Locations:
Search IconSearch
February 9, 2015/Orthopaedics/Trauma

Be Aggressive in the Surgical Treatment of Diabetic Ankle Fractures

Good preoperative care is essential to success

14-ORT-977-Berkowitz-Hero-Image-690x380pxl

By Mark Berkowitz, MD

Advertisement

Cleveland Clinic is a non-profit academic medical center. Advertising on our site helps support our mission. We do not endorse non-Cleveland Clinic products or services. Policy

Diabetic patients with ankle fractures represent a distinct patient subset characterized by multiple comorbidities, greater surgical pitfalls and a well-accepted increased rate of complications. Nevertheless, successful treatment of ankle fracture in the diabetic patient is attainable by adopting an aggressive, multifaceted treatment approach that addresses the major causes of failure.

An Increasingly Complex Problem

Diabetic patients possess a long list of characteristics that can complicate ankle fracture treatment. Increased prevalences of peripheral vascular and coronary artery disease, obesity and peripheral neuropathy all contribute to a higher incidence of malunion and problems with wound healing. Charcot neuroarthropathy can exist at the time of ankle fracture or develop during treatment. In either case, profound deformity and loss of fixation after open reduction and internal fixation commonly result.

The challenges are even greater in the increasing number of diabetics who undergo gastric bypass surgery or kidney-pancreas transplantation. Gastric bypass patients often have profound osteopenia that contributes to more comminuted injury patterns and more difficult fixation. Transplant patients require powerful immunosuppressive medications that increase the risk of infectious complications after surgery.

Risk Reduction, Not Risk Elimination

There is no way to eliminate completely the risk of serious complications in the diabetic patient with a fractured ankle. Although nonoperative treatment may appear attractive in the diabetic patient with multiple comorbidities, even nonsurgical treatment can be extremely problematic. Lack of protective sensation and inability to avoid weight bearing can result in loss of reduction and skin breakdown with cast treatment, particularly in unstable fractures.

Advertisement

Unstable ankle fractures are best treated surgically, even in the complex diabetic population. Achieving a stable anatomic reduction facilitates union, simplifies cast changes and radiographic monitoring, and gives the patient the best possible chance to return to an acceptable level of function. However, a number of technique alterations should be considered in the diabetic patient to minimize the risk of complication.

Preoperative Management

Preoperative management is the first consideration. Ankle fracture surgery should be delayed in the diabetic patient to allow for medical optimization and resolution of swelling. The soft-tissue envelope should be as quiescent as possible before surgical treatment proceeds. Fracture blisters, if present, should be re-epithelialized, and skin wrinkles should be present. A delay of two weeks is not atypical for ankle fracture in a diabetic patient. This approach mirrors the one routinely used in treating pilon and calcaneus fractures in the nondiabetic population.

However, a delay before surgery is feasible only if a successful and well-done closed reduction and splinting is performed. While mild residual talar subluxation after closed reduction may be well tolerated in the young, healthy, nondiabetic patient, a suboptimal reduction can lead to severe soft-tissue breakdown in the diabetic patient. Thus, the goal of closed reduction in the diabetic patient must be near-anatomic reduction of the talus beneath the tibia.

Post-reduction splinting must also be performed to an exacting standard. The splint must be molded appropriately to maintain the reduced talus within the mortise. The splint should be well padded over the malleoli but not so padded that a reduction cannot be maintained. Bulky Jones cotton, while useful as postoperative cast padding, is not ideal for maintaining a closed reduction, as it inhibits proper molding of the plaster.

Advertisement

An Aggressive Surgical Approach

At Cleveland Clinic, we have adopted an aggressive surgical approach to the diabetic ankle fracture. This may seem counterintuitive in the medically complex, at-risk diabetic patient. But precisely because these patients possess so many risk factors for failure, internal fixation must be employed in a manner aggressive enough to counter these risks.

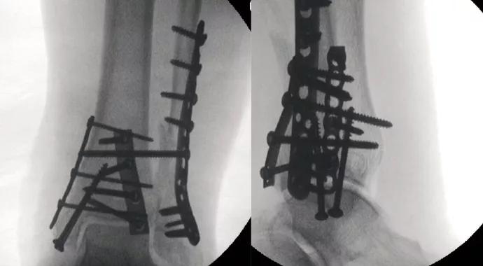
The goal of surgical treatment is to maximize ankle stability (Figure 1). To this end, posterior malleolar fractures are routinely reduced and stabilized with posterior buttress plating through a posterolateral approach. Applying the fibular plate to the posterior or posterolateral surface of the fibula using this same posterolateral incision further enhances construct stability. Anatomically contoured fibular locking plates provide another means of increasing stability, particularly when osteopenia is severe.

Figure 1. (A, B) Injury radiographs showing ankle fracture in a diabetic patient with a history of gastric bypass surgery and kidney-pancreas transplantation on immunosuppressive medications. (C, D) Aggressive and comprehensive internal fixation was performed, including placement of a posterolateral fibular locking plate, posterior and medial buttress plates and a supplementary syndesmotic screw.

