Locations:
Search IconSearch
November 4, 2019/Orthopaedics/Spine

Anterior Vertebral Body Tethering: A Non-Fusion Technique for Idiopathic Scoliosis in Growing Children

Non-fusion technique shows early promise

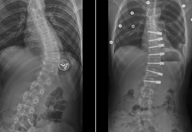
19-ORT-1446-Spine-CQD-Hero

By Ryan Goodwin, MD

Advertisement

Cleveland Clinic is a non-profit academic medical center. Advertising on our site helps support our mission. We do not endorse non-Cleveland Clinic products or services. Policy

Thousands of children undergo surgery for progressive scoliosis each year. Since the advent of modern medicine, the gold standard surgical technique is fusion of the involved vertebral elements. Overtime, modern instrumentation has markedly improved our surgical techniques to improve our ability to realign and stabilize the spine. Until recently, surgery for scoliosis consisted of fusion almost exclusively, limiting spinal motion and creating additional stress on adjacent segments. Good long-term data exists showing success of this procedure.

Recently, newer techniques have been developed to permit guided growth for growing patients with progressive scoliosis. These techniques were developed to stabilize the spine and allow remaining growth to occur. During the post-surgical growth, the deformity can correct slowly over time. This technique is similar to growth modulation techniques used in the lower extremities of children which have been commonplace for years. (i.e. stapling, physeal plating, epiphyseodesis). Vertebral body tethering is one such technique that permits continued growth without fusion and, as such, preserves motion.

As this is a relatively new procedure, indications continue to evolve. The procedure is designed to be performed in children with growth remaining and idiopathic curvatures between 35 and 70°. Children who are near skeletal maturity based on a bone age film or iliac crest apophysis are not candidates for this procedure. Goals of the procedure include stabilization of the convex portion of the curve with non-fusion instrumentation, modest correction in the operating room and completion of the deformity correction with future remaining growth.

Advertisement

Surgical technique

The procedure is performed under general anesthesia in the lateral decubitus position with the convexity up, most typically the right side. Dual lumen endotracheal tube is preferred so that the lung can be collapsed for visualization. Standard neurologic monitoring is used in all cases. Video-assisted thoracoscopy is performed through four to five portals in the hemithorax. Under camera visualization, as well as fluoroscopic guidance, anterior screws are placed in the vertebral bodies on the convexity along with a staple at each level. This instrumentation is then connected with a tether device that is flexible yet secures the instrumentation under tension which is controlled by the surgeon.

Intraoperative photo of video assisted thoracoscopy anterior vertebral body tethering

Postoperative care

Postoperative care typically consists of two to three days in hospital with a chest tube. Activity restrictions are in place for only six weeks, after which patients can resume all activities as tolerated. Patients are seen in follow-up at six-month intervals to monitor their radiographic changes as they grow. Complications are infrequent but it may include pulmonary complications, screw failure, tether failure, overcorrection and, rarely, neurologic injury.

As this technique is in its infancy, no long-term studies are yet available. Short to midterm data suggests the procedure is safe and can produce good correction both in the operating room and over time, eliminating the need for fusion. Future studies are warranted as the use of this technique becomes more widespread.

Advertisement

Feature image: 13-year-old female with progressive scoliosis treated with vertebral body tethering. Images show early correction from the preoperative posteroanterior x-ray and the patient’s first erect postoperative posteroanterior x-ray.

Dr. Goodwin is the Director of the Center for Pediatric and Adolescent Orthopaedics in the Orthopaedic & Rheumatologic Institute.

Advertisement

Related Articles

X-ray showing leg bones
March 6, 2024/Orthopaedics/Tumor

The Latest in Limb-Sparing Techniques for Pediatric Patients With Sarcoma

Biologic approaches, growing implants and more

Blue illustration of knee with torn ACL in red
February 29, 2024/Orthopaedics/Hip & Knee

Aspiration and Corticosteroid Injection Are Safe After ACL Injury

Study reports zero infections in nearly 300 patients

Swollen knee with scar
February 26, 2024/Orthopaedics/Hip & Knee

Is Joint Inflammation and Pain After Total Knee Arthroplasty an Infection or Gout?

How to diagnose and treat crystalline arthropathy after knee replacement

Dissected knee with robotic pins inside the incision
February 19, 2024/Orthopaedics/Hip & Knee

Intraincisional Pin Placement Is Safe Alternative in Robot-Assisted Total Knee Arthroplasty

Study finds that fracture and infection are rare

Multiple MRI scans of knees
February 12, 2024/Orthopaedics/Arthritis

Arthritis Foundation and Cleveland Clinic to Build National Osteoarthritis Imaging Center

Center will coordinate, interpret and archive imaging data for all multicenter trials conducted by the foundation’s Osteoarthritis Clinical Trial Network

Close up of the one round white pill in female hand.
January 4, 2024/Orthopaedics/Hip & Knee

Patients Use Less Pain Medication After Robot-Assisted Hip Replacement Compared With Conventional Surgery

Reduced narcotic use is the latest on the list of robotic surgery advantages

ORI_Viars_4102672_Hand Surgery Bootcamp – Dr. Styron_08-18-23
December 21, 2023/Orthopaedics/Upper Extremity

Boot Camp Prepares Trainees for Hand Surgery Fellowships

Cleveland Clinic specialists offer annual refresher on upper extremity fundamentals

The Featured Image for the post
November 29, 2023/Orthopaedics/Hip & Knee

What We’ve Learned From 10,000 Robot-Assisted Total Joint Replacements

Cleveland Clinic orthopaedic surgeons share their best tips, most challenging cases and biggest misperceptions

Ad