Locations:
Search IconSearch
October 19, 2016/Neurosciences/Case Study

Case Study: A Teen with Severe, Refractory Epilepsy and Normal MRI

What role for invasive evaluation in a “nonlesional” case of refractory epilepsy in a teen?

16-neu-1856-gonzalez-650×450

By Jorge Gonzalez-Martinez, MD, PhD

Advertisement

Cleveland Clinic is a non-profit academic medical center. Advertising on our site helps support our mission. We do not endorse non-Cleveland Clinic products or services. Policy

Presentation

16-neu-1856-inset1

Figure 1. Interictal EEGs at presentation.

“Cody,” age 17, has about 20 seizures daily, mostly during deep sleep. When they occur while awake, he describes an aura of “feeling emptiness in my head,” followed by staring, deep breathing and tonic stiffening of facial muscles. His parents report that during a seizure he wanders about senselessly, “like a robot.”

Since the seizures started at age 9, he has tried without success eight antiepileptic medications, vagus nerve stimulation and medical marijuana. He is struggling in school.

Interictal EEG (Figure 1) shows left frontal sharp waves occurring with high frequency and increased during sleep, with maximum at electrodes F3 and Fp1. Left frontal polyspikes and fast activity are also evident.

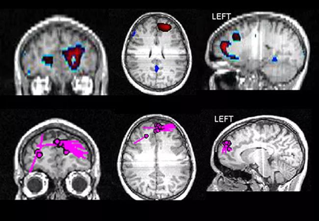
His MRI and PET are interpreted as normal, but upon closer look, the PET appears to show possible focal hypometabolism in the left anteromesial frontal region (Figure 2).

Drawing further attention to this area are the findings on ictal SPECT, with left anteromesial frontal hyperperfusion during a seizure, and findings on magnetoelectroencephalogram (MEG), which show a cluster of rare dipoles in the same region (Figure 2).

16-neu-1856-inset2

Figure 2. Left frontal localization supported by noninvasive testing with FDG-PET (top), ictal SPECT (middle) and magnetoencephalography (bottom)

With concordance of data from EEG, PET, ictal SPECT and MEG, it appears likely that seizures are arising from a focal region in the left anterior frontal lobe. But in the absence of a visible lesion on MRI, developing a surgical plan would require further study to pinpoint the exact region of seizure onset in relation to Broca’s language area.

Advertisement

Is invasive evaluation indicated?

The constellation of evidence has converged on one region, and it is reasonable to expect that epilepsy surgery may be possible. On the other hand, questions remain unanswered. Each noninvasive test has limitations: The EEG and MEG evaluated interictal periods, and the PET scan was equivocal. Because ictal SPECT reflects propagation of the seizure activity, the timing of injection relative to the EEG and seizure onset is critical. Late injection may not provide evidence of brain regions activated early.

It is likely that the epileptogenic area in our patient is small, but because no lesion is evident on MRI, the surgeon would likely feel compelled to perform a large resection. Although the anteromesial frontal area is considered “non-eloquent” for motor and language, it would be best to minimize and focus the resection if possible. Invasive testing with stereotactic depth electrodes — i.e., the technique known as stereoelectroencephalography (SEEG) — would allow exploration of the deep cortical areas with great precision, which is not possible with other studies.

The team decides to proceed with an invasive evaluation, to pinpoint the region for resection. Based on imaging and semiology, we were able to place six SEEG electrodes across a very focal area with trajectories through lateral frontal cortex into mesial frontal, cingulate, frontopolar and pre-supplementary motor areas.

Electrocorticographic interictal and ictal recording shows spikes in the mesial superior anterior frontal gyrus (L′ 2-4), indicating a very discrete, focal epileptogenic area (Figure 3).

Advertisement

16-neu-1856-inset3

Figure 3. Intracranial SEEG confirms localization of ictal onset to the left anterior mesial superior frontal gyrus (L′ 2-4).

Is laser surgery a possibility?

Laser surgery is an FDA-approved technique used for ablating small, deep brain tissue. In the U.S., it is usually used to treat mesial temporal sclerosis. It is a well-controlled procedure performed under MRI guidance, in contrast to radiofrequency ablation, which is performed in a blind fashion.

