Locations:
Search IconSearch
January 6, 2017/Neurosciences/Case Study

Case Study: Recognizing Treatment Opportunities for Autoimmune Epilepsy

To treat epilepsy, you sometimes have to think outside the brain

16-neu-1993-moosa-650×450

By Ahsan Moosa Naduvil Valappil, MD, and Andrew Zeft, MD, MPH

Advertisement

Cleveland Clinic is a non-profit academic medical center. Advertising on our site helps support our mission. We do not endorse non-Cleveland Clinic products or services. Policy

Presentation

“Sara” presented to Cleveland Clinic at age 13 with super-refractory status epilepticus.

She started having seizures at age 7, but even before then, her parents had concerns about her memory and personality. Seizures began as dizziness and a “funny feeling” in the stomach, sometimes with nausea and vomiting, occurring up to five times daily. Seizures continued, and by age 9 she had cognitive delay, speech slurring, truncal ataxia, and right-sided hearing loss. From age 11 to 13, her epilepsy continued to worsen, with multiple daily partial complex seizures as well as several general tonic seizures per week, consisting of brief axial stiffening and facial grimacing lasting a few seconds.

At age 13, Sara presented to her local hospital with nearly constant seizures every 5 to 10 minutes. Her condition evolved into refractory status epilepticus (i.e., continuing despite benzodiazepines and one IV antiepileptic drug) and then super-refractory status epilepticus (i.e., continuing 24 hours or more after onset of anesthetic therapy).

After 25 days from the onset of status epilepticus, she was transferred to Cleveland Clinic in a pharmacologically induced coma. Bedside EEG monitoring showed 5 to 10 seizures per hour, arising from the right frontocentral region with diffuse spread. Some seizures were subclinical, while others were accompanied by opening of the eyes, eyeballs rolling up, axial stiffening and facial grimacing.

Review of her prior MRIs showed that an early scan was normal, but repeat imaging at age 11 revealed bilateral mesial temporal hyperintensity and diffuse cerebellar atrophy, as shown in the images below.

Advertisement

16-neu-1993-moosa-inset-1

Extensive workup over many years

For a child with progressive cognitive impairment, cerebellar ataxia and drug-resistant epilepsy, the differential diagnosis is broad and includes mitochondrial and peroxisomal disorders, lysosomal storage disorders and paraneoplastic syndromes, likely from a teratoma or neuroblastoma.

Over the five years preceding this hospital admission, Sara had undergone an extensive workup including metabolic tests, genetic panels for syndromes causing ataxia and epilepsy, and whole-exome sequencing. She tested negative at ages 11 and 13 for paraneoplastic antibodies in the blood and CSF. CSF studies revealed nonspecific markers for inflammation, including positive oligoclonal bands and mildly elevated neopterin.

CT of the pelvis and chest revealed no teratoma or other lesion, but CT of the abdomen showed a nodule, 1.5 × 2.5 cm, in the left adrenal gland. This led to an endocrinology workup, including hormone and amine studies, which were negative. The lesion was concluded to be an incidental finding of a nonsecreting adenoma.

In light of the possibility that an undiagnosed autoimmune process might be at play, she was given trials of immune-modulating therapies including steroids, IV immunoglobulin (IVIG), plasma exchange and mycophenolate between ages 11 and 13. She was also treated with 10 antiepileptic drugs and a ketogenic diet. None of these interventions had met with success.

Case continued: Digging deeper into etiology

Sara’s super-refractory status epilepticus persisted despite trials of propofol, midazolam, ketamine, hypothermia and phenobarbital. Her seizures stopped with pentobarbital, but then recurred with attempted weaning.

Advertisement

The situation was dire, so the team revisited the etiology to see if any path had not been adequately pursued.

We embarked upon another paraneoplastic workup. Blood and CSF panels again came back negative, as did the endocrinology workup.

A team member called the outside laboratory to discuss the results. Over the phone, lab staff said that because the findings were not definitive, they had not reported that the panel was not quite normal. They had found a nonspecific neuronal-type antibody that they described as “anti-Purkinje cell-like.” Although there was no match for the two types of Purkinje cell antibodies on the panels, there were antibodies with similar characteristics.

It now seemed likely that Sara had a novel antibody. The positive oligoclonal bands and elevated neopterin pointed to an inflammatory process. The MRI findings of bilateral mesial temporal hyperintensity and cerebellar atrophy were consistent with a paraneoplastic autoimmune process associated with limbic encephalitis.

Although immune-modulating therapies had already been tried, they had been provided one at a time. The team decided to try multiple immunosuppressive therapies at once. Over 52 days, Sara was given a rigorous schedule of IV methylprednisone, IVIG, rituximab, plasmapheresis, cyclophosphamide and oral steroids.

Abdominal CT was repeated and showed no change of the left adrenal mass (see images below). Could that possibly be the culprit?

