Locations:
Search IconSearch

ADVANCE CRT Study Spotlights Shortcomings in Detection and Care of CRT Nonresponse

Registry study underscores need to involve heart failure specialists

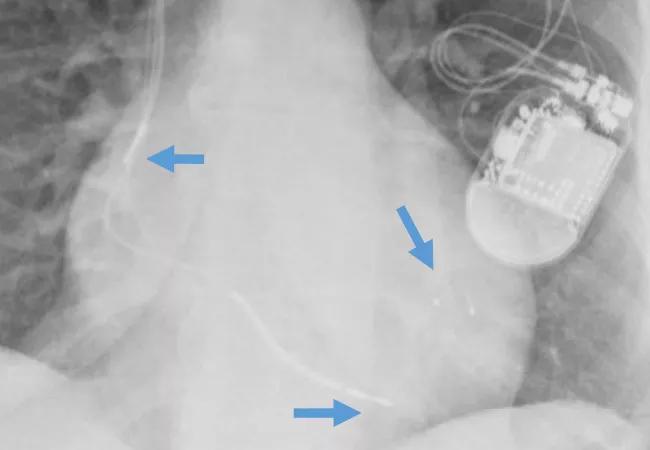
image of a patient with a cardiac resynchronization therapy (CRT) device with arrows pointing to the three leads used in CRT

Centers that implant cardiac resynchronization therapy (CRT) devices tend to overestimate the success of CRT due to the use of inadequate criteria for assessing response, an international registry study has concluded. Moreover, even when nonresponders to CRT are accurately identified, 44% receive no effective additional treatment.

Advertisement

Cleveland Clinic is a non-profit academic medical center. Advertising on our site helps support our mission. We do not endorse non-Cleveland Clinic products or services. Policy

“Our findings reveal a lack of consensus on how CRT nonresponse should be assessed and treated,” says Cleveland Clinic electrophysiologist Niraj Varma, MD, PhD, who served as study chair and lead author of the study report, which was recently published in the Journal of the American College of Cardiology (2019;74:2588-2603).

The investigation, a prospective multicenter analysis of the ADVANCE CRT heart failure registry (Advance Cardiac Resynchronization Therapy Registry), was designed to identify and characterize CRT nonresponders in clinical practice at 69 centers worldwide, as well as to understand site-specific methods of diagnosing and managing nonresponse.

Study design and response evaluation

Participating sites enrolled eligible patients up to 30 days after successful implantation of any approved Abbott CRT pacemaker or CRT defibrillator device with quadripolar left ventricular leads. Sites collected data and followed patients every three months for one year.

Each patient’s CRT response was assessed at six months after implantation using site-specific criteria and then compared with the patient’s clinical composite score — an established standard for assessing patients with heart failure — based on data gathered as part of the study protocol.

Of the 1,327 evaluable patients, 20% were classified as nonresponders at six months based on site-specific criteria. This represented a 35% underestimate compared with the 31% identified as nonresponders based on clinical composite score (P < 0.001).

Site-specific classification most often used clinical events (e.g., heart failure-related symptoms, hospitalizations) and clinical functional assessment (NYHA functional class, six-minute walk test, quality-of-life measures) to adjudicate nonresponse.

Advertisement

“We were surprised,” says Dr. Varma. “Selection criteria for CRT have improved, so we thought CRT response might be better than in the past. The right patients were selected, and leads were delivered correctly, but the rate of nonresponse remained unchanged from past reports.”

Not surprisingly, rates of hospitalization and death among CRT nonresponders were significantly higher than among responders.

“Recognizing nonresponse to CRT as the necessary first step to better manage these patients is a key takeaway from this study,” says Jerry Estep, MD, Cleveland Clinic’s Section Head of Heart Failure and Transplantation, who was not part of the investigation. “Use of the clinical composite score elements — such as a heart failure hospitalization or need to treat with IV therapy, worsening heart failure symptoms and/or worsened patient-reported global assessment — may help in identifying more patients who are not having an adequate response to CRT.”

Management of nonresponse is largely inadequate

The study also looked at participating sites’ reaction to CRT nonresponse, which was generally passive: Nonresponders typically received heart failure education (37%) and changes in medication (36%), but 44% of them received no additional treatment.

“This was striking,” Dr. Varma notes. “It appears that physicians may not know what to do with CRT nonresponders, since their interventions were largely ineffective.”

“Nonresponders to CRT are well known to have poor outcomes, yet these findings show that even when such patients are identified, their care is often not intensified,” adds John Rickard, MD, MPH, a Cleveland Clinic electrophysiologist with a specialty interest in CRT nonresponse. “This important study sheds light on significant inadequacies in the follow-up of CRT recipients.”

