Locations:
Search IconSearch

‘Big Rescue’ Case Study: Unexpected Course of a Hemodynamically Unstable Knee Surgery Patient

Lessons from a rapid response to a large pericardial effusion

‘Big Rescue’ Case Study: Unexpected Course of a Hemodynamically Unstable Knee Surgery Patient

By Faisal Bakaeen, MD, and Paul Cremer, MD

Advertisement

Cleveland Clinic is a non-profit academic medical center. Advertising on our site helps support our mission. We do not endorse non-Cleveland Clinic products or services. Policy

Patient history: Long-standing infection, hypertension

Mr. F is an 81-year-old African American man with a history of prosthetic knee joint infection with methicillin-sensitive Staphylococcus aureus. He had been in and out of the operating room (OR) over the past year to try to address it, without success. He ultimately underwent prosthesis explant and was given an antibiotic-loaded spacer. Three months later, he is scheduled for surgery to remove the spacer with possible revision total knee arthroplasty to follow.

Mr. F has had poorly controlled hypertension for 40 years despite attempted treatments with every class of antihypertensive medication. He has left ventricular hypertrophy, an ejection fraction of 50 percent, chronic atrial fibrillation, a VVIR pacemaker, chronic kidney disease and anemia.

Procedure: Erratic pressures, then pericardial effusion

On the day of surgery, intravenous line placement proved difficult. An awake double-lumen left internal jugular central venous pressure line was placed. Mean systolic pressures of 150 mm Hg were recorded during the procedure.

At the time of induction, his pressures rose and fell, stabilized for more than an hour, then dropped precipitously. Pacemaker function remained unchanged. Central venous pressure was not recorded.

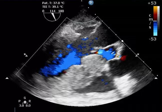
He was given epinephrine, and a norepinephrine infusion was started at 20 micrograms per minute. A transesophageal echocardiography (TEE) probe was placed and revealed a large pericardial effusion (Figure 1).

Figure 1. TEE findings showing a large pericardial effusion.

Figure 1. TEE findings showing a large pericardial effusion.

Emergent cardiology and cardiothoracic surgery consultation was called. Initially, aortic dissection was considered, but no dissection flap was seen on TEE. Consideration was also given to iatrogenic vascular injury, such as from central line placement, but etiology remained unclear.

Advertisement

His family asked that everything possible be done to save him.

The cardiac OR was notified for patient transfer, but with an open knee, it was deemed logistically impossible. In the meantime, pericardiocentesis was attempted unsuccessfully, then a subxiphoid pericardial window was performed, which resulted in the removal of about 500 mL of bright red blood.

Bleeding appeared to stop, blood pressure stabilized and vasoperessors were stopped. A pericardial drainage chest tube was left in place. The knee was quickly closed with the spacer left in, and Mr. F was sent to the critical care unit (CCU) for close observation.

Shortly after his arrival in the CCU, there was brisk drainage of bright red blood from the pericardial tube and the patient became hypotensive. He was stabilized with volume infusion and transfusions. The decision was made to take him to the OR for emergency exploration and control of bleeding.

Cardiac arrest during transfer: Chest opened

On the way to the cardiac OR, Mr. F went into cardiac arrest, and CPR was initiated in the elevator. He was rushed to the cardiac OR.

A rapid infuser was set up by perfusion staff to quickly address hypovolemia, allowing infusion of a liter of fluid per minute. Unfortunately, even with this massive infusion, the patient was losing blood faster than it could be delivered.

An echocardiogram was done, and no volume was evident in the heart.

Simultaneously, an emergency sternotomy was performed and the pericardium was opened. Inside was a large amount of clot and red blood. Clearing out of this clot material revealed a dilated, discolored, bruised-looking aorta and innominate and pulmonary arteries. No active bleeding was evident.

Advertisement

Aortic rupture found and repaired

Further exploration led to discovery of a contained posterior rupture of the aorta. The aorta was quickly cannulated and clamped above the site of the free rupture. The patient was placed on cardiopulmonary bypass, and deep hypothermic circulatory arrest was induced. The clamps were removed to allow examination of the posterior tear, which extended from the sinotubular junction up into the proximal aortic arch on the lesser curvature.

