Locations:
Search IconSearch

Antegrade Approach for Coronary CTO: Tapered-Tip, Low-Force Guidewires Deliver Good Results

Study finds efficient lesion crossing, good procedural success

coronary chronic total occlusion-650×450

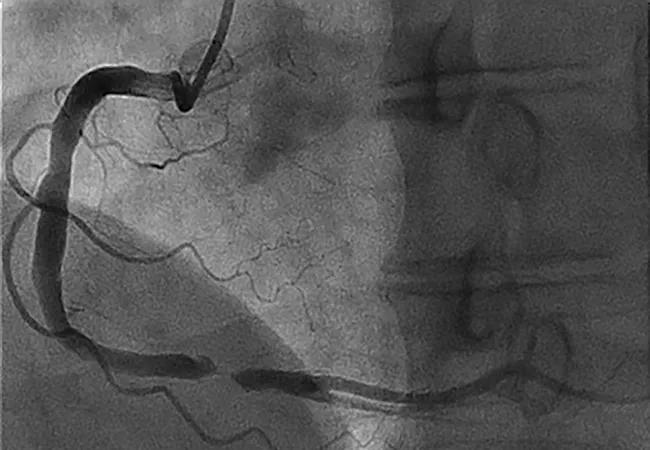
An initial antegrade wiring escalation approach for crossing coronary chronic total occlusion (CTO) lesions using a new guidewire technology facilitates efficiency and success with excellent safety. So concludes a study recently published in the Journal of Invasive Cardiology (2020;32[5]:161-168) involving use of the guidewires for 164 consecutive CTO lesions treated at Cleveland Clinic.

Advertisement

Cleveland Clinic is a non-profit academic medical center. Advertising on our site helps support our mission. We do not endorse non-Cleveland Clinic products or services. Policy

The study assessed a guidewire type novel to the United States — polymer-jacketed, tapered-tip, low-force guidewires with composite-core, dual-coil design. The research was investigator-initiated and involved no formal industry funding.

“This study details our initial experience using these guidewires as part of an antegrade-first wiring approach in unselected patients,” says lead author Jeffrey Rossi, MD, a fellow in the Department of Cardiovascular Medicine at Cleveland Clinic. “Their performance may lead to extending the spectrum of lesions recommended for this percutaneous coronary intervention strategy.”

Revisiting antegrade wire escalation with new technology

For coronary CTOs, advanced crossing strategies associated with a higher risk of complication are often selected as alternatives to an antegrade strategy because of inadequate wire technology. But with the availability of new guidewires with technological advances (composite-core, dual-coil design with polymer-jacketed and tapered tips), both the Euro and Asia-Pacific CTO Clubs favor an antegrade-first strategy.

“In recent years, Cleveland Clinic started an institutional practice to begin all CTO cases with antegrade wire escalation using the novel guidewires regardless of lesion characteristics,” explains the study’s senior author, Jaikirshan Khatri, MD, an interventional cardiologist who specializes in CTO interventions.

Study design and population

The investigation analyzed outcomes from 164 consecutive CTO lesions (from 155 patients) treated at Cleveland Clinic from March 2017 to December 2018, when a primary antegrade wire escalation strategy with the novel guidewires was used for all CTO cases regardless of angiographic lesion characteristics.

Advertisement

Among the 155 patients, mean age was 64 ± 9.6 years and 83.5% were male; 37.2% had prior coronary artery bypass grafting and 45.7% had diabetes. Most procedures (69.5%) were performed for symptom relief.

Among the lesions, 31.1% were prior failures, 15.9% were in-stent restenoses and 29.3% were previously bypassed. Mean CTO length was 25.0 ± 14.0 mm.

