominis muscle release for complex incisional hernia repair in patients with a history of an open abdomen. J Trauma Acute Care Surg. 2015 Feb;78(2):422-9.
  4. Lipman J, Medalie D,Rosen Staged repair of massive incisional hernias with loss of abdominal domain: a novel approach. Am J Surg. 2008 Jan;195(1):84-8.
  5. Petro CC, Raigani S, Fayezizadeh M, Rowbottom JR, Klick JC, Prabhu AS, Novitsky YW,Rosen Permissible Intraabdominal Hypertension following Complex Abdominal Wall Reconstruction. Plast Reconstr Surg. 2015 Oct;136(4):868-81.

Advertisement

Related Articles

Doctor talking with patient

Consider Risk Factors When Deciding Care Path for Postoperative Crohn’s Disease

Strong patient communication can help clinicians choose the best treatment option

Federico Aucejo, MD
February 7, 2024/Digestive/Transplant

New Research Indicates Liver Transplant, Resection as an Option for Patients with CRLM

ctDNA should be incorporated into care to help stratify risk pre-operatively and for post-operative surveillance

Impostor phenomenon
February 6, 2024/Digestive/Research

Recognizing the Impact of Impostor Phenomenon and Microaggressions in Gastroenterology

The importance of raising awareness and taking steps to mitigate these occurrences

Koji Hashimoto, MD, and team
February 2, 2024/Digestive/Research

Combined Cardiac Surgery and Liver Transplant Is a New Option for Highly Selected Patients

New research indicates feasibility and helps identify which patients could benefit

Ajita Prabhu, MD
January 29, 2024/Digestive/Case Study

Case Study: Repair Surgery for Patient with Hernia and Abdominal Damage

Treating a patient after a complicated hernia repair led to surgical complications and chronic pain

liver
December 8, 2023/Digestive/Research

MILU Improves Outcomes Among Critically Ill Patients with Advanced Liver Disease

Standardized and collaborative care improves liver transplantations

CQD-4306360-robotic-1
December 4, 2023/Digestive/Innovation

First Robotic Sleeve Gastrectomy Using Magnets in the US Performed at Cleveland Clinic

Fewer incisions and more control for surgeons

alcohol
November 17, 2023/Digestive/Research

Younger Patients with Alcohol-Associated Hepatitis Present to the ED More Often, Research Shows

Caregiver collaboration and patient education remain critical

Ad