Locations:
Search IconSearch

Asymmetric Dimethylarginine as a Novel Biomarker for Cardiovascular Risk in Psoriatic Diseases

A new, precise biomarker for CV risk in psoriatic disease?

16-RHE-1500-Husni-650×450

By M. Elaine Husni, MD, MPH

Advertisement

Cleveland Clinic is a non-profit academic medical center. Advertising on our site helps support our mission. We do not endorse non-Cleveland Clinic products or services. Policy

Psoriatic arthritis (PsA) is associated with excessive cardiovascular (CV) events not fully explained by traditional CV risk factors, but no precise method exists to identify those patients with inflammatory arthritis at greatest risk for CV comorbidities. Traditional inflammatory markers such as C-reactive protein and erythrocyte sedimentation rate may confound CV risk assessment in patients with inflammatory arthritis who have concomitant CV disease. Our team in the Department of Rheumatic and Immunologic Diseases is currently investigating alternative biomarkers of endothelial dysfunction in patients with psoriatic disease to better predict increased CV risk.

Early, non-invasive predictor of CV risk in PsA patients?

Asymmetric dimethylarginine (ADMA) may play a role as a novel marker of cardiovascular risk. ADMA is an L-arginine methylation product and an endogenous inhibitor of nitric oxide synthase (NOS). As L-arginine is the sole nitrogen source for nitric oxide (NO) synthesis in a multistep reaction catalyzed by NOS, its increased catabolism causes reduced global L-arginine bioavailability. This reduction, along with an increase in ADMA, diminishes NO production. Decreased NO has been associated with endothelial dysfunction, one of the earliest steps in atherosclerosis. Elevated levels of plasma L-arginine catabolic products and methylation derivatives have been recently associated with increased CV risk. Furthermore, in several prospective and cross-sectional studies, ADMA has evolved as a novel marker of CV risk.

Advertisement

Our laboratory uses a multidisciplinary, translational approach to determine whether aberrant levels of plasma and tissue L-arginine metabolites serve as an early, non-invasive predictor of CV disease in psoriatic patients.

Initial Investigations Show Promise in ADMA

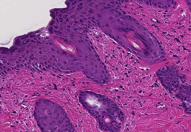
16-RHE-1500-Husni-Inset1

Figure 1A

Our initial studies aim to understand these underlying molecular mechanisms by using mouse models of rheumatoid arthritis, PsA and psoriasis to analyze L-arginine metabolites in psoriatic diseases. We are already analyzing these metabolites in a psoriasis mouse model in which we generate chronic psoriasis-like inflammation using imiquimod (IMQ), an immune response modifier. Topical application of IMQ to the skin of otherwise healthy mice induces inflamed lesions resembling psoriasis in four days (Figure 1A). We measure various L-arginine metabolites in the tissue extract isolated from normal (control) or diseased skin using mass spectrometric approaches.

Our initial results show significant increase in ADMA and significant decrease in L-arginine and monomethyl arginine (MMA) (Figure 1B). ADMA, along with diminished L-arginine, may result in reduced NO production leading to endothelial dysfunction. Similar changes in L-arginine metabolic patterns have been associated with enhanced CV disease mortality and morbidity.

16-RHE-1500-Husni-Inset2

Figure 1B

A Path Toward a More Specific Diagnostic Tool

Though preliminary, our current mouse models show an altered L-arginine metabolism, in particular elevated ADMA in the psoriasis skin lesion. Currently we are developing chronic mouse models of psoriasis and PsA to test whether aberrant plasma L-arginine metabolites are associated with defective CV function. We will extend these animal studies to the PsA disease model. The mouse models will enable us to identify the molecular pathways and signaling mediators of aberrant L-arginine metabolism that lead to endothelial dysfunction and CV disease. Combining our human plasma studies with mouse model data will enable our team to identify new, precise biomarkers that may help pinpoint those patients with psoriatic diseases who are at increased risk of CV disease.

Advertisement

An increasing number of robust, prospective clinical trials demonstrates the link between elevated ADMA levels and major CV events in diverse patient populations. However, the need to define more clearly which patients will benefit from measuring ADMA and its analogues remains if we are to use this novel risk marker as a more specific diagnostic tool in patients with psoriatic disease.

Dr. Husni is Director of Cleveland Clinic’s Arthritis and Musculoskeletal Treatment Center and directs Cleveland Clinic’s Psoriatic Disease Biobank.

Advertisement

Related Articles

Medical illustration of hand with discolored fingers

Coexistence of Erythromelalgia and Raynaud’s Phenomenon

Treatment strategies require understanding of pathomechanisms

Squamous cell skin cancer

Skin Cancer Risk in Immunosuppressed Patients

Education, prevention strategies and monitoring serves this at-risk group

esophageal plaques

Esophageal Plaques and Systemic Sclerosis

Treatment for scleroderma can sometimes cause esophageal symptoms

Lupus clinic

Coordinated Care, Education and Research

Lupus Clinic providers collaborate to advance treatment and understanding

Psoriatic arthritis

Psoriatic Arthritis: Unlocking the Age Factor

Older Psoriasis Patients May Experience Quicker Transition

Mixed connective tissue disease rash

A Little Bit of Everything: Mixed Connective Tissue Disease

Cleveland Clinic’s Rheumatic Lung Disease program treats patients with complex conditions

Skin lesions

Case Study: Joint Pain, Angioedema, Confusing Rash

Symptoms complement one another

Virtual coaching

Boosting Mental Health Access for Patients with Psoriatic Disease

E-coaching program is tailored for those with the disease

Ad