Using laser surgery in nonlesional tissue is controversial. Based on EEG data, this patient could be regarded as “almost lesional,” with the epileptogenic zone shown by invasive testing to be restricted to a very focal area. This makes him a good candidate for either laser ablation or resection.

Case continued: Laser ablation performed

The stereotactic electrodes are removed from the patient and the laser probe is placed following the same path as the L′ electrode used for recording. Ablation is performed (Figure 4).

16-neu-1856-inset4

Figure 4. Intraoperative imaging showing thermography results during the laser ablation procedure.

Postoperative MRI shows an ablated area 1.5 cm in diameter in the mesial frontal area.

Outcome

One year after surgery, the patient remains seizure-free on a single antiepileptic medication. EEG shows no epileptiform discharges, and Cody is enjoying his passion — riding a motorcycle.

Two key takeaways

1) Laser ablation is a reasonable alternative to open craniotomy for epilepsy surgery in some cases.Laser ablation can be considered for well-localized small lesions with very clear demarcation of the epileptogenic zone. Advantages are that it can be performed in a minimally invasive fashion without need for craniotomy and with a usual hospital stay of just 24 hours rather than several days. Risks of infection, hemorrhage, infarction, deep thrombosis and cerebrospinal fluid leaks are lower for laser ablation than for open resection. Most importantly, ablation offers access to treatment for patients in whom craniotomy is deemed too risky or undesired.

Advertisement

However, at this point outcomes data with laser ablation are limited to relatively short-term follow-up, whereas resection has proven to yield very good long-term outcomes. Compared with surgery, laser ablation most likely offers a slightly lower rate of complete freedom from seizures.

2) Seek new data when an MRI is negative. Especially in a young person with medically intractable severe epilepsy, it is important to look hard to find evidence for a lesion that can be treated. This case underscores the importance of further evaluation and not relying on any one study in isolation.

To view a webcast of this and nine other epilepsy cases in the “Hot Topics in Epilepsy for Children and Adults” CME-certified webcast series, visit www.ccfcme.org/EpilepsyCME. This activity has been approved for AMA PRA Category 1 Credit™.

Dr. Gonzalez-Martinez is a staff neurosurgeon in Cleveland Clinic’s Epilepsy Center.

Advertisement

Related Articles

16-NEU-2800-Kubu-101058161-650×450

What Do Patients Want from DBS for Parkinson’s Disease?

New study advances understanding of patient-defined goals

photo of a man sleeping at a desk, with a podcast icon overlay
March 15, 2024/Neurosciences/Podcast

Diagnosis and Management of Idiopathic Hypersomnia (Podcast)

Testing options and therapies are expanding for this poorly understood sleep disorder

illustration of an alzheimer brain and a packet of sildenafil pills
March 11, 2024/Neurosciences/Research

Sildenafil as an Alzheimer’s Candidate Drug: Further Support From Insurance Database and Mechanistic Studies

Real-world claims data and tissue culture studies set the stage for randomized clinical testing

brain scan showing perimesencephalic subarachnoid hemorrhage

Study Supports Less-Strict Monitoring for Nonaneurysmal Perimesencephalic SAH Without Hydrocephalus

Digital subtraction angiography remains central to assessment of ‘benign’ PMSAH

illustrated brain with the letters "AI" on a computer circuit board

As AI Tools Emerge, Be Proactive and Engaged to Shape Their Development

Cleveland Clinic neuromuscular specialist shares insights on AI in his field and beyond

histology image of a gray matter lesion in a multiple sclerosis brain

Study Suggests Protective Role for Microglia at Borders of Gray Matter Lesions in Progressive MS

Findings challenge dogma that microglia are exclusively destructive regardless of location in brain

series of digital-looking brain icons with a podcast button overlay on top
March 1, 2024/Neurosciences/Podcast

Harnessing the Power of AI in Medicine (Podcast)

Neurology is especially well positioned for opportunities to enhance clinical care and medical training

illustration of a neuron affected by multiple sclerosis

Clinical Trials in Progressive MS: An Assessment of Advances and Remaining Challenges

New review distills insights from studies over the past decade

Ad