Locations:
Search IconSearch

Advanced Connectivity Measures Using Simultaneous Electrode Stimulation and fMRI

Progress toward functional location of electrodes to maximize response while minimizing side effects

17-NEU-4473-Jones-fMRI-650×450

By Stephen E. Jones, MD, PhD

Advertisement

Cleveland Clinic is a non-profit academic medical center. Advertising on our site helps support our mission. We do not endorse non-Cleveland Clinic products or services. Policy

To date, the imaging techniques most applicable to neurological disease have been structural, as they can superbly delineate diseased brain regions. While MRI has been the workhorse method for the past 25 years, some diseases are often inconspicuous on structural MRI. This has spurred considerable interest in more recent MRI techniques developed to examine brain function, rather than structure, which in turn is closely related to imaging brain connectivity.

Close collaboration between Cleveland Clinic’s Imaging Institute and Neurological Institute has enabled demonstration of a new technique to image brain connectivity featuring simultaneous deep brain stimulation (DBS) electrode stimulation and functional MRI (fMRI) imaging performed at 1.5T in patients with movement disorders under general anesthesia. Robust blood-oxygen-level-dependent (BOLD) activation can be easily elicited at voltages greater than 4V. The patterns of BOLD activation include both proximal and distal brain regions, with high spatial sensitivity, and these patterns also reflect clinical efficacy.

The technique of simultaneous electrical stimulation of the brain and BOLD fMRI is generally applicable to any neurological disease that can be treated with electrical stimulation. To date, this has included epilepsy, major depression, obsessive-compulsive disorder, essential tremor and urinary incontinence. For these experiments, patients were scanned in a 1.5T intraoperative MRI scanner during DBS electrode implantation under general anesthesia. After anatomically guided implantation, a BOLD-sensitive echo planar imaging sequence was acquired during stimulation of the electrodes in a block design of 30 seconds on/off. Stimulation parameters were 2, 5 and 8V across bipolar contacts at 130 Hz. Up to four DBS-fMRI sequences were obtained during the imaging session, each with variations of stimulation parameters such as voltages, contacts and duration.

Advertisement

To date, seven patients have been studied and there have been no adverse reactions. Various stimulation parameters were explored, generally showing robust BOLD activation with voltages greater than 5V. BOLD activation included brain regions both proximal and distal to the electrodes, with patterns reflecting motor circuits, and the patterns were very sensitive to lead location. The figure presents example findings.

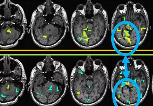
Figure. The top row of images shows BOLD activation maps resulting from stimulation of electrode contacts in the globus pallidus interna (GPi) regions. This stimulation, depicted in the large image on the lower left, is specifically a bipolar stimulation between contacts 0 and 1, where the red spheres in the lower left image indicate predicted regions depolarized by electrical current. Yellow-green shading indicates regions with increased BOLD activation with electrical stimulation, whereas blue regions show decreased activation with electrical stimulation. The second row of brain maps shows the results when the location of the stimulation electrodes is slightly changed, now in the adjacent contact pair 1-2. While the two rows of brain maps show activation in many brain regions, there are some notable differences, such as the right-sided visual areas of the occipital lobes, as indicated within the blue circles (fourth images in each row). This is likely due to proximity of the activation at contacts 0-1 to the optic tracts, as indicated by the arrow.

This technique of simultaneous DBS electrode stimulation and fMRI offers a possible alternative for patients desiring DBS implantation while under general anesthesia as well as functional location of electrodes to maximize clinical response and minimize side effects. This technique could easily be generalized to any functional localization electrodes during implantation.

Advertisement

Dr. Jones is Vice Chair for Research and Academic Affairs in Cleveland Clinic’s Imaging Institute and holds multiple appointments in the Neurological Institute. He acknowledges Hyun-Joo Park, PhD, and Ken Baker, PhD, of Cleveland Clinic’s Center for Neurological Restoration, as well as Pallab Bhattacharyya, PhD, and Mark Lowe PhD, of the Imaging Institute, for contributions to this report.

Advertisement

Related Articles

16-NEU-2800-Kubu-101058161-650×450

What Do Patients Want from DBS for Parkinson’s Disease?

New study advances understanding of patient-defined goals

photo of a man sleeping at a desk, with a podcast icon overlay
March 15, 2024/Neurosciences/Podcast

Diagnosis and Management of Idiopathic Hypersomnia (Podcast)

Testing options and therapies are expanding for this poorly understood sleep disorder

illustration of an alzheimer brain and a packet of sildenafil pills
March 11, 2024/Neurosciences/Research

Sildenafil as an Alzheimer’s Candidate Drug: Further Support From Insurance Database and Mechanistic Studies

Real-world claims data and tissue culture studies set the stage for randomized clinical testing

brain scan showing perimesencephalic subarachnoid hemorrhage

Study Supports Less-Strict Monitoring for Nonaneurysmal Perimesencephalic SAH Without Hydrocephalus

Digital subtraction angiography remains central to assessment of ‘benign’ PMSAH

illustrated brain with the letters "AI" on a computer circuit board

As AI Tools Emerge, Be Proactive and Engaged to Shape Their Development

Cleveland Clinic neuromuscular specialist shares insights on AI in his field and beyond

histology image of a gray matter lesion in a multiple sclerosis brain

Study Suggests Protective Role for Microglia at Borders of Gray Matter Lesions in Progressive MS

Findings challenge dogma that microglia are exclusively destructive regardless of location in brain

series of digital-looking brain icons with a podcast button overlay on top
March 1, 2024/Neurosciences/Podcast

Harnessing the Power of AI in Medicine (Podcast)

Neurology is especially well positioned for opportunities to enhance clinical care and medical training

illustration of a neuron affected by multiple sclerosis

Clinical Trials in Progressive MS: An Assessment of Advances and Remaining Challenges

New review distills insights from studies over the past decade

Ad