Locations:
Search IconSearch
February 16, 2015/Orthopaedics

Case Study: Integrating Complementary Therapies to Enhance Rehab in Complex Pediatric Patients

Complementary therapies trim length of stay by a month

690×380-Katholi

By David Gurd, MD; Benjamin Katholi, MD; and Chelsea Behling, PT

Advertisement

Cleveland Clinic is a non-profit academic medical center. Advertising on our site helps support our mission. We do not endorse non-Cleveland Clinic products or services. Policy

Presentation and diagnosis

A 16-year-old male international patient presented to Cleveland Clinic Children’s Center for Pediatric Orthopaedics and Spine Deformity with significant, rapidly progressing kyphoscoliosis.

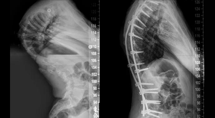
Radiographs revealed a 90-degree thoracic curve, a 67-degree lumbar curve and 100-degree kyphosis. After assessment by neurology, genetics, orthopaedics, pulmonary medicine and cardiology, the patient was found to have multiple medical problems and severely compromised pulmonary function. His condition was consistent with the kyphoscoliotic form of Ehlers-Danlos syndrome.

Management: ‘Prehabilitation’ with preop spine elongation

Spinal fusion was recommended. It was felt that the risk of neurological damage could be reduced by elongating the spine before surgery. After a lengthy discussion with the patient and family about risks, benefits and possible complications, the decision was made to proceed with treatment.

Several weeks after his presentation, the patient was taken to surgery at Cleveland Clinic’s main campus and fitted with a halo brace. He was then transferred to Cleveland Clinic Children’s Hospital for Rehabilitation to begin intensive “prehabilitation.”

At Cleveland Clinic Children’s, orthopaedic surgeons typically employ halo traction for three months prior to scoliosis surgery in severe scoliosis cases, particularly with kyphosis, where the deformity is significant. Use of gradual traction allows for safe stretching of soft tissues, including major blood vessels, the esophagus and nerves. Gaining elongation in the stiff, large curves makes definitive fusion safer and easier. Halo traction is not typically used for standard curves.

Advertisement

Beds, chairs, walkers and wheelchairs equipped with pulley systems enable patients to remain in traction 23 hours a day. For this patient, traction was initiated at 10 lbs. in the chair and walker and 5 lbs. in bed.

The patient’s initial therapy focused on spinal stretching and muscle strengthening. Traction was increased by 2 lbs. per day up to 40 lbs. in the chair and walker and 10 lbs. in bed.

As the patient’s body adapted, he began to experience pain in his back and sides. The physical therapists noted areas of fascial thickening and initiated a program of myofascial release using deep dural pulls. The patient’s pain rapidly decreased, and his alignment rapidly improved. The therapists were granted permission to keep the patient off traction for longer periods to work on his fascia and provide postural retraining.

Management: Spinal fusion and rehabilitation

After only two months of intensive therapy, the patient underwent successful posterior spinal fusion from T2 to L4. The next day, he resumed myofascial release therapy, gait training, stretching and taping, and yoga. In 10 days, he was discharged to rehabilitation at the day hospital, with biofeedback for postural retraining added to his therapeutic regimen. After 12 days, he was discharged to outpatient physical and occupational therapy.

When the patient was last seen, he had a 32-degree thoracic curve, a 27-degree lumbar curve and 51-degree kyphosis. His pulmonary function had increased by 33 percent from his initial presentation approximately six months earlier. He was ambulating with a nonantalgic gait and had gained several inches in height. His parents felt he was dramatically better not just physically (see photos below) but also psychologically and socially.

Advertisement

Radiographs and photographs of the case patient at presentation (left) and after spinal fusion and rehabilitation (right).

Radiographs and photographs of the case patient at presentation (left) and after spinal fusion and rehabilitation (right).

A representative case of personalized — and complemented — rehab

Cleveland Clinic Children’s Hospital for Rehabilitation is accustomed to patients with complex care needs. Such patients can also receive multidisciplinary assessment by a team at the Center for Pediatric Integrative Medicine with individual expertise in complementary therapies. The goal is to identify impairments that may play a role in aggravating symptoms and to incorporate specific services into the child’s care plan to improve global functioning.

For this patient, myofascial release complemented the innovative use of traction to counteract the extreme kyphosis and to lengthen nerve fibers gradually. Breaking down the thickened fascia that would have complicated spine-straightening efforts lessened the patient’s pain and shortened his length of stay by one month.

Other complementary therapies incorporated into this patient’s rehabilitation plan included:

  • Preoperative and postoperative yoga for the essential task of strengthening and to improve breathing, balance and flexibility
  • Biofeedback therapy (surface electromyography) to improve gait training

We have found that prehabilitation prior to spinal fusion results in fewer postsurgical complications. While this young man has other medical problems that will need to be addressed, no additional surgery or therapy for his spinal issues should be required.

Dr. Gurd is a pediatric orthopaedic surgeon in Cleveland Clinic Children’s Center for Pediatric Orthopaedics and Spine Deformity.

Advertisement

Dr. Katholi is a pediatric physiatrist in Cleveland Clinic Children’s Department of Developmental and Rehabilitation Pediatrics and the Center for Pediatric Integrative Medicine.

Ms. Behling is a physical therapist in the Center for Pediatric Integrative Medicine and Cleveland Clinic Children’s Hospital for Rehabilitation.

Advertisement

Related Articles

X-ray showing leg bones
March 6, 2024/Orthopaedics/Tumor

The Latest in Limb-Sparing Techniques for Pediatric Patients With Sarcoma

Biologic approaches, growing implants and more

Blue illustration of knee with torn ACL in red
February 29, 2024/Orthopaedics/Hip & Knee

Aspiration and Corticosteroid Injection Are Safe After ACL Injury

Study reports zero infections in nearly 300 patients

Swollen knee with scar
February 26, 2024/Orthopaedics/Hip & Knee

Is Joint Inflammation and Pain After Total Knee Arthroplasty an Infection or Gout?

How to diagnose and treat crystalline arthropathy after knee replacement

Dissected knee with robotic pins inside the incision
February 19, 2024/Orthopaedics/Hip & Knee

Intraincisional Pin Placement Is Safe Alternative in Robot-Assisted Total Knee Arthroplasty

Study finds that fracture and infection are rare

Multiple MRI scans of knees
February 12, 2024/Orthopaedics/Arthritis

Arthritis Foundation and Cleveland Clinic to Build National Osteoarthritis Imaging Center

Center will coordinate, interpret and archive imaging data for all multicenter trials conducted by the foundation’s Osteoarthritis Clinical Trial Network

Close up of the one round white pill in female hand.
January 4, 2024/Orthopaedics/Hip & Knee

Patients Use Less Pain Medication After Robot-Assisted Hip Replacement Compared With Conventional Surgery

Reduced narcotic use is the latest on the list of robotic surgery advantages

ORI_Viars_4102672_Hand Surgery Bootcamp – Dr. Styron_08-18-23
December 21, 2023/Orthopaedics/Upper Extremity

Boot Camp Prepares Trainees for Hand Surgery Fellowships

Cleveland Clinic specialists offer annual refresher on upper extremity fundamentals

The Featured Image for the post
November 29, 2023/Orthopaedics/Hip & Knee

What We’ve Learned From 10,000 Robot-Assisted Total Joint Replacements

Cleveland Clinic orthopaedic surgeons share their best tips, most challenging cases and biggest misperceptions

Ad