Locations:
Search IconSearch
September 7, 2016/Rheumatology & Immunology

Cachectic Scleroderma Patient Recovers with Collaborative Management

Parenteral nutrition improves BMI from 14 kg/m2 to normal

Cachectic Scleroderma Patient Recovers with Collaborative Management

By Soumya Chatterjee, MD, MS, FRCP, and Donald F. Kirby, MD, FACG, AGAF

Advertisement

Cleveland Clinic is a non-profit academic medical center. Advertising on our site helps support our mission. We do not endorse non-Cleveland Clinic products or services. Policy

A 36-year-old man with diffuse systemic sclerosis (SSc) was seen in outpatient rheumatology at Cleveland Clinic. His disease rapidly progressed over the next two years, with extensive skin hardening, digital ischemia and interstitial lung disease. He also developed severe gastrointestinal dysmotility, abdominal bloating and intractable constipation interspersed with frequent bouts of watery diarrhea. He eventually lost more than 50 pounds. He became cachectic with a body mass index (BMI) of 14 kg/m2 (normal 19 to 25 kg/m2) and had profound loss of subcutaneous fat.

Gastrointestinal complications of SSc

Gastrointestinal involvement is the most common extracutaneous manifestation of SSc and causes substantial morbidity. Any part of the gastrointestinal tract may be affected, potentially causing significant malnutrition, poor quality of life and even death in severe cases. The main pathological findings of gastrointestinal involvement in scleroderma are smooth muscle atrophy and enteral wall fibrosis.

While heartburn from gastroesophageal reflux disease and dysphagia from esophageal dysmotility are very common early symptoms, patients can also suffer from gastroparesis or even intestinal pseudo-obstruction, considered the most severe gastrointestinal complication of scleroderma. Intestinal pseudo-obstruction and intractable diarrhea from small intestinal bacterial overgrowth lead to nutritional deficiencies, progressive weight loss from severe protein-calorie malnutrition, and even fecal incontinence.

In addition, anemia can develop from malabsorption of iron and other nutrients, or from gastrointestinal blood loss resulting from ulcerative esophagitis, gastritis, watermelon stomach (gastric antral vascular ectasia), colonic diverticula or gastrointestinal telangiectasias affecting any part of the gastrointestinal tract. Clinicians can perform various, highly specialized investigations to identify these specific gastrointestinal complications of scleroderma before recommending appropriate therapy.

Advertisement

Unlike other manifestations of systemic sclerosis for which potential disease-modifying therapies are available, so far no pharmacologic intervention has shown promise in improving the natural history of the gastrointestinal complications of scleroderma.

Early collaboration with gastroenterology saves patient

Emerging literature suggests that early recognition and management of gastrointestinal complications of scleroderma may favorably alter the long-term outcome. The durable benefits of parenteral nutrition in scleroderma enteropathy are also beginning to be recognized.

Over the last eight years, the Department of Rheumatic and Immunologic Diseases and the Center for Human Nutrition have partnered in the advanced treatment of scleroderma patients. The nutrition team has expertise in appropriately diagnosing and managing the specific gastrointestinal complications of scleroderma. Early adoption of a multidisciplinary partnership model, including rheumatologists, gastroenterologists with expertise in gastrointestinal dysmotility, and dietitians familiar with this disease, is paramount in producing better outcomes and improving survival in these very sick patients.

Donald Kirby, MD, gastroenterologist, and his team at Cleveland Clinic Digestive Disease & Surgery Institute’s Center for Human Nutrition became involved in our patient’s care early in his development of gastrointestinal complications. The patient was admitted for a trial of nasojejunal tube feeding to address his severe esophageal dysmotility and gastroparesis and his severe malnourished state resulting in profound weakness and muscle wasting. This approach was unsuccessful as the patient did not tolerate the procedure and became very uncomfortable.

Advertisement

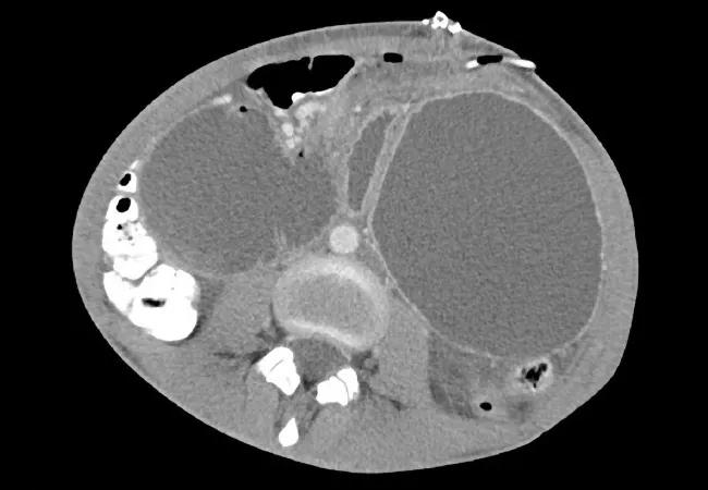
16-RHE-XXXX-Chatterjee-Inset-Images-Figs-A-B-C

Figure 1A and 1B. CT scan of abdomen showing massively dilated, fluid-filled stomach (S) and duodenum (D). Figure 1B. The imaged portion of the distal esophagus is also fluid-filled and dilated (E). Contrast fills the jejunum and more distal small bowel, and is seen within the colon to the level of the hepatic flexure.

Eventually, parenteral nutrition seemed his only hope of nutritional rehabilitation and survival. Fortunately, this procedure and course of treatment proved successful. Over the next two years, the patient regained substantial strength and stamina, as well as much of his lost weight.

Without parenteral nutrition, this patient likely would have died from progressive protein-calorie malnutrition. Instead, he has experienced improved quality of life and has been able to watch his young child grow. Seven years later, the patient remains on parenteral nutrition, still fighting his scleroderma.

Collaboration between our department and the Center for Human Nutrition undoubtedly saved this patient’s life.

Dr. Chatterjee (chattes@ccf.org; 216.444.9945) directs the Scleroderma Program in the Department of Rheumatic and Immunologic Diseases.

Dr. Kirby (kirbyd@ccf.org; 216.445.6609) directs the Center for Human Nutrition in the Digestive Disease & Surgery Institute.

Advertisement

Related Articles

Medical illustration of hand with discolored fingers

Coexistence of Erythromelalgia and Raynaud’s Phenomenon

Treatment strategies require understanding of pathomechanisms

Squamous cell skin cancer

Skin Cancer Risk in Immunosuppressed Patients

Education, prevention strategies and monitoring serves this at-risk group

esophageal plaques

Esophageal Plaques and Systemic Sclerosis

Treatment for scleroderma can sometimes cause esophageal symptoms

Lupus clinic

Coordinated Care, Education and Research

Lupus Clinic providers collaborate to advance treatment and understanding

Psoriatic arthritis

Psoriatic Arthritis: Unlocking the Age Factor

Older Psoriasis Patients May Experience Quicker Transition

Mixed connective tissue disease rash

A Little Bit of Everything: Mixed Connective Tissue Disease

Cleveland Clinic’s Rheumatic Lung Disease program treats patients with complex conditions

Skin lesions

Case Study: Joint Pain, Angioedema, Confusing Rash

Symptoms complement one another

Virtual coaching

Boosting Mental Health Access for Patients with Psoriatic Disease

E-coaching program is tailored for those with the disease

Ad