Outcomes

The overall technical success rate was 84.1%, with 67.7% of lesions crossed antegrade, 12.8% crossed retrograde and 3.7% crossed using antegrade dissection and re-entry. Antegrade success rates were evaluated according to procedural complexity as measured by Japanese CTO (J-CTO) score, as follows:

  • 79% for J-CTO scores 0-1 (easy to intermediate)
  • 60% for J-CTO scores 2-3 (difficult)
  • 17% for J-CTO scores 4-5 (very difficult)

Among lesions in which the novel guidewires were able to cross antegrade, the following median wiring times were observed, presented by level of complexity:

  • 5 minutes (interquartile range [IQR], 5.0-11.0) for J-CTO scores 0-1
  • 0 minutes (IQR, 4.2-14.0) for J-CTO scores 2-3
  • 0 minutes (IQR, 9.0-15.0 min) for J-CTO scores 4-5

The differences in wiring times did not reach statistical significance (P = 0.20).

In-hospital major adverse cardiac events occurred in 1.3% of patients. Four wire perforations occurred, with none directly related to the novel wires. There were no in-hospital deaths.

Support for an antegrade-first strategy

Success rates and wiring times in this study compare favorably with those of other published research, although exact comparisons are hampered by most studies not specifying which wire crossed the lesions, the researchers note. This study, they add, is the first to specifically comment on the performance of these wires.

Advertisement

The researchers emphasize the following major findings:

  • The new guidewires can achieve high rates of antegrade success in low-complexity lesions. The J-CTO score was a good predictor of procedural success, with high success rates achieved in lesions that had a score of 3 or less without need for an additional wire.
  • When able to cross antegrade, wiring times were low regardless of lesion complexity. This finding surprised the research team, according to Dr. Khatri. “When the wire could cross antegrade, wiring times were low and not significantly associated with lesion severity,” he observes.
  • The new wires do not perform as well in lesions known to be challenging for an antegrade approach. Results were less successful in bypassed vessels, in lesions with moderate-to-severe calcification or tortuosity, and in lesions at least 20 mm long or having a nontapered stump or ambiguous cap.
  • The new guidewire technology demonstrates good safety as part of an antegrade approach. “Overall, our experience with these new wires was excellent in expert hands with an initial antegrade approach,” says co-author Samir Kapadia, MD, Chair of Cardiovascular Medicine at Cleveland Clinic. “Keep in mind, however, that CTO intervention is a very subspecialized branch and success depends on the experience of the operators.”

Advertisement

Related Articles

19-HRT-6507 Vitals-650×450

Rani duplicate post Check Out These Outcomes

A sampling of outcome and volume data from our Heart & Vascular Institute

illustration of the human heart focused on the left atrial appendage

Takeaways From Updated STS Guidelines for Surgical Treatment of Atrial Fibrillation

Concomitant AF ablation and LAA occlusion strongly endorsed during elective heart surgery

illustration of a figure-of-8 stitch for aortic valve repair

Figure-of-8, Hitch-Up Stitch Is Safe and Durable in Bicuspid Aortic Valve Repair

Large retrospective study supports its addition to BAV repair toolbox at expert centers

histology image of lung tissue showing spread through air spaces (STAS)

Lung Cancer Study Links Preoperative Factors With Spread Through Air Spaces

Young age, solid tumor, high uptake on PET and KRAS mutation signal risk, suggest need for lobectomy

x-ray of bone fracture in a forearm

TRAVERSE Substudy Links Testosterone Therapy to Increased Fracture Risk in Older Men With Hypogonadism

Surprise findings argue for caution about testosterone use in men at risk for fracture

echocardiogram showing severe aortic regurgitation

Early Referral for Enlarged Roots Critical to Prevent Residual AR After Aortic Root Replacement With Valve Reimplantation

Residual AR related to severe preoperative AR increases risk of progression, need for reoperation

photo of intubated elderly woman in hospital bed

Proteomic Study Characterizes Markers of Frailty in Cardiovascular Disease and Their Links to Outcomes

Findings support emphasis on markers of frailty related to, but not dependent on, age

3D transesophageal echocardiographic images

New Leaflet Modification Technique Curbs LVOT Obstruction Risk in Valve-in-Valve TMVR

Provides option for patients previously deemed anatomically unsuitable

Ad