Locations:
Search IconSearch

4 Key Factors in Using Echo to Estimate Embolism Risk in Infective Endocarditis

How they add to clinical factors to make embolism less unpredictable

smaller endocarditis vegetation-450×650

By Paul Cremer, MD, and Gosta Pettersson, MD, PhD

Advertisement

Cleveland Clinic is a non-profit academic medical center. Advertising on our site helps support our mission. We do not endorse non-Cleveland Clinic products or services. Policy

In the setting of infective endocarditis (IE), there are two things to know about embolization that loom especially large: embolization is common, and its timing can be unpredictable.

On the question of frequency, systemic embolization is reported to occur in one-quarter to one-half of IE cases, with most cases involving the central nervous system (CNS).1 The question of timing can prove especially vexing to cardiac surgery teams, as a patient may be scheduled to undergo surgery only to develop a CNS embolization the night before and have the operation postponed, putting the patient’s long-term outcome in the balance.

Risk stratification by echo: The four factors

These issues make effective estimation of the risk of embolism for a given IE patient particularly important. Although vegetations visible by echocardiography are not the only source of embolism, they are the main source, and this makes echo the main tool for estimating embolism risk in patients with IE. There are four principal components of the echo evaluation when assessing vegetation-associated embolization risk, as outlined and illustrated below.

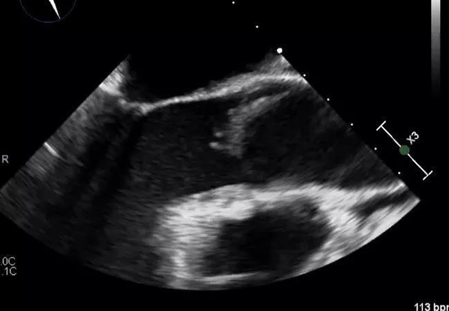
Vegetation size. The larger the vegetation, the greater the risk of embolism. This is illustrated in the two echo images below, both of which are from patients with native aortic valve endocarditis. The long-axis view on the top shows a very large vegetation that appears ready to break off at the stalk, whereas the echo on the bottom shows a smaller vegetation with lower risk of detachment.

https://consultqd.clevelandclinic.org/wp-content/uploads/sites/2/2018/02/Media1.mp4

Advertisement

https://consultqd.clevelandclinic.org/wp-content/uploads/sites/2/2018/02/Media2.mp4

Clinical guidelines, both from the American Association for Thoracic Surgery in 20172 and from the European Society of Cardiology in 2015,3 devote much of their focus to vegetation size when discussing embolism prevention, with 10 mm as the threshold for indicating urgent surgery in patients who have had an embolic episode and 15 mm as the threshold in the absence of other indications for surgery. But it’s important to note that there is no biologic relevance to these thresholds and that size should be viewed as a continuous variable, especially since a single size measurement cannot always capture the three-dimensional variability of complex vegetations.

Vegetation location. Embolism risk can be affected by the location of vegetations, and those on the mitral valve confer higher risk for embolization compared with vegetations on the aortic valve.4

The below echoes are illustrative, with the upper image showing a large vegetation on the medial aspect of the anterior leaflet of a native mitral valve while the lower image shows a layering infected thrombus on a bioprosthetic aortic valve.

https://consultqd.clevelandclinic.org/wp-content/uploads/sites/2/2018/02/Media4.mp4

Number of vegetations. The more vegetations, the higher the likelihood of embolization. The images below demonstrate two echocardiographic manifestations of native mitral valve IE that differ by number of vegetations, with the upper panel showing multiple vegetations on both the anterior and posterior leaflets and the lower panel showing one predominant large vegetation on the lateral aspect of the posterior leaflet.

