Locations:
Search IconSearch
August 22, 2016/Neurosciences

Case Study: A Toddler with Seizures, Hypsarrhythmia and an Evolving MRI

Would you recommend surgery in this challenging case?

Case Study: A Toddler With Seizures, Hypsarrhythmia and an Evolving MRI

By Elaine Wyllie, MD, and William Bingaman, MD

Advertisement

Cleveland Clinic is a non-profit academic medical center. Advertising on our site helps support our mission. We do not endorse non-Cleveland Clinic products or services. Policy

Presentation

16-NEU-1760-inset-1

This bright and healthy little girl developed a strange new behavior at 11 months of age. Several times a day, her parents watched with concern as she sat motionless on the floor, stared intently at certain repetitive visual patterns on the carpet, and appeared dazed and confused for a few minutes with tears in her eyes. Her mother, a medical professional, feared that the episodes were seizures and consulted an epilepsy specialist at Cleveland Clinic.

Upon careful review of a cell phone video, a pediatric epileptologist (E.W.) validated the mother’s astute concern. A diagnosis of visually provoked epileptic seizures was further supported by results of a routine EEG showing epileptiform discharges, or sharp waves, from the child’s posterior head regions. Based on the clinical picture, a focal malformation of cortical development was suspected as the most likely cause. But an MRI with limited sequences taken previously at a community hospital had shown no clear abnormality.

Hopes for a quick resolution were dashed when seizures persisted with nearly daily frequency despite treatment with levetiracetam and topiramate. Then, four months after seizure onset, her course took an even more worrisome turn.

Clinical course

At 15 months of age, the girl developed a new seizure type and EEG documented epileptic spasms with the diffuse, chaotic pattern of hypsarrhythmia. Clearly, her epilepsy was evolving rapidly as she progressed though the infantile stages of brain development.

16-NEU-1760-inset-2

Despite further treatment with ACTH, vigabatrin, a benzodiazepine and valproate, the spasms continued relentlessly. Extensive evaluations for a neurologic, metabolic or genetic problem were all negative, and empiric trials of pyridoxine and folinic acid were not helpful. Was there any chance that a surgically remediable focal malformation of cortical development was being overlooked? Repeating the MRI meant subjecting the child to another round of general anesthesia, but the potential benefit outweighed the risk.

Advertisement

The second MRI was performed with more detailed sequencing. Although the resulting images were again declared normal, subtle abnormality in sulcation and arborization could be detected on the T1 MP-RAGE sequence in the right temporoparietal occipital region. On FDG-PET scan the same area was relatively hypometabolic, increasing suspicion of a focal malformation.

After extensive discussion with all the neurologists, neurosurgeons, neuroradiologists and bioethicists on the epilepsy team, the parents of the now 18-month-old girl were advised to consider epilepsy surgery in the form of right temporoparietal occipital resection. But when the family sought a second opinion at another center, they were advised against surgery.

What were the controversial points leading to the divergent opinions? In the absence of localizing features on EEG, the MRI was critical to forging a surgical strategy. Since both tests are strongly influenced by developmental changes during infancy, interpretation may sometimes be a challenge. In this girl’s case, the neurologist offering the second opinion was not confident the MRI was clearly abnormal.

Discussion: Serial studies may be critical in infants, young children

Brain maturation and the progression of myelination, which are very active in the first two years, can lead to vastly different findings in serial tests and images in infants with focal brain lesions over time. On EEG, this evolution may take the form of progression from focal to more diffuse EEG patterns. For this reason, neither hypsarrhythmia in infants (Chugani et al, Epilepsia. 1993;34:764-771) nor generalized slow spike-wave complexes in children (Wyllie et al, Neurology. 2007:69:389-397) contraindicate epilepsy surgery in the setting of early focal brain lesions. Despite these nonlocalized patterns, children with early focal brain lesions may be freed from seizures with epilepsy surgery.

Advertisement

In contrast with EEG, the MRI in infants may provide greater localizing information over time as myelination progresses and the gray-white matter junction becomes increasingly distinct. As illustrated by reports from Sankar et al (Am J Neuroradiol. 1995;16:1265-1272) and Kang et al (Brain Dev. 2013;35:816-820), some focal malformations of cortical development may only become clearly apparent with serial imaging over time.

MRI sequencing may also play a role. In infants, T2 sequences are most useful for detecting focal cortical dysplasia, while FLAIR sequences can be highly misleading. One of the concerns about this girl’s first MRI was that it included only limited T2-weighted sequences.

In some infants, the MRI must be repeated over time to demonstrate a subtle abnormality, but once the finding is detected, it cannot be ignored.

