Locations:
Search IconSearch
December 28, 2015/Neurosciences/Case Study

SEEG Laser Ablation Brings Seizure Control in Difficult-to-Localize Epilepsy

Seizures’ spatiotemporal dynamics prove more complex than previously recognized

650×450-SEEG

By Juan Bulacio, MD; Imad Najm, MD; and Jorge Gonzalez-Martinez, MD, PhD

Advertisement

Cleveland Clinic is a non-profit academic medical center. Advertising on our site helps support our mission. We do not endorse non-Cleveland Clinic products or services. Policy

The case of one of our longtime patients, now a 31-year-old woman, illustrates both the challenges of and potential for epilepsy localization in the setting of medically intractable focal epilepsy with no evidence of an underlying lesion on MRI (MRI negativity). We profile here how we recently employed laser ablation guided by stereoelectroencephalography (SEEG) to evaluate a hypothesis about the patient’s complex epileptogenic network and finally achieve the major seizure reduction she was seeking.

Patient history

The patient’s seizures began at age 6, one month after she tripped at school and struck the right side of her head on the edge of her desk. She came home as usual but had what her family described as a “black eye” on the right side of her face, and her teachers said she may have briefly lost consciousness. One month after this episode, she began having repeated episodes of activity arrest, staring and “daydreaming,” with lip-smacking and manual automatisms. These seizures stopped around age 12, when she began having grand mal seizures that occurred almost exclusively during sleep, with no warning, approximately three times a year. She would occasionally wake up with urinary incontinence and soreness.

The patient underwent video-EEG monitoring at Cleveland Clinic in July 2002 and was diagnosed with temporal lobe epilepsy. Since half the recorded seizures were not clearly lateralized, she had depth electrodes placed in November 2002 followed by a subdural grid evaluation in January 2003 (Figure 1).

Advertisement

Inset Fig-1

Figure 1. Subdural electrode implantation in the patient in late 2002/early 2003. Ictal onset was in different contacts around the sylvian fissure, suggesting onset in deeper structures (“exit patterns”). Ictal onset overlapped with the eloquent cortex

Seizure onset was recorded from the lateral left temporal lobe structures, coinciding with language function. The patient underwent partial anterior resection of the left anterior superior temporal gyrus (Figure 2); the resection was limited due to proximity to the eloquent cortex.

Inset Fig-2

Figure 2. MRIs of the patient’s brain after resective surgery of the anterior superior temporal gyrus in 2003 following subdural electrode evaluation.

Unfortunately, seizures recurred in March 2003, but they were now different. The generalized tonic-clonic seizures had become milder and she had no mouth automatisms. She now started to experience an aura of feeling frightened and disturbed that would last approximately 10 seconds, after which she would try to lie down and then have no recollection. Her mother said she would either become nonresponsive or have nonsensical, garbled speech and hand automatisms as if she were trying to attract her mother’s attention. The episodes lasted up to two minutes and occurred once every two months — and approximately two times a year with secondary generalization.

For many years the patient continued trying different anticonvulsive medications, but with no seizure control. She was reevaluated in 2008 with video-EEG monitoring via scalp electrodes. That prompted recommendation of a new invasive evaluation, but the patient and her family decided to hold off on further evaluation at the time.

Advertisement

Presentation and evaluation in 2013

In 2013 the patient expressed interest in undergoing SEEG evaluation, which was performed in April of that year and revealed results similar to those obtained by the earlier subdural grid evaluation. After intense discussion in a patient management conference, a new SEEG implantation was designed (Figure 3) to confirm the following three-part hypothesis:

  • The seizure onset pattern from the subdural grid evaluation may represent the “exit pattern” of a deep epileptogenic region.
  • Based on seizure semiology and previous noninvasive data, the insular-opercular region and the anterior cingulate region could be responsible for her epilepsy.
  • There was also a possibility that both temporal regions were epileptogenic.
Inset Fig-3

Figure 3. SEEG electrode implantation design for testing the preimplantation hypothesis.

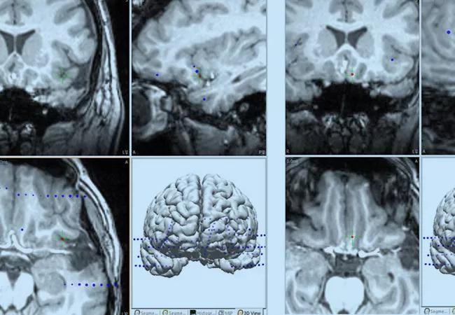
Meticulous analysis of this invasive evaluation gave evidence of high epileptogenicity at multiple foci: in the left posterior superior temporal gyrus, the left posterior orbitofrontal and left anterior insular regions, and the right hippocampus (Figure 4).

Inset Fig-4a

Figure 4a. Ictal SEEG findings. Complex network activation was demonstrated with low-voltage fast activity in the left insular-opercular and posterior orbitofrontal regions (left panel), which evolved into rapid repetitive high-amplitude spikes (right panel). Rhythmic spikes in the left superior temporal gyrus (STG) were seen interictally very often, and they did not evolve throughout the

Inset Fig-4b

Figure 4b. Ictal SEEG findings. A high-amplitude discharge in the right hippocampus was followed by repetitive spikes that increased in frequency and amplitude.