Figure 1. (A, B) Injury radiographs showing ankle fracture in a diabetic patient with a history of gastric bypass surgery and kidney-pancreas transplantation on immunosuppressive medications. (C, D) Aggressive and comprehensive internal fixation was performed, including placement of a posterolateral fibular locking plate, posterior and medial buttress plates and a supplementary syndesmotic screw.

Liberal placement of supplementary syndesmotic-type screws from the fibula into the tibia also is recommended in the diabetic patient. These screws significantly enhance stability by engaging the relatively strong cortices of the tibia. They especially merit consideration in cases of deltoid ligament rupture.

Advertisement

Another helpful technique modification is the use of a tension band wire construct for the medial malleolus fracture. From the standpoint of fragment size, tension band wiring is particularly useful in stabilizing a small anterior colliculus fracture. And because the stability of tension band wiring is not as dependent on bone quality, it is equally useful for osteopenic or comminuted medial malleolus fractures.

Special Circumstances

A diabetic ankle fracture in the setting of severe peripheral neuropathy or early Charcot neuroarthropathy requires an equally aggressive but different approach. Patients with these conditions are often identified by their lack of pain and lack of protective sensation. At Cleveland Clinic, these patients have been treated successfully using a combination of percutaneous transarticular screws and fine-wire external fixation.

Percutaneous transarticular screw placement provides a fast, simple and minimally invasive means of stabilizing even an extremely unstable ankle fracture. Any joint damage caused by the screws has little consequence, as a result of the peripheral neuropathy. The screws are generally removed at three months, before initiation of weight bearing. In patients with severe osteopenia or Charcot changes, additional stability is achieved using an Ilizarov external fixator, either in addition to transarticular screws or as stand-alone fixation. Although more complex and time-consuming to apply, fine-wire fixation provides tremendous stability and encourages adherence to restrictions against weight bearing (Figure 2).

Advertisement

Figure 2. (A) Severe supination-adduction fracture dislocation in a 61-year-old diabetic female with a history of Charcot neuroarthropathy on the contralateral side. (B) Successful stabilization with a transarticular screw and an Ilizarov external fixator.

Figure 2. (A) Severe supination-adduction fracture dislocation in a 61-year-old diabetic female with a history of Charcot neuroarthropathy on the contralateral side. (B) Successful stabilization with a transarticular screw and an Ilizarov external fixator.

Conclusion: Success Is Attainable

Ankle fractures in diabetic patients are becoming more common and problematic, not less. The good news is that successful treatment is still attainable using an aggressive approach that anticipates and addresses potential complications.

About The Author

Dr. Berkowitz is a staff surgeon in the Department of Orthopaedic Surgery specializing in foot and ankle and lower extremity trauma surgery.

Related Articles

X-ray showing leg bones
March 6, 2024/Orthopaedics/Tumor

The Latest in Limb-Sparing Techniques for Pediatric Patients With Sarcoma

Biologic approaches, growing implants and more

Blue illustration of knee with torn ACL in red
February 29, 2024/Orthopaedics/Hip & Knee

Aspiration and Corticosteroid Injection Are Safe After ACL Injury

Study reports zero infections in nearly 300 patients

Swollen knee with scar
February 26, 2024/Orthopaedics/Hip & Knee

Is Joint Inflammation and Pain After Total Knee Arthroplasty an Infection or Gout?

How to diagnose and treat crystalline arthropathy after knee replacement

Dissected knee with robotic pins inside the incision
February 19, 2024/Orthopaedics/Hip & Knee

Intraincisional Pin Placement Is Safe Alternative in Robot-Assisted Total Knee Arthroplasty

Study finds that fracture and infection are rare

Multiple MRI scans of knees
February 12, 2024/Orthopaedics/Arthritis

Arthritis Foundation and Cleveland Clinic to Build National Osteoarthritis Imaging Center

Center will coordinate, interpret and archive imaging data for all multicenter trials conducted by the foundation’s Osteoarthritis Clinical Trial Network

Close up of the one round white pill in female hand.
January 4, 2024/Orthopaedics/Hip & Knee

Patients Use Less Pain Medication After Robot-Assisted Hip Replacement Compared With Conventional Surgery

Reduced narcotic use is the latest on the list of robotic surgery advantages

ORI_Viars_4102672_Hand Surgery Bootcamp – Dr. Styron_08-18-23
December 21, 2023/Orthopaedics/Upper Extremity

Boot Camp Prepares Trainees for Hand Surgery Fellowships

Cleveland Clinic specialists offer annual refresher on upper extremity fundamentals

The Featured Image for the post
November 29, 2023/Orthopaedics/Hip & Knee

What We’ve Learned From 10,000 Robot-Assisted Total Joint Replacements

Cleveland Clinic orthopaedic surgeons share their best tips, most challenging cases and biggest misperceptions

Ad