Locations:
Search IconSearch

Case Study Spotlights Pioneering Use of Staged Radiosurgery for Previously Untreatable Brain Metastases

A profile in multidisciplinary metastasis management

Angelov-690×380

By Lilyana Angelov, MD

Advertisement

Cleveland Clinic is a non-profit academic medical center. Advertising on our site helps support our mission. We do not endorse non-Cleveland Clinic products or services. Policy

Presentation: Painful mass in the lower right leg

Leg pain in a 19-year-old football player is typically no cause for alarm. But this patient’s pain in the lower right leg persisted and was associated with a mass, so his primary care physician referred him to Cleveland Clinic’s Orthopaedic & Rheumatologic Institute in 2007. So began a journey involving multidisciplinary, multimodality care over nearly a decade in which providers across several Cleveland Clinic institutes partnered with this brave young man to beat the odds.

Evaluation reveals high-grade osteosarcoma

A biopsy was performed, and the mass was diagnosed as a high-grade osteosarcoma. This is the most common type of malignant primary bone cancer, and it most often affects children and young adults. Bone and soft tissue cancers represent fewer than 1 percent of cancer cases and are unfortunately difficult malignancies to treat. Just as in the case of this active teenager, their associated pain typically occurs at nighttime and with sports.

Treatment: Deploying a full arsenal against extensive metastases

Because of the patient’s young age, he received aggressive treatment. Before surgery, he had 18 cycles of chemotherapy to shrink the tumor. His leg was amputated below the knee.

Unfortunately, osteosarcoma is among the pediatric tumors with the worst prognosis, even when aggressive chemotherapy and local resection are used. The poor prognosis is related to both recurrence and distal metastases.

Shortly following his limb amputation, the patient was diagnosed with bilateral lung metastases, and a Cleveland Clinic thoracic surgeon resected these tumors as a component of his crucial salvage therapy. The patient then restarted chemotherapy in April 2008, which has been an ongoing part of his treatment over these last 8.5 years. Lung metastases are known to be a common complication of osteosarcoma, and the patient has repeatedly developed lung lesions, which continue to be treated with surgery and/or chemotherapy. Such aggressive management of these lesions has meaningfully prolonged his survival.

Advertisement

Over the years, metastases in this patient have involved multiple other organs and body parts: stomach, ascending colon, ribs and diaphragm. These too were resected, and the patient carried on with chemotherapy and working, as tolerated, in an attempt to pursue a normal life for a young adult.

Metastasis to the brain

Then a new obstacle arose: a brain metastasis near the part of his brain that controls one side of his body. In March 2014, the patient unexpectedly developed a nosebleed. As part of the workup for this seemingly innocuous event, an MRI was performed and revealed a 1.6-cm metastatic osteosarcoma-related tumor in the right precentral gyrus. Although this was a concerning location, he had not yet developed neurological symptoms. Brain metastases are uncommon in sarcoma patients (developing in only 8 percent of cases), yet rare presentations appear to be the norm for this young man who had already endured so much.

The patent was sent to Cleveland Clinic’s Rose Ella Burkhardt Brain Tumor and Neuro-Oncology Center and the Department of Radiation Oncology to co-manage the new brain metastasis. Our goal was to provide effective local treatment to the tumor while minimizing his time off chemotherapy, which was keeping the various other sites of metastases under reasonable control.

Gamma Knife® radiosurgery was the treatment of choice in this patient, as it delivers high-intensity targeted radiation, typically in a single session, to effectively control even radioresistant brain metastases such as those from osteosarcoma. Further, Gamma Knife surgery is an outpatient procedure requiring no meaningful recovery time, so it allowed resumption of his chemotherapy immediately following treatment.

Advertisement

A new approach to Gamma Knife radiosurgery

Unfortunately, while the brain metastasis was stable for a year, it began growing again. The Gamma Knife treatment had transiently controlled the brain tumor but not had ablated all the cancer cells within it, and they appeared to emerge from their dormant state and grow again.

Fortunately, we were able to offer this patient staged Gamma Knife radiosurgery, a new approach that involves two treatments one month apart, each with a medium-high dose of radiation that intensifies delivery of radiation without injuring the brain. This “1 + 1 = 3” approach serves to better protect the surrounding normal brain tissue from excessive radiation while giving an even higher than normal dose to the brain metastasis in the hopes of eradicating it with higher radiation dosing.

Staged Gamma Knife radiosurgery is a novel treatment first performed in Japan within the last few years and recently reported by Yomo and Hayashi. This year, Cleveland Clinic became the first site outside Japan to provide this pioneering therapy. It offers new hope for patients with very Iarge or radioresistant brain tumors that don’t respond to standard Gamma Knife radiosurgery.