Advertisement

A leading inadequacy was lack of interdisciplinary management. Only 15.5% of CRT nonresponders saw a heart failure specialist, while 61.3% continued to see an electrophysiologist — about the same rate as for responders.

“Heart failure specialists send CRT patients to electrophysiologists, who tend to hold on to them because these patients have complicated devices that require programming,” Dr. Varma observes. “But both specialties should be looking after these patients, yet these findings show that’s generally not happening.”

Cleveland Clinic addressed this need several years ago by establishing a multidisciplinary CRT optimization clinic, directed by Dr. Rickard, where nonresponders are identified early and management is intensified with the help of a heart failure specialist.

“A systematic approach to evaluating and treating patients who are CRT nonresponders is critical,” notes Dr. Estep. “Guideline-directed use of heart failure medications at optimal dosages can favorably alter the trajectory of these patients.”

Highlighting knowledge gaps

The ADVANCE CRT study revealed several areas of CRT diagnosis, response and management that require further investigation, according to Dr. Varma:

  • Why approximately 30% of patients don’t achieve effective control of heart failure symptoms following CRT. “There are nuances as to why this happens that we don’t yet understand,” Dr. Varma notes.
  • How response to CRT should be measured. “Echocardiography is the gold standard in clinical trials but does not seem to be practical in the real world,” Dr. Varma says. “Acquiring images is easy, but interpretation is limited by a lack of consensus on what constitutes nonresponse. Thirty different metrics are available. Which should a practitioner use?”
  • How nonresponders should be treated. Although no therapies have yet been proven effective, Dr. Varma notes that new treatments may be available in as little as three years.

Advertisement

Advice to colleagues

The most important omission identified by ADVANCE CRT may be the lack of multidisciplinary involvement in patient care. “Heart failure specialists need to be included in the management of these patients,” says Dr. Varma. “Nonresponders may benefit from participation in clinical trials of heart failure therapies. If they continue to decline, they may need advanced therapy, such as a left ventricular assist device or heart transplant. Early identification is key.”

He also suggests wider use of remote monitoring to help predict heart failure progression and enable preemptive therapy.

“A standardized surveillance protocol to identify nonresponders is critical, as is a systematic approach to evaluation and treatment,” adds Dr. Estep. “A multidisciplinary approach, like the one used at Cleveland Clinic, is best to achieve this goal.”

“There is a lot of expectation around CRT devices, and it’s a huge disappointment when they don’t work,” Dr. Varma concludes. “It’s time to optimize therapy and design new therapies for CRT nonresponders since this is a relatively neglected patient population.”

Image at top shows an implanted CRT device with arrows pointing to the three leads used in cardiac resynchronization therapy.

Advertisement

Related Articles

19-HRT-6507 Vitals-650&#215;450

Rani duplicate post Check Out These Outcomes

A sampling of outcome and volume data from our Heart & Vascular Institute

illustration of the human heart focused on the left atrial appendage

Takeaways From Updated STS Guidelines for Surgical Treatment of Atrial Fibrillation

Concomitant AF ablation and LAA occlusion strongly endorsed during elective heart surgery

illustration of a figure-of-8 stitch for aortic valve repair

Figure-of-8, Hitch-Up Stitch Is Safe and Durable in Bicuspid Aortic Valve Repair

Large retrospective study supports its addition to BAV repair toolbox at expert centers

histology image of lung tissue showing spread through air spaces (STAS)

Lung Cancer Study Links Preoperative Factors With Spread Through Air Spaces

Young age, solid tumor, high uptake on PET and KRAS mutation signal risk, suggest need for lobectomy

x-ray of bone fracture in a forearm

TRAVERSE Substudy Links Testosterone Therapy to Increased Fracture Risk in Older Men With Hypogonadism

Surprise findings argue for caution about testosterone use in men at risk for fracture

echocardiogram showing severe aortic regurgitation

Early Referral for Enlarged Roots Critical to Prevent Residual AR After Aortic Root Replacement With Valve Reimplantation

Residual AR related to severe preoperative AR increases risk of progression, need for reoperation

photo of intubated elderly woman in hospital bed

Proteomic Study Characterizes Markers of Frailty in Cardiovascular Disease and Their Links to Outcomes

Findings support emphasis on markers of frailty related to, but not dependent on, age

3D transesophageal echocardiographic images

New Leaflet Modification Technique Curbs LVOT Obstruction Risk in Valve-in-Valve TMVR

Provides option for patients previously deemed anatomically unsuitable

Ad