Locations:
Search IconSearch

A Case Study in Collaboration

Patient referred to Lupus Clinic with array of symptoms

Smith-Hojjati-Hero-Image-690x380pxl

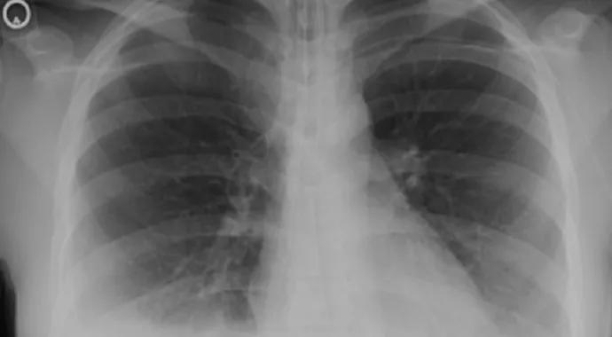
A 29-year-old woman presented to her primary care physician reporting six weeks of swelling of the fingers and knees, facial rash, and stabbing pain in the chest with breathing. Examination confirmed pleurisy and edema (Figure 1), and lab results revealed anemia, leukopenia and positive ANA findings.

Advertisement

Cleveland Clinic is a non-profit academic medical center. Advertising on our site helps support our mission. We do not endorse non-Cleveland Clinic products or services. Policy

Figure 1. Radiograph showing pleural and pericardial effusion in the case patient.

Figure 1. Radiograph showing pleural and pericardial effusion in the case patient.

She was referred to Cleveland Clinic’s Lupus Clinic for further evaluation and treatment, where she was diagnosed with SLE and found to also have pericarditis and proteinuria. She was started on oral steroid therapy and further evaluated by subspecialists in cardiology, nephrology and dermatology. Additional testing was conducted, including a kidney biopsy.

Her physicians conferred with the referring physician, and a coordinated course of therapy was proposed. It was decided to initiate treatment with the IV immunosuppressants cyclophosphamide and methylprednisolone followed by oral hydroxychloroquine, prednisone and mycophenolate mofetil. The patient received detailed education about her disease and the proposed treatment. After her questions and concerns were addressed, treatment started. She fared well, with rapid resolution of the arthritis, rash and pericarditis. Her kidney function improved, and six months later she had only mild proteinuria and mild renal insufficiency.

Advertisement

Related Articles

Medical illustration of hand with discolored fingers

Coexistence of Erythromelalgia and Raynaud’s Phenomenon

Treatment strategies require understanding of pathomechanisms

Squamous cell skin cancer

Skin Cancer Risk in Immunosuppressed Patients

Education, prevention strategies and monitoring serves this at-risk group

esophageal plaques

Esophageal Plaques and Systemic Sclerosis

Treatment for scleroderma can sometimes cause esophageal symptoms

Lupus clinic

Coordinated Care, Education and Research

Lupus Clinic providers collaborate to advance treatment and understanding

Psoriatic arthritis

Psoriatic Arthritis: Unlocking the Age Factor

Older Psoriasis Patients May Experience Quicker Transition

Mixed connective tissue disease rash

A Little Bit of Everything: Mixed Connective Tissue Disease

Cleveland Clinic’s Rheumatic Lung Disease program treats patients with complex conditions

Skin lesions

Case Study: Joint Pain, Angioedema, Confusing Rash

Symptoms complement one another

Virtual coaching

Boosting Mental Health Access for Patients with Psoriatic Disease

E-coaching program is tailored for those with the disease

Ad