Locations:
Search IconSearch
September 29, 2016/Global Medicine

Case Study: Transcontinental Care for a Rare Form of MV Prolapse

Canadian patient has robotic surgery in Abu Dhabi, follow-up in Cleveland

mitral valve prolapse

In July 2015, Canadian engineering student Bala Krishnamoorthy underwent a routine checkup while visiting his parents in Dubai, United Arab Emirates (UAE). His physician noticed a heart murmur and referred the young man to a cardiologist. An echocardiogram confirmed mild mitral valve prolapse. Because regurgitation was initially minimal, periodic monitoring was recommended.

Advertisement

Cleveland Clinic is a non-profit academic medical center. Advertising on our site helps support our mission. We do not endorse non-Cleveland Clinic products or services. Policy

Nine months later, the 22-year-old began experiencing palpitations and consulted his personal physician in Toronto. This time, echo showed severe regurgitation, as well as mild dilation of the left atrium and left venticle.

Newly graduated from university, Mr. Krishnamoorthy had made plans to return to Dubai to visit his parents. This enabled him to schedule a visit with the cardiologist who had diagnosed his condition, who referred him to Cleveland Clinic cardiothoracic surgeon Rakesh Suri, MD, DPhil, at Cleveland Clinic Abu Dhabi to assess the feasibility and timing of robotic mitral valve repair. Dr. Suri is Chair of Thoracic and Cardiovascular Surgery and Chief of Staff at Cleveland Clinic Abu Dhabi, which is also located in the UAE.

Weighing early repair

After reviewing the patient’s test results, Dr. Suri recommended the patient consider early mitral valve repair to prevent further damage to the heart. The operation could be performed robotically, shortening hospitalization and recovery time, and could be done either at Cleveland Clinic’s main campus in Ohio or at Cleveland Clinic Abu Dhabi.

For Mr. Krishnamoorthy, the opportunity to undergo valve repair via a minimally invasive procedure at a convenient time and in a location close to his family was highly appealing.

“Robotic mitral valve repair is not available in Canada,” he explains. “And because surgeries here are scheduled based on urgency and availability, I would not be able to choose the date I wanted. Since I had just graduated and would not start my first job until September, undergoing robotic mitral valve repair with Dr. Suri at Cleveland Clinic Abu Dhabi would allow my family to be with me and would give me the summer to recover.”

Advertisement

Mr. Krishnamoorthy was offered complex robotic mitral valve repair by Dr. Suri in either Cleveland or Abu Dhabi, according to his convenience. He consented to the procedure, selected Abu Dhabi as the location, and underwent a successful robotic repair of his mitral valve there the following day.

Anterior leaflet prolapse: A complex repair

Mr. Krishnamoorthy suffered from a rare form of mitral valve prolapse that affects the anterior leaflet (Figures). Valves with this defect are generally replaced at most centers around the world. If patients select a mechanical heart valve replacement — which younger patients generally favor — they must remain on lifelong oral anticoagulation.

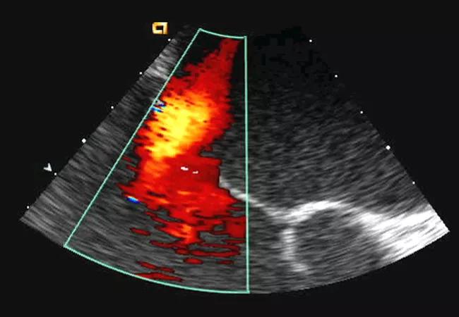
mitral valve prolapse

Figure 1. Representative echo (not from the case patient) showing anterior leaflet mitral valve prolapse and posterior-directed mitral regurgitation jet.

Mitral valve prolapse

Figure 2. Illustration of anterior leaflet prolapse regurgitation.

“Even if he had been offered open repair elsewhere, the likelihood of saving the valve would have been low,” says Dr. Suri. “At Cleveland Clinic, our heart valve repair teams specialize in these types of complex valve saving-procedures.”

Encouraging outcomes regardless of complexity

With only a few surgeons performing robotic mitral valve repair globally, Cleveland Clinic has one of the largest experiences in the world with the procedure. At the 2016 meeting of the American Association for Thoracic Surgery, surgeon A. Marc Gillinov, MD, presented an analysis of the first 1,000 patients who underwent robotically assisted primary mitral valve surgery at Cleveland Clinic’s main campus between 2006 and 2013. Among the 960 patients with degenerative mitral valve disease, 80 percent had isolated posterior leaflet prolapse, 17 percent had bileaflet prolapse and 2.5 percent had isolated anterior leaflet prolapse. Among the 1,000 patients, 997 repairs were attempted and 992 were accomplished, for a completion rate of 99.5 percent. Intraoperative echo verified that 99.7 percent left the operating room with mild or less than mild regurgitation.

Advertisement

Outcomes of robotic mitral valve repair are equal to those of open repair or replacement. Dr. Suri and colleagues recently published a study of 487 patients undergoing robotic mitral valve repair for all complexities of disease that demonstrated five-year survival of 99.5 percent, infrequent complications and low likelihood of mitral regurgitation occurrence, regardless of repair complexity.

“Awareness of these outcomes is important to inform contemporary decisions regarding high-quality alternatives to conventional open and percutaneous mitral repair,” Dr. Suri notes.

Leveraging global care in a global society

Mr. Krishnamoorthy was hospitalized three nights before being discharged. His family drove him back to Dubai, and he flew back to Toronto two weeks later.

Three weeks after surgery, he met with his surgeon again — this time, at Cleveland Clinic in Ohio. Had Dr. Suri not been there, Dr. Gillinov or another cardiac surgeon experienced in robotic procedures would have performed the follow-up.

“Cleveland Clinic is the largest integrated multispecialty medical practice in the world,” says Dr. Suri. “Whether you are in the Middle East or the Midwest, we coordinate our team efforts to provide the highest-quality innovative care to the right patient at the right time in the right way.”

Mr. Krishnamoorthy is looking forward to starting his career free of palpitations and worry. “Dr. Suri told me to see my cardiologist once a year in Toronto and send him the report,” he says.

Advertisement

Related Articles

BynderImage

Heena New Post

Required
February 29, 2024/Global Medicine

ra

Test Subtitle

this is alt text
February 5, 2024/Global Medicine/Research

Heena Testing Category For CQD Post

Testing CQD Post

22-NUR-3480072-Magnet4Europe-CQD_650x450
February 1, 2023/Global Medicine

Cleveland Clinic Supports British Healthcare System as Part of Magnet4Europe Initiative

Nursing leaders share knowledge, ideas and experience

22-HVI-3435932_CIED-leads_650x450
January 11, 2023/Global Medicine

Web Platform Creates a Community for Electrophysiologists and Lead Management Caregivers Worldwide

Freely accessible LEADconnection.org is a one-stop shop for advice and more

22-NEU-3409080-CQD-Hero-650×450
December 12, 2022/Global Medicine

First-of-Kind Review Reveals Notable Climate Change-Related Impacts on Neurologic Health

Scoping review implicates temperature extremes, air pollutants, expanding infectious disease risk

22-GPS-3096658-CQD-Hero-650×450-1

Hospital Leaders Employ Value-Based Care to Reduce Medical Costs, Improve Population Health Worldwide

Reforms aim to address escalating healthcare spending with new global care-delivery strategies

22-GPS-2963470-CQD-Hero-650×450-1
August 16, 2022/Global Medicine/Education

New Fellowships Provide Specialized Training to Saudi Medical Professionals

Program extends Cleveland Clinic’s commitment to global education and healthcare

Ad