Locations:
Search IconSearch

Case Illustrates the Value of Ultrasound Neurography

Identifying the cause of groin pain, numbness in runner

14-ORT-1685-Polster-Hero-Image-690x380pxl

By Joshua Polster, MD

Advertisement

Cleveland Clinic is a non-profit academic medical center. Advertising on our site helps support our mission. We do not endorse non-Cleveland Clinic products or services. Policy

A 34-year-old woman with no significant medical history presented with a chief complaint of left groin pain that came on suddenly one year earlier during a 15-mile marathon-training run. She reported that the pain was aggravated by most activities. She also had intermittent left lateral thigh numbness.

She had a prior workup at an outside institution that included lumbar spine MRI, diagnostic laparoscopy to evaluate for ovarian pathology, colonoscopy and cystoscopy, all of which were negative. Physical exam demonstrated localized tenderness about 2 cm medial and inferior to the left anteriorsuperior iliac spine. Strength was normal.

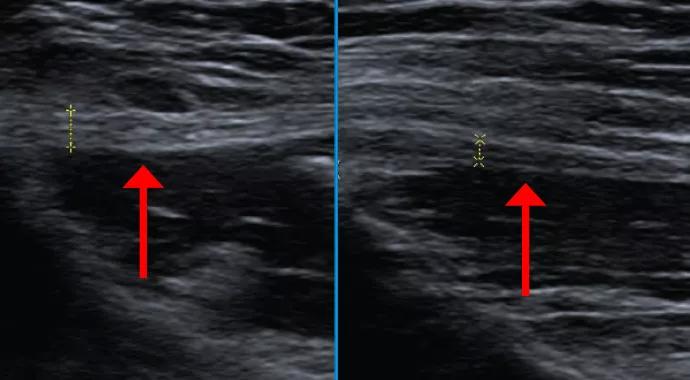
Cleveland Clinic sports health orthopaedic surgeon James Rosneck, MD, referred the patient for dedicated ultrasound neurography, which demonstrated asymmetric thickening of the left femoral cutaneous nerve just distal to the left anterior-superior iliac spine, where there was associated tenderness. Figure 1 contrasts a longitudinal view of the abnormally thickened lateral femoral cutaneous nerve (left image) with a longitudinal view of the contralateral normal nerve (right image). Figure 2 demonstrates the same side-to-side difference in the transverse plane.

Figure 1. Longitudinal views on ultrasound neurography showing an abnormally thickened lateral femoral cutaneous nerve (arrow, left image) in contrast with the contralateral normal nerve (arrow, right image). Figure 2. Transverse views on ultrasound neurography demonstrating the same side-to-side difference as in Figure 1.

Figure 1. Longitudinal views on ultrasound neurography showing an abnormally thickened lateral femoral cutaneous nerve (arrow, left image) in contrast with the contralateral normal nerve (arrow, right image).
Figure 2. Transverse views on ultrasound neurography demonstrating the same side-to-side difference as in Figure 1.

Advertisement

Based on these imaging findings and the clinical history, the patient was diagnosed with lateral femoral cutaneous neuropathy. She was relieved to have the likely cause of her symptoms found after numerous other normal studies.

Ultrasound neurography: Plenty of advantages, but expertise required

Ultrasound neurography is the specialized use of ultrasound imaging to evaluate peripheral nerves. This technique offers several potential advantages relative to MR neurography, including:

  • High-spatial-resolution imaging focused over the area of interest
  • Ability to follow the nerve course throughout its length
  • Correlation with location of symptoms
  • Ability to perform dynamic studies
  • Lower cost

Ultrasound neurography requires high-frequency ultrasound probes and detailed knowledge of peripheral nerve anatomy. For these reasons, ultrasound neurography is performed at Cleveland Clinic by subspecialty-trained musculoskeletal radiologists and neurologists.

Dr. Polster is a musculoskeletal radiologist in the Department of Diagnostic Radiology.

Advertisement

Related Articles

X-ray showing leg bones
March 6, 2024/Orthopaedics/Tumor

The Latest in Limb-Sparing Techniques for Pediatric Patients With Sarcoma

Biologic approaches, growing implants and more

Blue illustration of knee with torn ACL in red
February 29, 2024/Orthopaedics/Hip & Knee

Aspiration and Corticosteroid Injection Are Safe After ACL Injury

Study reports zero infections in nearly 300 patients

Swollen knee with scar
February 26, 2024/Orthopaedics/Hip & Knee

Is Joint Inflammation and Pain After Total Knee Arthroplasty an Infection or Gout?

How to diagnose and treat crystalline arthropathy after knee replacement

Dissected knee with robotic pins inside the incision
February 19, 2024/Orthopaedics/Hip & Knee

Intraincisional Pin Placement Is Safe Alternative in Robot-Assisted Total Knee Arthroplasty

Study finds that fracture and infection are rare

Multiple MRI scans of knees
February 12, 2024/Orthopaedics/Arthritis

Arthritis Foundation and Cleveland Clinic to Build National Osteoarthritis Imaging Center

Center will coordinate, interpret and archive imaging data for all multicenter trials conducted by the foundation’s Osteoarthritis Clinical Trial Network

Close up of the one round white pill in female hand.
January 4, 2024/Orthopaedics/Hip & Knee

Patients Use Less Pain Medication After Robot-Assisted Hip Replacement Compared With Conventional Surgery

Reduced narcotic use is the latest on the list of robotic surgery advantages

ORI_Viars_4102672_Hand Surgery Bootcamp – Dr. Styron_08-18-23
December 21, 2023/Orthopaedics/Upper Extremity

Boot Camp Prepares Trainees for Hand Surgery Fellowships

Cleveland Clinic specialists offer annual refresher on upper extremity fundamentals

The Featured Image for the post
November 29, 2023/Orthopaedics/Hip & Knee

What We’ve Learned From 10,000 Robot-Assisted Total Joint Replacements

Cleveland Clinic orthopaedic surgeons share their best tips, most challenging cases and biggest misperceptions

Ad