Locations:
Search IconSearch
March 3, 2023/Neurosciences

Case Study: Pre-Adolescent Male With Aggressive Juvenile Angiofibroma

Collaboration critical to a successful resection

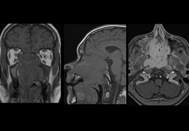
22-HNI-3505063-PedTumorMultidisciplinaryCase-hero_650x450

Left. Coronal T1 MRI shows a very large nasal mass abutting the internal carotid arteries and right orbital apex. Center. Sagittal view shows the erosion of the clivus the floor of the anterior cranial fossa cribriform. Right. Axial T1 shows the involvement of the right pterygoid plates.

Advertisement

Cleveland Clinic is a non-profit academic medical center. Advertising on our site helps support our mission. We do not endorse non-Cleveland Clinic products or services. Policy

In April 2022, a 12-year-old male presented to the Cleveland Clinic Emergency Department with the following symptoms: one to two weeks of blurry vision when blowing his nose and one day of complete vision loss in the right eye. He had a bump in his mouth, had been having headaches and nausea for two weeks, and had a long history of nasal congestion and rhinorrhea. At prior visits to urgent care centers, his nasal congestion was diagnosed as allergies.

The exam found a large tumor in his mouth, an afferent pupillary defect in his right eye, a pulsatile mass obstructing the right nasal cavity completely deviating the septum to the left and an extension of the tumor through the right hard palate.

After inpatient admission, the patient had a T1 MRI (above) which revealed a very large nasal mass abutting the internal carotid arteries and right orbital apex, erosion of the clivus on the floor of the anterior cranial fossa cribiform and involvement of the right pterygoid plates. Unfortunately, given the duration of vision loss in the right eye, return of vision was not possible.

Because the tumor was so aggressive, a biopsy was performed which confirmed a diagnosis of juvenile angiofibroma, a benign vascular nasal cavity tumor found exclusively in adolescent males; it often originates from the sphenopalatine foramen. The vascular source is commonly the internal maxillary artery, ascending pharyngeal, and/or internal and external carotid arteries. Hormones have been theorized as a possible trigger for tumor growth and angiogenesis; however, the precise mechanism has not yet been elucidated.

Advertisement

“It was the largest and most aggressive angiofibroma I’ve seen reported. We see cases of juvenile angiofibroma but this was a unique presentation,” says Rachel Georgopoulos, MD, a pediatric otolaryngologist and Director of the Head and Neck Oncology Pediatric Endocrine Center.

Team performs highly complex procedure

Extension of mass to bilateral nasal cavities, sinuses, nasopharynx, R PPF, cribriform and planum

To prepare for surgical resection, an embolization of the bilateral internal maxillary arteries was performed by interventional neurology. Due to the tumor’s large size and penetration into surrounding tissue that is seen more often in adults, the surgical team included two surgeons from the adult service: neurosurgeon Varun Kshettry and rhinologist and skull-based surgeon Raj Sindwani, who have more experience operating on tumors at the skull base. In case a flap was needed to repair a fistula in the oral cavity, adult head and neck surgeon Brandon Prendes was ready to assist.

Dissection off of nasal floor and palate. Known expansile site of hard palate identified

Dissection off of nasal floor and palate. Known expansile site of hard palate identified

“Juvenile angiofibroma isn’t usually life-threatening but this one could have been since the tumor abutted major vessels, nerves and arteries. At Cleveland Clinic, we can provide resources that might not be possible at a medical center that doesn’t have both pediatric and adult services that handle such complex cases,” says Dr. Georgopoulos.

Together, the surgical team performed an endonasal resection which included: an early septectomy to allow for bimanual access through both sides of the nose, extensive tumor debulking with a coblator and clipping the bilateral sphenopalatine arteries. The tumor was dissected from the nasal floor and palate, leaving the palate intact; also dissected were the right pterygoids. They used a high-speed drill to take down the medial pterygoid plate and performed a coblation of the mass medial to the lateral pterygoid plate, which allowed the tumor to be delivered through the patient’s mouth. Also needed was a planum reconstruction with a free mucosal graft. Fortunately, the dura was intact. Due to the extensive bleeding during surgery, the patient required seven units of blood.

Advertisement

Close monitoring detects regrowth

Planum reconstruction with free mucosal graft Dura intact

Planum reconstruction with free mucosal graft Dura intact

The patient was discharged on postoperative day four and his headaches and nasal congestion resolved.

Postoperatively the patient had a small residual tumor. There was again growth which required repeat embolization and a second procedure performed by the same surgical team. He was discharged after three days with very minimal symptoms. His most recent MRI showed gross total resection with minimal enhancement of the right carotid canal which will be closely monitored. “What makes this case remarkable is the successful, seamless collaboration across multiple institutes in both the pediatric and adult service lines,” says Dr. Georgopoulos.

Advertisement

Related Articles

photo of a man sleeping at a desk, with a podcast icon overlay
March 15, 2024/Neurosciences/Podcast
Diagnosis and Management of Idiopathic Hypersomnia (Podcast)

Testing options and therapies are expanding for this poorly understood sleep disorder

illustration of an alzheimer brain and a packet of sildenafil pills
March 11, 2024/Neurosciences/Research
Sildenafil as an Alzheimer’s Candidate Drug: Further Support From Insurance Database and Mechanistic Studies

Real-world claims data and tissue culture studies set the stage for randomized clinical testing

brain scan showing perimesencephalic subarachnoid hemorrhage
Study Supports Less-Strict Monitoring for Nonaneurysmal Perimesencephalic SAH Without Hydrocephalus

Digital subtraction angiography remains central to assessment of ‘benign’ PMSAH

illustrated brain with the letters "AI" on a computer circuit board
As AI Tools Emerge, Be Proactive and Engaged to Shape Their Development

Cleveland Clinic neuromuscular specialist shares insights on AI in his field and beyond

histology image of a gray matter lesion in a multiple sclerosis brain
Study Suggests Protective Role for Microglia at Borders of Gray Matter Lesions in Progressive MS

Findings challenge dogma that microglia are exclusively destructive regardless of location in brain

series of digital-looking brain icons with a podcast button overlay on top
March 1, 2024/Neurosciences/Podcast
Harnessing the Power of AI in Medicine (Podcast)

Neurology is especially well positioned for opportunities to enhance clinical care and medical training

illustration of a neuron affected by multiple sclerosis
Clinical Trials in Progressive MS: An Assessment of Advances and Remaining Challenges

New review distills insights from studies over the past decade

photo of woman looking anxious on a couch
February 22, 2024/Neurosciences/Neuromuscular
Success of POTS Treatment Reduced by Concurrent Anxiety

Guidance from an expert on distinguishing — and co-managing — the disorders

Ad