Outcomes promising in this patient and others

Since we began performing staged Gamma Knife radiosurgery for large and/or radioresistant tumors, this patient and many others with equally challenging brain metastases have responded well to it. At Cleveland Clinic, staged Gamma Knife radiosurgery for large brain metastases has been shown to be feasible, safe and effective. Preliminary results have demonstrated significant (P = .002) reduction in the size of the metastasis after the second Gamma Knife treatment and a 90.5 percent response rate (data being prepared for publication).

Advertisement

While early results are excellent, it will take time to know whether this approach can offer durable control of the most therapeutically challenging category of brain metastases while minimizing short- and intermediate-term effects of our interventions.

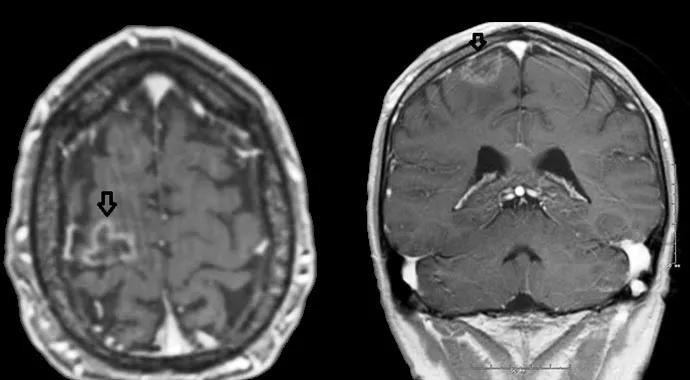
For now, however, the case patient remains fully functional and is able to live independently and work. The figure below presents axial and coronal images showing the size of his lesion at a recent follow-up appointment. Each time he looks at his providers with his gentle, smiling eyes and shakes our hands with his own hand calloused from hard work as a carpenter, there is no doubt about the huge impact on his life made by this pioneering treatment approach and all the care received from his multidisciplinary management team.

Angelov image_Use for primary and inset

Figure. Axial and coronal brain images of the patient at a recent follow-up visit. Arrows point to his lesion.

In a highly complicated case like this, when a patient develops metastases throughout the body, Cleveland Clinic’s multidisciplinary approach is especially important. This patient’s many providers have worked together closely to ensure prompt interventions (often with aggressive therapies) and meticulous integration of his many concomitant treatments through careful monitoring. When that collaborative approach has yielded as much as it can, we have been ready to try novel approaches as necessary.

We are honored to help this young man maintain his globally excellent quality of life, and we are committed to helping him continue to beat the odds against a tremendously tenacious malignancy.

Advertisement

Dr. Angelov is a neurosurgeon in Cleveland Clinic’s Rose Ella Burkhardt Brain Tumor and Neuro-Oncology Center.

Related Articles

16-NEU-2800-Kubu-101058161-650×450

What Do Patients Want from DBS for Parkinson’s Disease?

New study advances understanding of patient-defined goals

photo of a man sleeping at a desk, with a podcast icon overlay
March 15, 2024/Neurosciences/Podcast

Diagnosis and Management of Idiopathic Hypersomnia (Podcast)

Testing options and therapies are expanding for this poorly understood sleep disorder

illustration of an alzheimer brain and a packet of sildenafil pills
March 11, 2024/Neurosciences/Research

Sildenafil as an Alzheimer’s Candidate Drug: Further Support From Insurance Database and Mechanistic Studies

Real-world claims data and tissue culture studies set the stage for randomized clinical testing

brain scan showing perimesencephalic subarachnoid hemorrhage

Study Supports Less-Strict Monitoring for Nonaneurysmal Perimesencephalic SAH Without Hydrocephalus

Digital subtraction angiography remains central to assessment of ‘benign’ PMSAH

illustrated brain with the letters "AI" on a computer circuit board

As AI Tools Emerge, Be Proactive and Engaged to Shape Their Development

Cleveland Clinic neuromuscular specialist shares insights on AI in his field and beyond

histology image of a gray matter lesion in a multiple sclerosis brain

Study Suggests Protective Role for Microglia at Borders of Gray Matter Lesions in Progressive MS

Findings challenge dogma that microglia are exclusively destructive regardless of location in brain

series of digital-looking brain icons with a podcast button overlay on top
March 1, 2024/Neurosciences/Podcast

Harnessing the Power of AI in Medicine (Podcast)

Neurology is especially well positioned for opportunities to enhance clinical care and medical training

illustration of a neuron affected by multiple sclerosis

Clinical Trials in Progressive MS: An Assessment of Advances and Remaining Challenges

New review distills insights from studies over the past decade

Ad