Locations:
Search IconSearch

Be Alert to Pneumocystis Pneumonia in Wegener’s

High mortality rate exists in at-risk patients

Langford-Hero-Image-690x380pxl

By Carol A. Langford, MD, MHS

Advertisement

Cleveland Clinic is a non-profit academic medical center. Advertising on our site helps support our mission. We do not endorse non-Cleveland Clinic products or services. Policy

A 34-year-old woman was diagnosed with granulomatosis with polyangiitis (Wegener’s) (GPA) six weeks ago with features including sinonasal disease, a lung nodule without respiratory compromise, episcleritis, migratory arthralgias and (+) PR3-cANCA. For this, she was treated with prednisone 60 mg daily and methotrexate 20 mg/week. After improvement in her symptoms, she returns with a new cough and dyspnea. She appears unwell and has a pulse oximetry value of 89 percent with chest imaging showing improvement in the prior nodule with new bilateral interstitial infiltrates.

A 65-year-old man experienced a relapse of GPA two months ago manifest as glomerulonephritis with a peak creatinine of 2.6 mg/dL and purpura. For this, he was treated with methylprednisolone 1,000 mg intravenously for three days followed by prednisone 60 mg daily and rituximab 375 mg/m2/week for four weeks. His creatinine improved to 1.3 mg/dL and the purpura resolved. He now presents with dyspnea and has a pulse oximetry value of 85 percent with chest imaging showing bilateral interstitial infiltrates.

Two patients, different degrees of GPA disease severity and different treatments ‒ but the same life-threatening complication: Pneumocystis pneumonia.

Pneumocystis Pneumonia ‒ A Potentially Life-Threatening Infection

Pneumocystis is a genus of four species of organisms recognized as a fungus based on ribosomal RNA sequences. Pneumocystis carinii is the species seen in rats, and although this term was applied to human disease for many years, the designation Pneumocystis jirovecii is now used to correctly reflect the species that infects humans. The abbreviation PCP has continued to be used in reference to Pneumocystis pneumonia to maintain the accuracy of this abbreviation in older medical literature.

Advertisement

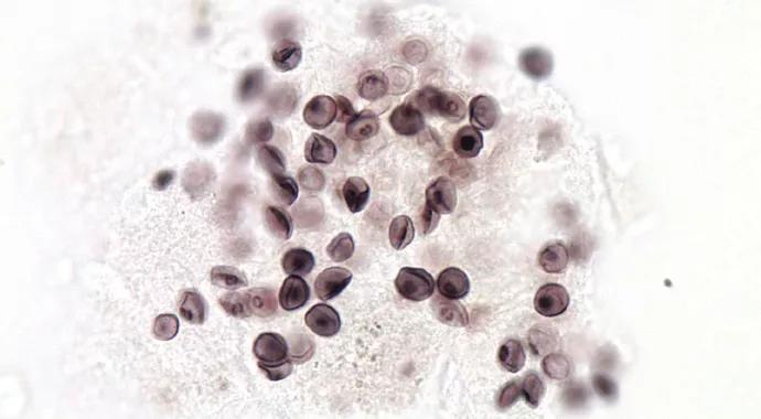
In immunocompromised/immunosuppressed patients, P jirovecii can result in a severe pneumonia. This is characteristically manifest as dyspnea and hypoxia with interstitial infiltrates, although a diversity of radiographic presentations can be seen. P jirovecii is detected by staining or polymerase chain reaction assays of respiratory secretions obtained from induced sputum or bronchoalveolar lavage (Figure). PCP carries a mortality rate of up to 35 percent in some series.

Figure. Image of a bronchoalveolar lavage specimen positive for Pneumocystis jirovecii (GMS stain). Courtesy of Sandra S. Richter, MD, Cleveland Clinic.

Figure. Image of a bronchoalveolar lavage specimen positive for Pneumocystis jirovecii (GMS stain). Courtesy of Sandra S. Richter, MD, Cleveland Clinic.

Risk Not Isolated to Cyclophosphamide-Based Induction

In patients with GPA or microscopic polyangiitis (MPA) receiving induction treatment, PCP is an important opportunistic infection. As these two cases illustrate, the risk of PCP is not isolated to patients who receive cyclophosphamide-based regimens. It was, in fact, during studies of methotrexate in nonsevere GPA during the 1990s that the significance of this pathogen in GPA came fully to light. More recently, PCP also has been observed in patients treated with rituximab-based induction regimens, providing emphasis that P jirovecii is an organism of which rheumatologists should be aware.

Current data support employing a prophylactic strategy for P jirovecii in all patients with GPA/MPA who are receiving induction therapy for active disease, regardless of whether this consists of cyclophosphamide, rituximab or methotrexate. Prophylactic strategies include trimethoprim/sulfamethoxazole (T/S), dapsone, atovaquone and inhaled pentamidine. In patients without a contraindication, T/S is considered the first-line choice and is typically given at a dose of 800 mg/160 mg three times a week or 400 mg/80 mg daily.

Advertisement

Although there is an interaction between T/S 800 mg/160 mg taken twice a day and methotrexate, prophylactic doses have been well tolerated. However, blood counts should be monitored.

Cases Continued

In returning to our two patients, a diverse differential for new pulmonary infiltrates would need to be considered, including recurrent active disease and medication toxicity. However, in an immunosuppressed patient, infection would be a primary concern, which would include P jirovecii. Given the high rate of mortality associated with PCP, it is important for rheumatologists to be aware of this important infection and to use preventive strategies in at-risk patients, which includes GPA/MPA patients receiving any immunosuppressive-induction regimen.

Dr. Langford is Director of the Center for Vasculitis Care and Research as well as Vice Chair for Research, Department of Rheumatic and Immunologic Diseases

Advertisement

Related Articles

patient consult
Key Elements for Optimizing Care in People with Vasculitis

Evidence-based therapies, monitoring, prevention and more

RCVL-S
Case: When Central Nervous System Vasculitis Is Suspected

Holistic approach is necessary to ensure a correct diagnosis

21-RHE-2528446-Monitoring-patients-ANCA-associated-vasculitis-CQD_650x450
Keys for Recognizing Drug-Induced Vasculitis

Knowing the affected organs and vessels can help in identifying cause

pulmonary artery stenosis
Takayasu Arteritis Case Study: Pulmonary Embolism or Something Else?

When to consider the possibility of pulmonary artery involvement

21-RHE-2528447-case-extracranial-Giant-cell-arteritis-CQD_650x450
A Challenging Case of Giant Cell Arteritis

When GCA initially presents without cranial symptoms

21-RHE-2528446-Monitoring-patients-ANCA-associated-vasculitis-CQD_650x450
Case Report: Long-Term Monitoring a Must for ANCA-Associated Vasculitis

Relapses are frequent even with long periods of remission

A series of brain MRI images used to help diagnose CNS vasculitis
Neurologic Involvement in ANCA-Associated Vasculitis

Raising awareness of a common manifestation

Ad