The tear was fully excised and the aorta replaced using a hemiarch technique. The patient was rewarmed and successfully weaned off cardiopulmonary bypass. Temporary closure of the chest with a vacuum dressing was used because of ongoing coagulopathy.

Mr. F woke up with intact neurologic status, and definitive closure of the sternum was done the next day. He was discharged to a skilled nursing facility two weeks later. At 30-day follow-up, he was eating on his own and doing well. He subsequently underwent knee replacement and now has a functioning right knee prosthesis and is receiving physical therapy to enable him to walk independently in the near future.

Figure 2. Although a preoperative chest radiograph (left) showed no evidence of an enlarged mediastinal or cardiac shadow to suggest an aortic aneurysm or a pericardial effusion, a postoperative CT (right) showed a generous aorta, suggesting that the patient was predisposed to aortic dissection or rupture.

Figure 2. Although a preoperative chest radiograph (left) showed no evidence of an enlarged mediastinal or cardiac shadow to suggest an aortic aneurysm or a pericardial effusion, a postoperative CT (right) showed a generous aorta, suggesting that the patient was predisposed to aortic dissection or rupture.

Case highlights

This case brings up several questions:

  • Is there a lesson here? In a situation with pericardial tamponade or uncontrolled mediastinal bleeding, always suspect aortic pathology.
  • What caused the aortic rupture? The patient probably had a hypertensive episode in the OR that ruptured his aorta. Or he may have had a reaction to the anesthesia, causing the blood pressure dip, and then the CPR caused the aorta to tear.
  • Isn’t pericardiocentesis contraindicated in the setting of acute aortic pathology? Not necessarily. A controlled pericardiocentesis can relieve tamponade and allow the patient to be stabilized for transfer to the OR and definitive surgical therapy.
  • Few people survive a ruptured aortic aneurysm. Was his good outcome luck? Yes, in that it occurred while he was already in the hospital and with everything in place to treat it effectively. Without the persistence, quick thinking and competence of the team to deal with this emergency, this story would have had a different ending.

Advertisement

Dr. Bakaeen (bakaeef@ccf.org) is a surgeon in Cleveland Clinic’s Department of Thoracic and Cardiovascular Surgery. Dr. Cremer (cremerp@ccf.org) is a cardiologist in Cleveland Clinic’s Section of Cardiovascular Imaging.

Advertisement

Related Articles

19-HRT-6507 Vitals-650×450

Rani duplicate post Check Out These Outcomes

A sampling of outcome and volume data from our Heart & Vascular Institute

illustration of the human heart focused on the left atrial appendage

Takeaways From Updated STS Guidelines for Surgical Treatment of Atrial Fibrillation

Concomitant AF ablation and LAA occlusion strongly endorsed during elective heart surgery

illustration of a figure-of-8 stitch for aortic valve repair

Figure-of-8, Hitch-Up Stitch Is Safe and Durable in Bicuspid Aortic Valve Repair

Large retrospective study supports its addition to BAV repair toolbox at expert centers

histology image of lung tissue showing spread through air spaces (STAS)

Lung Cancer Study Links Preoperative Factors With Spread Through Air Spaces

Young age, solid tumor, high uptake on PET and KRAS mutation signal risk, suggest need for lobectomy

x-ray of bone fracture in a forearm

TRAVERSE Substudy Links Testosterone Therapy to Increased Fracture Risk in Older Men With Hypogonadism

Surprise findings argue for caution about testosterone use in men at risk for fracture

echocardiogram showing severe aortic regurgitation

Early Referral for Enlarged Roots Critical to Prevent Residual AR After Aortic Root Replacement With Valve Reimplantation

Residual AR related to severe preoperative AR increases risk of progression, need for reoperation

photo of intubated elderly woman in hospital bed

Proteomic Study Characterizes Markers of Frailty in Cardiovascular Disease and Their Links to Outcomes

Findings support emphasis on markers of frailty related to, but not dependent on, age

3D transesophageal echocardiographic images

New Leaflet Modification Technique Curbs LVOT Obstruction Risk in Valve-in-Valve TMVR

Provides option for patients previously deemed anatomically unsuitable

Ad