Advertisement

Mobility of vegetations. The more mobile the vegetation, the greater the risk of embolization. At the same time, it’s important to emphasize that embolic events are not uncommon in patients whose vegetations do not appear to be highly mobile.5

The below images are both from cases of Candida parapsilosis endocarditis of a bioprosthetic aortic valve, yet they demonstrate differing degrees of mobility, with the upper panel revealing a serpiginous, highly mobile vegetation while the lower panel shows only some thickening, adherent vegetation on the leaflets.

https://consultqd.clevelandclinic.org/wp-content/uploads/sites/2/2018/02/Media7.mp4

https://consultqd.clevelandclinic.org/wp-content/uploads/sites/2/2018/02/Media8.mp4

Final word: Echo is an adjunct to clinical data (and timing)

Effective use of echocardiography in estimating embolism risk in IE involves its application to determine the size, location, number and mobility of vegetations. Nevertheless, we must recognize that echocardiography’s utility in assessing vegetations is limited by intra- and interobserver variability as well as by the previously mentioned challenge of how size measurements impose a binary approach upon data that are continuous in nature.

For these reasons, it is best to incorporate echo findings with all available clinical data from the patient — including IE pathogen, patient age, use of anticoagulation therapy, etc. — to best assess the probability of embolism versus risk of surgery for a given patient with IE. Such assessment should particularly account for the fact that the risk of embolism is highest during the first two weeks of antibiotic therapy for IE.2

Advertisement

Indeed, as argued in the 2017 AATS guidelines,2 once there is an indication for surgery in a patient with IE, we should operate at swiftly as possible, especially because of the unpredictable timing of embolic events.

References

  1. Bayer AS, Bolger AF, Taubert KA, et al. Diagnosis and management of infective endocarditis and its complications. AHA Scientific Statement. Circulation. 1998;98:2936-2948.
  2. Pettersson GB, Coselli JS, Hussain ST, et al. 2016 The American Association for Thoracic Surgery (AATS) consensus guidelines: surgical treatment of infective endocarditis: executive summary. J Thorac Cardiovasc Surg. 2017;153:1241-1258.
  3. Habib G, Lancellotti P, Antunes MJ, et al. 2015 ESC guidelines for the management of infective endocarditis. Eur Heart J. 2015;36:3075-3128.
  4. Yanagawa B, Pettersson GB, Habib G, et al. Surgical management of infective endocarditis complicated by embolic stroke: practical recommendations for clinicians. Circulation. 2016;134:1280-1292.
  5. Di Salvo G, Habib G, Pergola V, et al. Echocardiography predicts embolic events in infective endocarditis. J Am Coll Cardiol. 2001;37:1069-1076.

Advertisement

Related Articles

19-HRT-6507 Vitals-650×450

Rani duplicate post Check Out These Outcomes

A sampling of outcome and volume data from our Heart & Vascular Institute

illustration of the human heart focused on the left atrial appendage

Takeaways From Updated STS Guidelines for Surgical Treatment of Atrial Fibrillation

Concomitant AF ablation and LAA occlusion strongly endorsed during elective heart surgery

illustration of a figure-of-8 stitch for aortic valve repair

Figure-of-8, Hitch-Up Stitch Is Safe and Durable in Bicuspid Aortic Valve Repair

Large retrospective study supports its addition to BAV repair toolbox at expert centers

histology image of lung tissue showing spread through air spaces (STAS)

Lung Cancer Study Links Preoperative Factors With Spread Through Air Spaces

Young age, solid tumor, high uptake on PET and KRAS mutation signal risk, suggest need for lobectomy

x-ray of bone fracture in a forearm

TRAVERSE Substudy Links Testosterone Therapy to Increased Fracture Risk in Older Men With Hypogonadism

Surprise findings argue for caution about testosterone use in men at risk for fracture

echocardiogram showing severe aortic regurgitation

Early Referral for Enlarged Roots Critical to Prevent Residual AR After Aortic Root Replacement With Valve Reimplantation

Residual AR related to severe preoperative AR increases risk of progression, need for reoperation

photo of intubated elderly woman in hospital bed

Proteomic Study Characterizes Markers of Frailty in Cardiovascular Disease and Their Links to Outcomes

Findings support emphasis on markers of frailty related to, but not dependent on, age

3D transesophageal echocardiographic images

New Leaflet Modification Technique Curbs LVOT Obstruction Risk in Valve-in-Valve TMVR

Provides option for patients previously deemed anatomically unsuitable

Ad