Advertisement

Inset Fig-4c

Figure 4c. Three-dimensional reconstruction showing electrode trajectories (blue dots) and the location of contacts with high epileptogenicity (red dots) in the insular-opercular region (top left), posterior orbitofrontal region (top right), superior temporal gyrus/temporal operculum (bottom left) and right hippocampus (bottom right).

Treatment with laser ablation

There was again extensive discussion in a patient management conference, and findings from the various evaluations were considered. We concluded that although there was no single surgical strategy for achieving complete seizure control, safe resection or laser ablation could be considered in areas of high epileptogenicity (left anterior insula/left posterior orbitofrontal region) to lessen the effect of the seizures. Alternatives such as the NeuroPace® RNS® System were discussed, but it was not commercially available at the time.

The patient underwent a laser ablation procedure in January 2014 in the left orbitofrontal region and the left anterior insula (Figure 5). During immediate postoperative follow-up, she reported an improvement, with reduced frequency and severity of seizures. No side effects from the procedure were reported.

Inset Fig-5

Figure 5. MRIs showing tailored laser ablation performed in the left posterior orbitofrontal region (top images) and left insular-opercular region (bottom images).

Outcome

The patient has been seizure-free since December 2014. She may resume driving as long as she remains seizure-free and adheres to her medications as prescribed.

Advertisement

Discussion

Epilepsy surgery is less likely to be considered in MRI-negative patients (i.e., those with no evidence of an underlying lesion on MRI) than in MRI-positive patients. However, many studies have shown that the outcome of MRI-negative epilepsy can be improved with modern diagnostic measures and that MRI-negative patients can still benefit from surgery.1

In the case reported here, the lack of an identifiable epileptogenic lesion justified the need for SEEG that enabled sampling of all suspected regions. This approach appears to be well adapted to investigations of complex epileptic networks distributed over several lobes or sublobar structures, including those that are deeply located and those in more superficial cortical areas.2 This case also illustrates that the spatiotemporal dynamics of epileptic seizures are more variable and complex than we initially thought. Clearly, the ictal onset pattern identified during the evaluation with subdural electrodes probably represents an “exit pattern” rather than the primary epileptogenic zone.

Laser ablation under real-time MRI guidance for brain pathology is increasingly being used by neurosurgeons. The minimally invasive opening (3.2 mm), the small diameter of the laser applicator (1.65 mm) and the ease of placement with subsequent short ablation time have allowed these procedures to be performed more safely and efficiently than open procedures.3

References

  1. Schneider F, Alexopoulos AV, Wang Z, Almubarak S, Kakisaka Y, Jin K, Nair D, Mosher JC, Najm IM, Burgess RC. Magnetic source imaging in non-lesional neocortical epilepsy: additional value and comparison with ICEEG. Epilepsy Behav. 2012; 24:234-240.
  2. Gonzalez-Martinez J, Bulacio J, Alexopoulos A, Jehi L, Bingaman W, Najm I. Stereoelectroencephalography in “difficult to localize” refractory focal epilepsy: early experience from a North American epilepsy center. Epilepsia. 2013;54:323-330.
  3. Gonzalez-Martinez J, Vadera S, Mullin J, Enatsu R, Alexopoulos A, Patwandhan R, Bingaman W, Najm I. Robot-assisted stereotactic laser ablation in medically intractable epilepsy: operative technique. Operative Neurosurgery. 2014;10:167-173.

Dr. Bulacio is an epileptologist in Cleveland Clinic’s Epilepsy Center.

Dr. Najm is Director of Cleveland Clinic’s Epilepsy Center.

Dr. Gonzalez-Martinez is a neurosurgeon in Cleveland Clinic’s Epilepsy Center.

Related Articles

16-NEU-2800-Kubu-101058161-650×450

What Do Patients Want from DBS for Parkinson’s Disease?

New study advances understanding of patient-defined goals

photo of a man sleeping at a desk, with a podcast icon overlay
March 15, 2024/Neurosciences/Podcast

Diagnosis and Management of Idiopathic Hypersomnia (Podcast)

Testing options and therapies are expanding for this poorly understood sleep disorder

illustration of an alzheimer brain and a packet of sildenafil pills
March 11, 2024/Neurosciences/Research

Sildenafil as an Alzheimer’s Candidate Drug: Further Support From Insurance Database and Mechanistic Studies

Real-world claims data and tissue culture studies set the stage for randomized clinical testing

brain scan showing perimesencephalic subarachnoid hemorrhage

Study Supports Less-Strict Monitoring for Nonaneurysmal Perimesencephalic SAH Without Hydrocephalus

Digital subtraction angiography remains central to assessment of ‘benign’ PMSAH

illustrated brain with the letters "AI" on a computer circuit board

As AI Tools Emerge, Be Proactive and Engaged to Shape Their Development

Cleveland Clinic neuromuscular specialist shares insights on AI in his field and beyond

histology image of a gray matter lesion in a multiple sclerosis brain

Study Suggests Protective Role for Microglia at Borders of Gray Matter Lesions in Progressive MS

Findings challenge dogma that microglia are exclusively destructive regardless of location in brain

series of digital-looking brain icons with a podcast button overlay on top
March 1, 2024/Neurosciences/Podcast

Harnessing the Power of AI in Medicine (Podcast)

Neurology is especially well positioned for opportunities to enhance clinical care and medical training

illustration of a neuron affected by multiple sclerosis

Clinical Trials in Progressive MS: An Assessment of Advances and Remaining Challenges

New review distills insights from studies over the past decade

Ad