16-neu-1993-moosa-inset-2

An attempt was made to remove the adrenal tumor early on, but Sara was too unstable to undergo surgery. On the intensive immunosuppressive regimen, she gradually improved, but EEG still showed five to seven seizures per day.

Advertisement

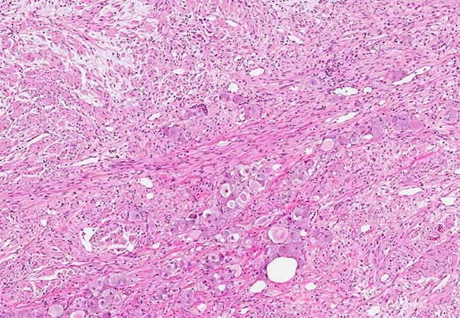
On day 40 of her hospitalization at Cleveland Clinic, the adrenal tumor was removed. Pathology revealed classic features of a ganglioneuroma, with ganglion cells in a Schwannian stroma (see image below). A lesion long thought to be an incidental adrenal adenoma was confirmed to be a neural based tumor causing a paraneoplastic neurological syndrome.

16-neu-1993-moosa-inset-3

Outcome

After three months of hospitalization, Sara became more awake, started to talk and had fewer seizures. She was discharged to a rehabilitation center. After a stay there, she was sent home seizure-free and remains so two years later.

Take-home lessons

Autoimmune causes of epilepsy are increasingly being identified and offer new opportunities for treatment beyond symptomatic management with antiepileptic drugs. This case highlights some important points:

  • Benign tumors may cause significant neurological injury by provoking an autoimmune response. Ganglioneuromas are an unusual cause of epilepsy, but it is important to remain vigilant to their possibility. Unlike a neuroblastoma, a ganglioneuroma may not grow in size and does not metastasize but can wreak havoc by causing a paraneoplastic syndrome.
  • A negative antibody panel does not exclude a paraneoplastic syndrome. Antibody testing is a rapidly evolving field, with new antibodies discovered frequently. Negative results from standard paraneoplastic antibody panels do not rule out a paraneoplastic process. Testing in unresolved cases should be repeated every few years.
  • Aggressive immunotherapy and tumor removal are key to a successful outcome. Treatment of paraneoplastic disorders usually improves, but does not always completely reverse, neurological dysfunction. It is critical to intervene as early as possible.

Advertisement

Dr. Moosa, aka Ahsan Moosa Naduvil Valappil, is a pediatric epilepsy specialist in Cleveland Clinic’s Epilepsy Center.

Dr. Zeft is a pediatric rheumatologist with Cleveland Clinic Children’s who specializes in autoimmune disorders.

To view a webcast of this and nine other epilepsy cases in the “Hot Topics in Epilepsy for Children and Adults” CME-certified webcast series, visit ccfcme.org/EpilepsyCME. This activity has been approved for AMA PRA Category 1 Credit™.

Related Articles

16-NEU-2800-Kubu-101058161-650×450

What Do Patients Want from DBS for Parkinson’s Disease?

New study advances understanding of patient-defined goals

photo of a man sleeping at a desk, with a podcast icon overlay
March 15, 2024/Neurosciences/Podcast

Diagnosis and Management of Idiopathic Hypersomnia (Podcast)

Testing options and therapies are expanding for this poorly understood sleep disorder

illustration of an alzheimer brain and a packet of sildenafil pills
March 11, 2024/Neurosciences/Research

Sildenafil as an Alzheimer’s Candidate Drug: Further Support From Insurance Database and Mechanistic Studies

Real-world claims data and tissue culture studies set the stage for randomized clinical testing

brain scan showing perimesencephalic subarachnoid hemorrhage

Study Supports Less-Strict Monitoring for Nonaneurysmal Perimesencephalic SAH Without Hydrocephalus

Digital subtraction angiography remains central to assessment of ‘benign’ PMSAH

illustrated brain with the letters "AI" on a computer circuit board

As AI Tools Emerge, Be Proactive and Engaged to Shape Their Development

Cleveland Clinic neuromuscular specialist shares insights on AI in his field and beyond

histology image of a gray matter lesion in a multiple sclerosis brain

Study Suggests Protective Role for Microglia at Borders of Gray Matter Lesions in Progressive MS

Findings challenge dogma that microglia are exclusively destructive regardless of location in brain

series of digital-looking brain icons with a podcast button overlay on top
March 1, 2024/Neurosciences/Podcast

Harnessing the Power of AI in Medicine (Podcast)

Neurology is especially well positioned for opportunities to enhance clinical care and medical training

illustration of a neuron affected by multiple sclerosis

Clinical Trials in Progressive MS: An Assessment of Advances and Remaining Challenges

New review distills insights from studies over the past decade

Ad