Case continued

Based on the second opinion consultation, the family declined surgery. The girl returned at age 20 months with continued daily clusters of spasms despite trying seven antiepileptic medications and a ketogenic diet. She also had severe epileptic encephalopathy with developmental regression. She was nonverbal, irritable and withdrawn, as well as unsteady. Despite wearing a helmet, she had a black eye and multiple bruises from frequent falls. She also had developed a new seizure type in the form of generalized tonic clonic seizures lasting several minutes.

16-NEU-1760-inset-3

16-NEU-1760-inset-4

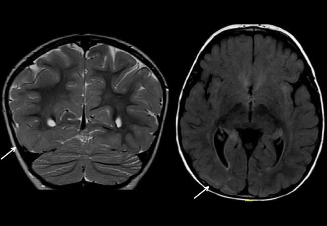
To confirm the presence of a focal cortical malformation beyond all doubt, a third MRI was performed at 22 months. This time, the findings were incontrovertible: With more advanced brain maturation and myelination, the extensive right temporoparietal occipital malformation was clearly visible.

Advertisement

Resection of the right temporoparietal occipital region was again recommended. The parents were counseled that although deciding on brain surgery for an infant is understandably daunting, surgical resection offered the best chance of stopping the seizures, in her case with a 60 to 70 percent likelihood of a seizure-free outcome and up to 90 percent chance of improvement.

The family met with an epilepsy neurosurgeon (W.B.), who informed them that the surgery would result in hemianopsia, possibly precluding the ability to drive later in life, and entail a small risk of bleeding, infection, stroke or death. The surgeon advised that in this case, the risks of surgery clearly appeared to be lower than the risks of a lifetime with severe, uncontrolled epilepsy.

16-NEU-1760-inset-5

At 23 months of age, the girl underwent right temporoparietal occipital resection. Her recovery was swift, with no operative complications. Histopathology confirmed cortical dysplasia with vertical and horizontal disorganization of the neocortical layers.

Outcome and conclusions

During the 2.5 years since surgery, the patient has experienced no seizures, even after antiepileptic medications were withdrawn. She immediately began moving forward developmentally, and has fully regained her cheerful personality. She requires some extra help with language but is communicating more clearly every day.

This case underscores that in children with early focal brain lesions, nonlocalized EEG patterns such as hypsarrhythmia are not absolute contraindications to epilepsy surgery. In the absence of a strong diagnosis of a cause of epilepsy, a child should be thoroughly investigated for surgical indications. For infants, this may require serial MRIs with general anesthesia to uncover a subtle but devastating focal malformation of cortical development. The reward may be life-changing.

Advertisement

To view a webcast of this and nine other epilepsy cases in the “Hot Topics in Epilepsy for Children and Adults” CME-certified webcast series, visit www.ccfcme.org/EpilepsyCME. This activity has been approved for AMA PRA Category 1 Credit™.

Dr. Wyllie is a pediatric epilepsy specialist in Cleveland Clinic’s Neurological Institute and a professor at Cleveland Clinic Lerner College of Medicine. Dr. Bingaman is Vice Chairman of Cleveland Clinic’s Neurological Institute and Head of the Section of Epilepsy Surgery.

Related Articles

16-NEU-2800-Kubu-101058161-650×450

What Do Patients Want from DBS for Parkinson’s Disease?

New study advances understanding of patient-defined goals

photo of a man sleeping at a desk, with a podcast icon overlay
March 15, 2024/Neurosciences/Podcast

Diagnosis and Management of Idiopathic Hypersomnia (Podcast)

Testing options and therapies are expanding for this poorly understood sleep disorder

illustration of an alzheimer brain and a packet of sildenafil pills
March 11, 2024/Neurosciences/Research

Sildenafil as an Alzheimer’s Candidate Drug: Further Support From Insurance Database and Mechanistic Studies

Real-world claims data and tissue culture studies set the stage for randomized clinical testing

brain scan showing perimesencephalic subarachnoid hemorrhage

Study Supports Less-Strict Monitoring for Nonaneurysmal Perimesencephalic SAH Without Hydrocephalus

Digital subtraction angiography remains central to assessment of ‘benign’ PMSAH

illustrated brain with the letters "AI" on a computer circuit board

As AI Tools Emerge, Be Proactive and Engaged to Shape Their Development

Cleveland Clinic neuromuscular specialist shares insights on AI in his field and beyond

histology image of a gray matter lesion in a multiple sclerosis brain

Study Suggests Protective Role for Microglia at Borders of Gray Matter Lesions in Progressive MS

Findings challenge dogma that microglia are exclusively destructive regardless of location in brain

series of digital-looking brain icons with a podcast button overlay on top
March 1, 2024/Neurosciences/Podcast

Harnessing the Power of AI in Medicine (Podcast)

Neurology is especially well positioned for opportunities to enhance clinical care and medical training

illustration of a neuron affected by multiple sclerosis

Clinical Trials in Progressive MS: An Assessment of Advances and Remaining Challenges

New review distills insights from studies over the past decade

Ad